Solitary plasmacytoma: An unusual dural-based lesion - A case report.

IF 4.8 4区 医学 Q3 CLINICAL NEUROLOGY
Brain Circulation Pub Date : 2024-09-26 eCollection Date: 2024-07-01 DOI:10.4103/bc.bc_101_23
Alejandra A Arévalo-Sáenz, Fernando J Rascón-Ramírez, Borja Pujante Ferrández, Manuel Pedrosa Sánchez
{"title":"Solitary plasmacytoma: An unusual dural-based lesion - A case report.","authors":"Alejandra A Arévalo-Sáenz, Fernando J Rascón-Ramírez, Borja Pujante Ferrández, Manuel Pedrosa Sánchez","doi":"10.4103/bc.bc_101_23","DOIUrl":null,"url":null,"abstract":"<p><p>Solitary intradural plasmacytomas are extremely rare. We present a case of a patient with headache and diagnosis of meningiomatosis. Onset symptoms were abrupt neurological deterioration and paraparesis. The patient underwent surgery by craniotomy and tumor resection, with final pathological findings of solitary extramedullary plasmacytoma without evidence of multiple myeloma. Of note is the great similarity of this infrequent pathology with meningiomas and the need to differentiate it from the dural involvement of multiple myeloma. Treatment always includes tumor resection surgery and postoperative radiotherapy.</p>","PeriodicalId":9288,"journal":{"name":"Brain Circulation","volume":"10 3","pages":"277-280"},"PeriodicalIF":4.8000,"publicationDate":"2024-09-26","publicationTypes":"Journal Article","fieldsOfStudy":null,"isOpenAccess":false,"openAccessPdf":"https://www.ncbi.nlm.nih.gov/pmc/articles/PMC11542757/pdf/","citationCount":"0","resultStr":null,"platform":"Semanticscholar","paperid":null,"PeriodicalName":"Brain Circulation","FirstCategoryId":"3","ListUrlMain":"https://doi.org/10.4103/bc.bc_101_23","RegionNum":4,"RegionCategory":"医学","ArticlePicture":[],"TitleCN":null,"AbstractTextCN":null,"PMCID":null,"EPubDate":"2024/7/1 0:00:00","PubModel":"eCollection","JCR":"Q3","JCRName":"CLINICAL NEUROLOGY","Score":null,"Total":0}
引用次数: 0

Abstract

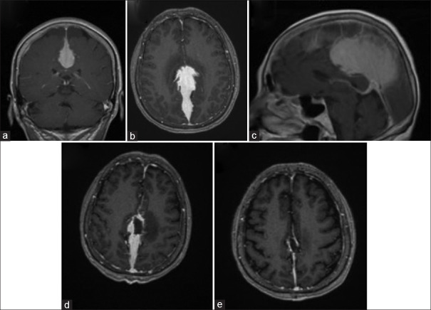
Solitary intradural plasmacytomas are extremely rare. We present a case of a patient with headache and diagnosis of meningiomatosis. Onset symptoms were abrupt neurological deterioration and paraparesis. The patient underwent surgery by craniotomy and tumor resection, with final pathological findings of solitary extramedullary plasmacytoma without evidence of multiple myeloma. Of note is the great similarity of this infrequent pathology with meningiomas and the need to differentiate it from the dural involvement of multiple myeloma. Treatment always includes tumor resection surgery and postoperative radiotherapy.

Abstract Image

Abstract Image

孤立性浆细胞瘤:一种不常见的硬脑膜病变--病例报告。
单发硬膜内浆细胞瘤极为罕见。我们介绍了一例头痛患者,诊断为脑膜瘤病。发病症状为神经系统突然恶化和偏瘫。患者接受了开颅手术和肿瘤切除术,最终病理结果为单发髓外浆细胞瘤,无多发性骨髓瘤证据。值得注意的是,这种并不常见的病理现象与脑膜瘤极为相似,需要与多发性骨髓瘤的硬脑膜受累相鉴别。治疗始终包括肿瘤切除手术和术后放疗。
本文章由计算机程序翻译,如有差异,请以英文原文为准。
求助全文
约1分钟内获得全文 求助全文
来源期刊
Brain Circulation
Brain Circulation Multiple-
自引率
5.30%
发文量
31
审稿时长
16 weeks
×
引用
GB/T 7714-2015
复制
MLA
复制
APA
复制
导出至
BibTeX EndNote RefMan NoteFirst NoteExpress
×
提示
您的信息不完整,为了账户安全,请先补充。
现在去补充
×
提示
您因"违规操作"
具体请查看互助需知
我知道了
×
提示
确定
请完成安全验证×
copy
已复制链接
快去分享给好友吧!
我知道了
右上角分享
点击右上角分享
0
联系我们:info@booksci.cn Book学术提供免费学术资源搜索服务,方便国内外学者检索中英文文献。致力于提供最便捷和优质的服务体验。 Copyright © 2023 布克学术 All rights reserved.
京ICP备2023020795号-1
ghs 京公网安备 11010802042870号
Book学术文献互助
Book学术文献互助群
群 号:604180095
Book学术官方微信