Ischemic strokes due to pulmonary arteriovenous malformations: A systematic review.

IF 4.8 4区 医学 Q3 CLINICAL NEUROLOGY
Brain Circulation Pub Date : 2024-09-26 eCollection Date: 2024-07-01 DOI:10.4103/bc.bc_23_24
Srinath Ramaswamy, Izabela Marczak, Yohannes Mulatu, Mohamed Eldokmak, Alon Bezalel, Ariana Otto, Steven R Levine
{"title":"Ischemic strokes due to pulmonary arteriovenous malformations: A systematic review.","authors":"Srinath Ramaswamy, Izabela Marczak, Yohannes Mulatu, Mohamed Eldokmak, Alon Bezalel, Ariana Otto, Steven R Levine","doi":"10.4103/bc.bc_23_24","DOIUrl":null,"url":null,"abstract":"<p><strong>Background: </strong>Pulmonary arteriovenous malformations (PAVMs) can cause acute ischemic strokes (AISs) through paradoxical embolism. The clinical and imaging features of AIS due to PAVMs have not been studied. We report a case and perform a systematic review of the clinical and imaging characteristics of patients with AIS due to PAVMs. This may provide clues to screen patients with AIS for PAVMs and treat them appropriately to prevent further strokes.</p><p><strong>Materials and methods: </strong>MEDLINE, EMBASE, and Web of Science databases were searched from inception to October 2023. We included patients of any age with AIS attributed to PAVM. Studies without clinical data were excluded. Demographics, AIS characteristics (location and arterial territories), and PAVM characteristics (location, size, and treatment) were recorded.</p><p><strong>Results: </strong>A 47-year-old female presented with acute vertigo and gait imbalance. Magnetic resonance imaging showed AIS in the right cerebellum. CT chest confirmed a PAVM in the right lower lobe. Endovascular coil closure was performed. We identified 102 patients from 96 records. The mean age was 47.4 ± 17 years (67% female). Seventy percent had single AIS and 30% had multiple. The location was anterior circulation in 50%, posterior in 37%, and both in 13%. The most common arterial territory was middle-cerebral (51%), followed by posterior-cerebral (25%). PAVMs were mostly single (78%) and in the lower lobes (66%). Thirty-three had hereditary hemorrhagic telangiectasia (HHT) (33%).</p><p><strong>Conclusions: </strong>PAVM-related strokes occur at a young age and may have a high propensity for multifocality and posterior circulation location. Patients with PAVMs and AIS should be screened for HHT and venous thromboses.</p>","PeriodicalId":9288,"journal":{"name":"Brain Circulation","volume":"10 3","pages":"213-219"},"PeriodicalIF":4.8000,"publicationDate":"2024-09-26","publicationTypes":"Journal Article","fieldsOfStudy":null,"isOpenAccess":false,"openAccessPdf":"https://www.ncbi.nlm.nih.gov/pmc/articles/PMC11542753/pdf/","citationCount":"0","resultStr":null,"platform":"Semanticscholar","paperid":null,"PeriodicalName":"Brain Circulation","FirstCategoryId":"3","ListUrlMain":"https://doi.org/10.4103/bc.bc_23_24","RegionNum":4,"RegionCategory":"医学","ArticlePicture":[],"TitleCN":null,"AbstractTextCN":null,"PMCID":null,"EPubDate":"2024/7/1 0:00:00","PubModel":"eCollection","JCR":"Q3","JCRName":"CLINICAL NEUROLOGY","Score":null,"Total":0}
引用次数: 0

Abstract

Background: Pulmonary arteriovenous malformations (PAVMs) can cause acute ischemic strokes (AISs) through paradoxical embolism. The clinical and imaging features of AIS due to PAVMs have not been studied. We report a case and perform a systematic review of the clinical and imaging characteristics of patients with AIS due to PAVMs. This may provide clues to screen patients with AIS for PAVMs and treat them appropriately to prevent further strokes.

Materials and methods: MEDLINE, EMBASE, and Web of Science databases were searched from inception to October 2023. We included patients of any age with AIS attributed to PAVM. Studies without clinical data were excluded. Demographics, AIS characteristics (location and arterial territories), and PAVM characteristics (location, size, and treatment) were recorded.

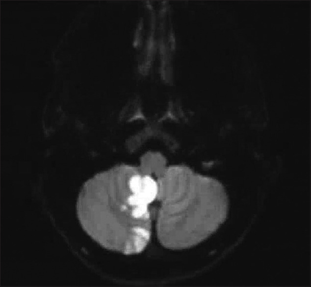
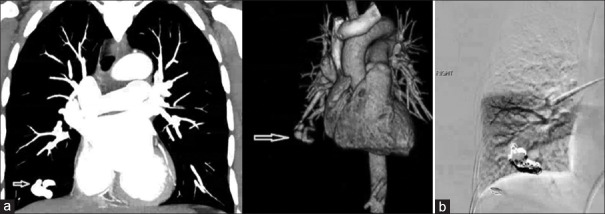
Results: A 47-year-old female presented with acute vertigo and gait imbalance. Magnetic resonance imaging showed AIS in the right cerebellum. CT chest confirmed a PAVM in the right lower lobe. Endovascular coil closure was performed. We identified 102 patients from 96 records. The mean age was 47.4 ± 17 years (67% female). Seventy percent had single AIS and 30% had multiple. The location was anterior circulation in 50%, posterior in 37%, and both in 13%. The most common arterial territory was middle-cerebral (51%), followed by posterior-cerebral (25%). PAVMs were mostly single (78%) and in the lower lobes (66%). Thirty-three had hereditary hemorrhagic telangiectasia (HHT) (33%).

Conclusions: PAVM-related strokes occur at a young age and may have a high propensity for multifocality and posterior circulation location. Patients with PAVMs and AIS should be screened for HHT and venous thromboses.

Abstract Image

Abstract Image

Abstract Image

肺动静脉畸形导致的缺血性中风:系统综述。
背景:肺动静脉畸形(PAVM)可通过矛盾性栓塞引起急性缺血性脑卒中(AIS)。目前尚未对肺动静脉畸形导致的 AIS 的临床和影像学特征进行研究。我们报告了一个病例,并对 PAVM 引起的 AIS 患者的临床和影像学特征进行了系统回顾。这可能为筛查 AIS 患者是否患有 PAVM 并对其进行适当治疗以防止进一步中风提供了线索:检索了从开始到 2023 年 10 月的 MEDLINE、EMBASE 和 Web of Science 数据库。我们纳入了任何年龄段、归因于 PAVM 的 AIS 患者。没有临床数据的研究被排除在外。研究记录了患者的人口统计学特征、AIS特征(位置和动脉区域)以及PAVM特征(位置、大小和治疗方法):一名 47 岁女性出现急性眩晕和步态失衡。磁共振成像显示右侧小脑有AIS。胸部 CT 证实右下叶有一个 PAVM。进行了血管内线圈闭合术。我们从 96 份病历中确定了 102 名患者。平均年龄为 47.4 ± 17 岁(67% 为女性)。70%为单发 AIS,30%为多发。50%的患者发生在前循环,37%的患者发生在后循环,13%的患者同时发生在前循环和后循环。最常见的动脉区域是中脑(51%),其次是后脑(25%)。PAVM多为单发(78%),位于下叶(66%)。33人患有遗传性出血性毛细血管扩张症(HHT)(33%):结论:PAVM 相关脑卒中的发病年龄较轻,可能具有多发性和后循环位置的高倾向性。PAVM和AIS患者应接受HHT和静脉血栓筛查。
本文章由计算机程序翻译,如有差异,请以英文原文为准。
求助全文
约1分钟内获得全文 求助全文
来源期刊
Brain Circulation
Brain Circulation Multiple-
自引率
5.30%
发文量
31
审稿时长
16 weeks
×
引用
GB/T 7714-2015
复制
MLA
复制
APA
复制
导出至
BibTeX EndNote RefMan NoteFirst NoteExpress
×
提示
您的信息不完整,为了账户安全,请先补充。
现在去补充
×
提示
您因"违规操作"
具体请查看互助需知
我知道了
×
提示
确定
请完成安全验证×
copy
已复制链接
快去分享给好友吧!
我知道了
右上角分享
点击右上角分享
0
联系我们:info@booksci.cn Book学术提供免费学术资源搜索服务,方便国内外学者检索中英文文献。致力于提供最便捷和优质的服务体验。 Copyright © 2023 布克学术 All rights reserved.
京ICP备2023020795号-1
ghs 京公网安备 11010802042870号
Book学术文献互助
Book学术文献互助群
群 号:604180095
Book学术官方微信