Delayed onset autoimmune cholangitis in a patient treated with pembrolizumab.

IF 0.5 Q4 RADIOLOGY, NUCLEAR MEDICINE & MEDICAL IMAGING
Joshua Newington, Daniel Patterson, Pilar Sanchez
{"title":"Delayed onset autoimmune cholangitis in a patient treated with pembrolizumab.","authors":"Joshua Newington, Daniel Patterson, Pilar Sanchez","doi":"10.1093/bjrcr/uaae040","DOIUrl":null,"url":null,"abstract":"<p><p>This case study describes a female patient in her late 70s who developed autoimmune cholangitis a year after finishing 35 cycles of pembrolizumab for the treatment of her non-small cell lung cancer. The diagnosis was initially missed and delayed; the patient's agoraphobia and the COVID-19 pandemic were noted as contributing factors.</p>","PeriodicalId":45216,"journal":{"name":"BJR Case Reports","volume":"10 6","pages":"uaae040"},"PeriodicalIF":0.5000,"publicationDate":"2024-11-01","publicationTypes":"Journal Article","fieldsOfStudy":null,"isOpenAccess":false,"openAccessPdf":"https://www.ncbi.nlm.nih.gov/pmc/articles/PMC11543344/pdf/","citationCount":"0","resultStr":null,"platform":"Semanticscholar","paperid":null,"PeriodicalName":"BJR Case Reports","FirstCategoryId":"1085","ListUrlMain":"https://doi.org/10.1093/bjrcr/uaae040","RegionNum":0,"RegionCategory":null,"ArticlePicture":[],"TitleCN":null,"AbstractTextCN":null,"PMCID":null,"EPubDate":"","PubModel":"","JCR":"Q4","JCRName":"RADIOLOGY, NUCLEAR MEDICINE & MEDICAL IMAGING","Score":null,"Total":0}
引用次数: 0

Abstract

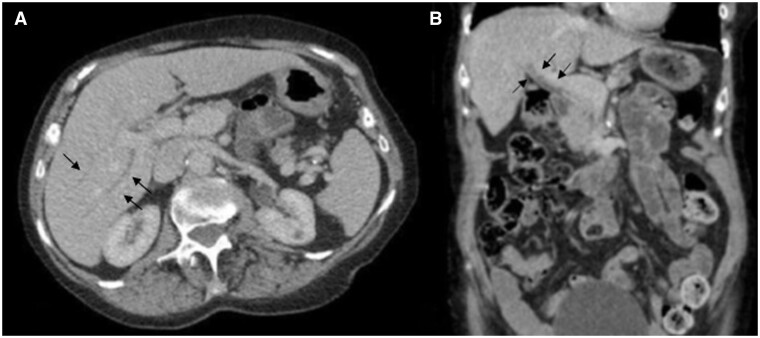
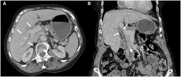
This case study describes a female patient in her late 70s who developed autoimmune cholangitis a year after finishing 35 cycles of pembrolizumab for the treatment of her non-small cell lung cancer. The diagnosis was initially missed and delayed; the patient's agoraphobia and the COVID-19 pandemic were noted as contributing factors.

Abstract Image

Abstract Image

Abstract Image

一名接受过彭博利珠单抗治疗的患者出现了迟发性自身免疫性胆管炎。
本病例研究描述了一名年过七旬的女性患者,在完成 35 个周期的 Pembrolizumab 治疗非小细胞肺癌一年后,患上了自身免疫性胆管炎。诊断最初被漏诊和延误;患者的恐旷症和 COVID-19 大流行被认为是诱因。
本文章由计算机程序翻译,如有差异,请以英文原文为准。
求助全文
约1分钟内获得全文 求助全文
来源期刊
BJR Case Reports
BJR Case Reports RADIOLOGY, NUCLEAR MEDICINE & MEDICAL IMAGING-
自引率
0.00%
发文量
77
审稿时长
11 weeks
×
引用
GB/T 7714-2015
复制
MLA
复制
APA
复制
导出至
BibTeX EndNote RefMan NoteFirst NoteExpress
×
提示
您的信息不完整,为了账户安全,请先补充。
现在去补充
×
提示
您因"违规操作"
具体请查看互助需知
我知道了
×
提示
确定
请完成安全验证×
copy
已复制链接
快去分享给好友吧!
我知道了
右上角分享
点击右上角分享
0
联系我们:info@booksci.cn Book学术提供免费学术资源搜索服务,方便国内外学者检索中英文文献。致力于提供最便捷和优质的服务体验。 Copyright © 2023 布克学术 All rights reserved.
京ICP备2023020795号-1
ghs 京公网安备 11010802042870号
Book学术文献互助
Book学术文献互助群
群 号:604180095
Book学术官方微信