An acute progressing hepatic angiosarcoma in a young male diagnosed by contrast-enhanced ultrasound-guided liver needle biopsy: a case report.

IF 2.5 Q2 GASTROENTEROLOGY & HEPATOLOGY
Translational gastroenterology and hepatology Pub Date : 2024-09-12 eCollection Date: 2024-01-01 DOI:10.21037/tgh-24-19
Shaojie Chen, Wei Huang, Yuhong Yuan, Xiaofeng Li, Shineng Zhang, Lingyun Wang
{"title":"An acute progressing hepatic angiosarcoma in a young male diagnosed by contrast-enhanced ultrasound-guided liver needle biopsy: a case report.","authors":"Shaojie Chen, Wei Huang, Yuhong Yuan, Xiaofeng Li, Shineng Zhang, Lingyun Wang","doi":"10.21037/tgh-24-19","DOIUrl":null,"url":null,"abstract":"<p><strong>Background: </strong>Primary hepatic angiosarcoma (PHA) is a rare hepatic malignancy primarily observed in the elderly. It carries a poor prognosis as a result of the characteristics of rapid progression, high aggressiveness, and resistance to traditional chemo- and radiotherapies. Its nonspecific clinical manifestations, along with the lack of laboratory features and various imaging findings, make it hard to recognize in clinic, especially among non-high-risk populations. Hence, pathological diagnosis is essential to establish an accurate diagnosis.</p><p><strong>Case description: </strong>In the present report, a young male presented with right upper quadrant abdominal pain and hemoperitoneum was eventually diagnosed as hepatic angiosarcoma based on the immunohistochemical staining results of a liver needle biopsy. Contrast-enhanced ultrasound (CEUS) effectively improved the accuracy of the liver needle biopsy in this case. This report describes the epidemiology, presentation, laboratory tests, imaging findings, and pathological features of a rare hepatic angiosarcoma seen in this young male. The patient rapidly developed severe abdominal hemorrhage. Transcatheter hepatic artery embolization, blood transfusions, and symptomatic treatments were administered. The family members abandoned treatment because the patient was in critical condition and could not receive antitumor therapy.</p><p><strong>Conclusions: </strong>This case emphasizes the significance of pathological findings in the diagnosis of PHA especially in non-high-risk individuals, and the supportive role of CEUS in guiding the liver needle biopsy. Abdominal hemorrhage is one of the serious complications of PHA and transarterial embolization (TAE) should be considered for controlling life-threatening bleeding from ruptured tumor. Further investigation is required to early diagnosis and to improve the prognosis of patients with PHA.</p>","PeriodicalId":94362,"journal":{"name":"Translational gastroenterology and hepatology","volume":"9 ","pages":"76"},"PeriodicalIF":2.5000,"publicationDate":"2024-09-12","publicationTypes":"Journal Article","fieldsOfStudy":null,"isOpenAccess":false,"openAccessPdf":"https://www.ncbi.nlm.nih.gov/pmc/articles/PMC11535802/pdf/","citationCount":"0","resultStr":null,"platform":"Semanticscholar","paperid":null,"PeriodicalName":"Translational gastroenterology and hepatology","FirstCategoryId":"1085","ListUrlMain":"https://doi.org/10.21037/tgh-24-19","RegionNum":0,"RegionCategory":null,"ArticlePicture":[],"TitleCN":null,"AbstractTextCN":null,"PMCID":null,"EPubDate":"2024/1/1 0:00:00","PubModel":"eCollection","JCR":"Q2","JCRName":"GASTROENTEROLOGY & HEPATOLOGY","Score":null,"Total":0}
引用次数: 0

Abstract

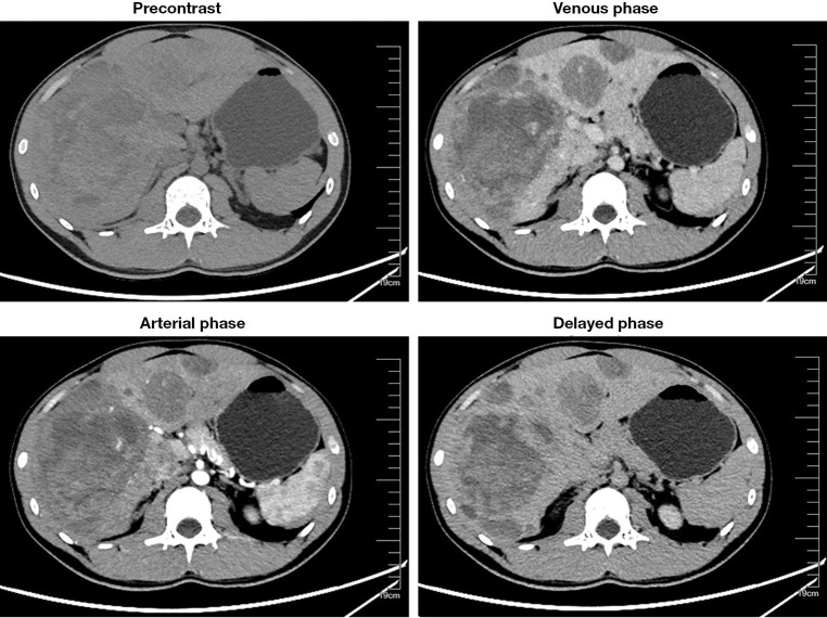
Background: Primary hepatic angiosarcoma (PHA) is a rare hepatic malignancy primarily observed in the elderly. It carries a poor prognosis as a result of the characteristics of rapid progression, high aggressiveness, and resistance to traditional chemo- and radiotherapies. Its nonspecific clinical manifestations, along with the lack of laboratory features and various imaging findings, make it hard to recognize in clinic, especially among non-high-risk populations. Hence, pathological diagnosis is essential to establish an accurate diagnosis.

Case description: In the present report, a young male presented with right upper quadrant abdominal pain and hemoperitoneum was eventually diagnosed as hepatic angiosarcoma based on the immunohistochemical staining results of a liver needle biopsy. Contrast-enhanced ultrasound (CEUS) effectively improved the accuracy of the liver needle biopsy in this case. This report describes the epidemiology, presentation, laboratory tests, imaging findings, and pathological features of a rare hepatic angiosarcoma seen in this young male. The patient rapidly developed severe abdominal hemorrhage. Transcatheter hepatic artery embolization, blood transfusions, and symptomatic treatments were administered. The family members abandoned treatment because the patient was in critical condition and could not receive antitumor therapy.

Conclusions: This case emphasizes the significance of pathological findings in the diagnosis of PHA especially in non-high-risk individuals, and the supportive role of CEUS in guiding the liver needle biopsy. Abdominal hemorrhage is one of the serious complications of PHA and transarterial embolization (TAE) should be considered for controlling life-threatening bleeding from ruptured tumor. Further investigation is required to early diagnosis and to improve the prognosis of patients with PHA.

Abstract Image

Abstract Image

Abstract Image

造影剂增强超声引导肝穿刺活检确诊的一名年轻男性急性进展期肝血管肉瘤:病例报告。
背景:原发性肝血管肉瘤(PHA原发性肝血管肉瘤(PHA)是一种罕见的肝恶性肿瘤,主要见于老年人。它具有进展快、侵袭性强、对传统化疗和放疗耐药等特点,预后较差。由于其临床表现无特异性,加上缺乏实验室特征和各种影像学检查结果,因此在临床上很难识别,尤其是在非高危人群中。因此,病理诊断对于确定准确诊断至关重要:在本报告中,一名年轻男性因右上腹疼痛和腹腔积血而就诊,根据肝穿刺活检的免疫组化染色结果,最终确诊为肝血管肉瘤。对比增强超声(CEUS)有效提高了该病例肝穿刺活检的准确性。本报告描述了一名年轻男性罕见肝血管肉瘤的流行病学、表现、实验室检查、影像学结果和病理学特征。患者迅速出现严重腹腔出血。患者接受了经导管肝动脉栓塞、输血和对症治疗。由于患者病情危重,无法接受抗肿瘤治疗,家属放弃了治疗:本病例强调了病理结果在 PHA 诊断中的重要性,尤其是在非高危人群中,以及 CEUS 在指导肝穿刺活检中的辅助作用。腹腔出血是PHA的严重并发症之一,应考虑经动脉栓塞(TAE)来控制肿瘤破裂引起的危及生命的出血。为了早期诊断和改善 PHA 患者的预后,还需要进一步的研究。
本文章由计算机程序翻译,如有差异,请以英文原文为准。
求助全文
约1分钟内获得全文 求助全文
来源期刊
自引率
0.00%
发文量
0
×
引用
GB/T 7714-2015
复制
MLA
复制
APA
复制
导出至
BibTeX EndNote RefMan NoteFirst NoteExpress
×
提示
您的信息不完整,为了账户安全,请先补充。
现在去补充
×
提示
您因"违规操作"
具体请查看互助需知
我知道了
×
提示
确定
请完成安全验证×
copy
已复制链接
快去分享给好友吧!
我知道了
右上角分享
点击右上角分享
0
联系我们:info@booksci.cn Book学术提供免费学术资源搜索服务,方便国内外学者检索中英文文献。致力于提供最便捷和优质的服务体验。 Copyright © 2023 布克学术 All rights reserved.
京ICP备2023020795号-1
ghs 京公网安备 11010802042870号
Book学术文献互助
Book学术文献互助群
群 号:604180095
Book学术官方微信