Risk Factors for Lateral Trochanteric Pain Following Anterior Approach Total Hip Arthroplasty.

IF 1.8 Q3 ORTHOPEDICS
Rex W Lutz, Danielle Y Ponzio, Hope S Thalody, Qudratullah S Qadiri, Alvin C Ong, Zachary D Post
{"title":"Risk Factors for Lateral Trochanteric Pain Following Anterior Approach Total Hip Arthroplasty.","authors":"Rex W Lutz, Danielle Y Ponzio, Hope S Thalody, Qudratullah S Qadiri, Alvin C Ong, Zachary D Post","doi":"10.22038/ABJS.2024.74576.3456","DOIUrl":null,"url":null,"abstract":"<p><strong>Objectives: </strong>The principal aim of our study is to investigate risk factors for lateral trochanteric pain (LTP) after direct anterior approach (DAA) primary total hip arthroplasty (THA).</p><p><strong>Methods: </strong>A retrospective case control study was developed from 542 patients who underwent primary THA over a 9-year period to form two patient cohorts. Two hundred and seventy-one patients diagnosed with LTP were matched with 271 controls. Chart review revealed patient demographics, surgical approach, and femoral components utilized. Change in limb length and offset were assessed through preoperative and postoperative radiographic measurements.</p><p><strong>Results: </strong>There was a higher proportion of current or former smokers in the LTP group (34.5% vs 21.74%, p=0.003). There was no significant difference in use of high offset stems vs. standard offset stems between groups (15.9% vs. 18.5%, p=0.494). However, the LTP group had significantly higher increase in both femoral offset (+3.55mm vs +1.79mm, p<0.001) and total offset (+0.16mm vs -1.16mm, p=0.031) in comparison to controls.</p><p><strong>Conclusion: </strong>An increase in total offset, femoral offset, and smoking history are factors associated with LTP after DAA primary THA.</p>","PeriodicalId":46704,"journal":{"name":"Archives of Bone and Joint Surgery-ABJS","volume":"12 9","pages":"631-636"},"PeriodicalIF":1.8000,"publicationDate":"2024-01-01","publicationTypes":"Journal Article","fieldsOfStudy":null,"isOpenAccess":false,"openAccessPdf":"https://www.ncbi.nlm.nih.gov/pmc/articles/PMC11531765/pdf/","citationCount":"0","resultStr":null,"platform":"Semanticscholar","paperid":null,"PeriodicalName":"Archives of Bone and Joint Surgery-ABJS","FirstCategoryId":"1085","ListUrlMain":"https://doi.org/10.22038/ABJS.2024.74576.3456","RegionNum":0,"RegionCategory":null,"ArticlePicture":[],"TitleCN":null,"AbstractTextCN":null,"PMCID":null,"EPubDate":"","PubModel":"","JCR":"Q3","JCRName":"ORTHOPEDICS","Score":null,"Total":0}
引用次数: 0

Abstract

Objectives: The principal aim of our study is to investigate risk factors for lateral trochanteric pain (LTP) after direct anterior approach (DAA) primary total hip arthroplasty (THA).

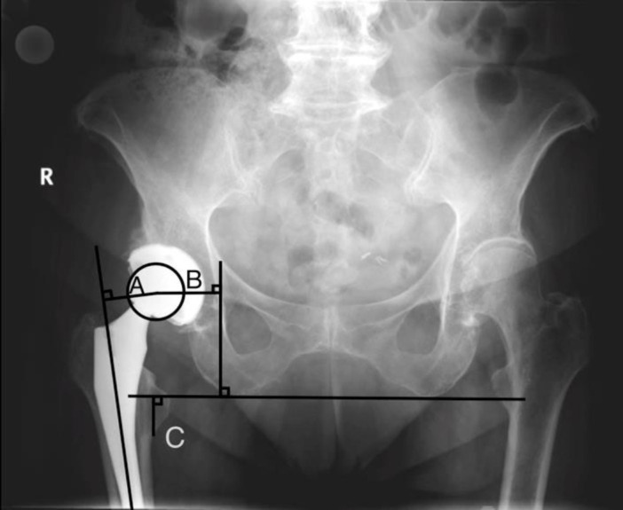
Methods: A retrospective case control study was developed from 542 patients who underwent primary THA over a 9-year period to form two patient cohorts. Two hundred and seventy-one patients diagnosed with LTP were matched with 271 controls. Chart review revealed patient demographics, surgical approach, and femoral components utilized. Change in limb length and offset were assessed through preoperative and postoperative radiographic measurements.

Results: There was a higher proportion of current or former smokers in the LTP group (34.5% vs 21.74%, p=0.003). There was no significant difference in use of high offset stems vs. standard offset stems between groups (15.9% vs. 18.5%, p=0.494). However, the LTP group had significantly higher increase in both femoral offset (+3.55mm vs +1.79mm, p<0.001) and total offset (+0.16mm vs -1.16mm, p=0.031) in comparison to controls.

Conclusion: An increase in total offset, femoral offset, and smoking history are factors associated with LTP after DAA primary THA.

Abstract Image

前路全髋关节置换术后转子外侧疼痛的风险因素。
研究目的我们研究的主要目的是调查直接前路(DAA)初级全髋关节置换术(THA)后转子外侧疼痛(LTP)的风险因素:一项回顾性病例对照研究由 542 名在 9 年内接受过初级全髋关节置换术的患者组成两个患者队列。271 名确诊为 LTP 的患者与 271 名对照组患者进行了配对。病历审查显示了患者的人口统计学特征、手术方法和使用的股骨组件。通过术前和术后的影像学测量评估肢体长度和偏移量的变化:LTP组目前或曾经吸烟者的比例更高(34.5% vs 21.74%,P=0.003)。在使用高偏置柄与标准偏置柄方面,两组间无明显差异(15.9% 对 18.5%,P=0.494)。然而,LTP 组股骨偏移量的增加幅度明显更高(+3.55 毫米 vs +1.79 毫米,P=0.494):总偏移量、股骨偏移量和吸烟史的增加与 DAA 初级 THA 后的 LTP 相关。
本文章由计算机程序翻译,如有差异,请以英文原文为准。
求助全文
约1分钟内获得全文 求助全文
来源期刊
CiteScore
2.30
自引率
0.00%
发文量
128
期刊介绍: The Archives of Bone and Joint Surgery (ABJS) aims to encourage a better understanding of all aspects of Orthopedic Sciences. The journal accepts scientific papers including original research, review article, short communication, case report, and letter to the editor in all fields of bone, joint, musculoskeletal surgery and related researches. The Archives of Bone and Joint Surgery (ABJS) will publish papers in all aspects of today`s modern orthopedic sciences including: Arthroscopy, Arthroplasty, Sport Medicine, Reconstruction, Hand and Upper Extremity, Pediatric Orthopedics, Spine, Trauma, Foot and Ankle, Tumor, Joint Rheumatic Disease, Skeletal Imaging, Orthopedic Physical Therapy, Rehabilitation, Orthopedic Basic Sciences (Biomechanics, Biotechnology, Biomaterial..).
×
引用
GB/T 7714-2015
复制
MLA
复制
APA
复制
导出至
BibTeX EndNote RefMan NoteFirst NoteExpress
×
提示
您的信息不完整,为了账户安全,请先补充。
现在去补充
×
提示
您因"违规操作"
具体请查看互助需知
我知道了
×
提示
确定
请完成安全验证×
copy
已复制链接
快去分享给好友吧!
我知道了
右上角分享
点击右上角分享
0
联系我们:info@booksci.cn Book学术提供免费学术资源搜索服务,方便国内外学者检索中英文文献。致力于提供最便捷和优质的服务体验。 Copyright © 2023 布克学术 All rights reserved.
京ICP备2023020795号-1
ghs 京公网安备 11010802042870号
Book学术文献互助
Book学术文献互助群
群 号:604180095
Book学术官方微信