Iron deficiency anemia: an early clinical presentation of cytomegalovirus-induced hemorrhagic colitis in chronic myeloid leukemia patients under dasatinib treatment.

IF 3.1 3区 医学 Q2 HEMATOLOGY
Therapeutic Advances in Hematology Pub Date : 2024-10-25 eCollection Date: 2024-01-01 DOI:10.1177/20406207241291736
Laura Sanchez-Paz, Pernilla Seidi Tirado Zambrana, Carlos Villa Poza, José-Ángel Hernández-Rivas, Elena Landete Hernández
{"title":"Iron deficiency anemia: an early clinical presentation of cytomegalovirus-induced hemorrhagic colitis in chronic myeloid leukemia patients under dasatinib treatment.","authors":"Laura Sanchez-Paz, Pernilla Seidi Tirado Zambrana, Carlos Villa Poza, José-Ángel Hernández-Rivas, Elena Landete Hernández","doi":"10.1177/20406207241291736","DOIUrl":null,"url":null,"abstract":"<p><p>Dasatinib is a second-generation tyrosine kinase inhibitor employed for chronic myeloid leukemia (CML) treatment that achieves high rates of prolonged and complete molecular responses (MR). Among the adverse effects reported, it has been associated with hemorrhagic complications, mainly due to its inhibiting effects on platelet functions. In addition, immune alterations induced by dasatinib may elevate the risk of bleeding and cytomegalovirus (CMV) infection, particularly in the gastrointestinal tract, thus contributing to the development of hemorrhagic colitis. In this case report, we highlight three cases of CML receiving treatment with dasatinib where CMV hemorrhagic colitis occurred. All of them exhibited iron deficiency anemia as a premature clinical manifestation in the absence of intestinal symptoms, unlike cases previously reported in the literature. CMV infection was confirmed with stool samples or tissue quantitative polymerase chain reaction and/or immunohistochemistry staining in colon biopsies. All three cases could be managed with valganciclovir and iron supplements in an outpatient setting. Management strategies of dasatinib during and after CMV infection varied, as they are not yet established and need to be individualized based on the gravity of symptoms and disease state. Iron deficiency anemia during dasatinib treatment should raise suspicion for the potential presence of CMV colitis, prompting endoscopic studies to rule out this complication, even if intestinal symptoms are not present.</p>","PeriodicalId":23048,"journal":{"name":"Therapeutic Advances in Hematology","volume":"15 ","pages":"20406207241291736"},"PeriodicalIF":3.1000,"publicationDate":"2024-10-25","publicationTypes":"Journal Article","fieldsOfStudy":null,"isOpenAccess":false,"openAccessPdf":"https://www.ncbi.nlm.nih.gov/pmc/articles/PMC11528592/pdf/","citationCount":"0","resultStr":null,"platform":"Semanticscholar","paperid":null,"PeriodicalName":"Therapeutic Advances in Hematology","FirstCategoryId":"3","ListUrlMain":"https://doi.org/10.1177/20406207241291736","RegionNum":3,"RegionCategory":"医学","ArticlePicture":[],"TitleCN":null,"AbstractTextCN":null,"PMCID":null,"EPubDate":"2024/1/1 0:00:00","PubModel":"eCollection","JCR":"Q2","JCRName":"HEMATOLOGY","Score":null,"Total":0}
引用次数: 0

Abstract

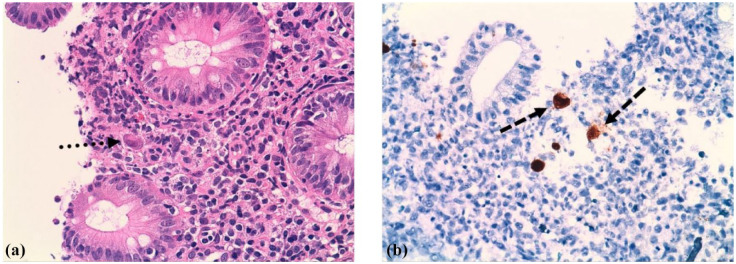
Dasatinib is a second-generation tyrosine kinase inhibitor employed for chronic myeloid leukemia (CML) treatment that achieves high rates of prolonged and complete molecular responses (MR). Among the adverse effects reported, it has been associated with hemorrhagic complications, mainly due to its inhibiting effects on platelet functions. In addition, immune alterations induced by dasatinib may elevate the risk of bleeding and cytomegalovirus (CMV) infection, particularly in the gastrointestinal tract, thus contributing to the development of hemorrhagic colitis. In this case report, we highlight three cases of CML receiving treatment with dasatinib where CMV hemorrhagic colitis occurred. All of them exhibited iron deficiency anemia as a premature clinical manifestation in the absence of intestinal symptoms, unlike cases previously reported in the literature. CMV infection was confirmed with stool samples or tissue quantitative polymerase chain reaction and/or immunohistochemistry staining in colon biopsies. All three cases could be managed with valganciclovir and iron supplements in an outpatient setting. Management strategies of dasatinib during and after CMV infection varied, as they are not yet established and need to be individualized based on the gravity of symptoms and disease state. Iron deficiency anemia during dasatinib treatment should raise suspicion for the potential presence of CMV colitis, prompting endoscopic studies to rule out this complication, even if intestinal symptoms are not present.

Abstract Image

Abstract Image

Abstract Image

缺铁性贫血:接受达沙替尼治疗的慢性粒细胞白血病患者巨细胞病毒诱发出血性结肠炎的早期临床表现。
达沙替尼是第二代酪氨酸激酶抑制剂,用于慢性髓性白血病(CML)的治疗,可获得较高的长期和完全分子反应(MR)率。在已报道的不良反应中,它与出血并发症有关,这主要是由于它对血小板功能有抑制作用。此外,达沙替尼诱导的免疫改变可能会增加出血和巨细胞病毒(CMV)感染的风险,尤其是在胃肠道,从而导致出血性结肠炎的发生。在本病例报告中,我们重点介绍了三例接受达沙替尼治疗的 CML 患者,他们都发生了 CMV 出血性结肠炎。与以往文献报道的病例不同,所有病例均以缺铁性贫血作为过早出现的临床表现,且无肠道症状。通过粪便样本或结肠活检组织定量聚合酶链反应和/或免疫组化染色证实了 CMV 感染。所有三例患者均可在门诊接受缬更昔洛韦和铁补充剂治疗。达沙替尼在 CMV 感染期间和感染后的管理策略各不相同,因为这些策略尚未确立,需要根据症状的严重程度和疾病状态进行个体化处理。在达沙替尼治疗期间出现缺铁性贫血,应怀疑可能存在CMV结肠炎,即使没有肠道症状,也应进行内镜检查以排除这一并发症。
本文章由计算机程序翻译,如有差异,请以英文原文为准。
求助全文
约1分钟内获得全文 求助全文
来源期刊
CiteScore
4.30
自引率
0.00%
发文量
54
审稿时长
7 weeks
期刊介绍: Therapeutic Advances in Hematology delivers the highest quality peer-reviewed articles, reviews, and scholarly comment on pioneering efforts and innovative studies across all areas of hematology. The journal has a strong clinical and pharmacological focus and is aimed at clinicians and researchers in hematology, providing a forum in print and online for publishing the highest quality articles in this area.
×
引用
GB/T 7714-2015
复制
MLA
复制
APA
复制
导出至
BibTeX EndNote RefMan NoteFirst NoteExpress
×
提示
您的信息不完整,为了账户安全,请先补充。
现在去补充
×
提示
您因"违规操作"
具体请查看互助需知
我知道了
×
提示
确定
请完成安全验证×
copy
已复制链接
快去分享给好友吧!
我知道了
右上角分享
点击右上角分享
0
联系我们:info@booksci.cn Book学术提供免费学术资源搜索服务,方便国内外学者检索中英文文献。致力于提供最便捷和优质的服务体验。 Copyright © 2023 布克学术 All rights reserved.
京ICP备2023020795号-1
ghs 京公网安备 11010802042870号
Book学术文献互助
Book学术文献互助群
群 号:604180095
Book学术官方微信