Tubulotrabecular adenocarcinoma of the nasopharynx operated by transoral and transpalatal approach in a cat.

IF 0.7 Q3 VETERINARY SCIENCES
Journal of Feline Medicine and Surgery Open Reports Pub Date : 2024-10-24 eCollection Date: 2024-07-01 DOI:10.1177/20551169241283542
Estelle Ferenczi, Chantal Ragetly
{"title":"Tubulotrabecular adenocarcinoma of the nasopharynx operated by transoral and transpalatal approach in a cat.","authors":"Estelle Ferenczi, Chantal Ragetly","doi":"10.1177/20551169241283542","DOIUrl":null,"url":null,"abstract":"<p><strong>Case summary: </strong>A 10-year-old castrated male crossbreed Birman cat was presented for respiratory difficulties, nasal discharge, dysphagia and wheezing. An obstructive nasopharyngeal mass invading the caudoventral nasal cavity and the left sphenoid sinus was observed on a CT scan. Surgical treatment via a ventral rhinotomy and curettage was performed. Histopathology revealed an adenocarcinoma with tubulotrabecular architecture. The cat's clinical signs significantly improved postoperatively. After 10 months, a recurrence was documented and a second surgical procedure was performed that allowed the patient to live an additional 6 months without clinical signs and an overall survival time of 19 months after first presentation.</p><p><strong>Relevance and novel information: </strong>This case report describes a nasopharyngeal adenocarcinoma treated by ventral rhinotomy in a cat. To our knowledge, there is only one other report describing this surgery on a nasal adenocarcinoma in a cat. The tomodensitometric, endoscopic and unusual histological appearance of the mass are reported. The prognosis after surgical removal of nasal adenocarcinomas in cats is only sparsely documented. This case demonstrates that ventral rhinotomy might be considered if first-line treatment is declined.</p>","PeriodicalId":36588,"journal":{"name":"Journal of Feline Medicine and Surgery Open Reports","volume":"10 2","pages":"20551169241283542"},"PeriodicalIF":0.7000,"publicationDate":"2024-10-24","publicationTypes":"Journal Article","fieldsOfStudy":null,"isOpenAccess":false,"openAccessPdf":"https://www.ncbi.nlm.nih.gov/pmc/articles/PMC11528563/pdf/","citationCount":"0","resultStr":null,"platform":"Semanticscholar","paperid":null,"PeriodicalName":"Journal of Feline Medicine and Surgery Open Reports","FirstCategoryId":"1085","ListUrlMain":"https://doi.org/10.1177/20551169241283542","RegionNum":0,"RegionCategory":null,"ArticlePicture":[],"TitleCN":null,"AbstractTextCN":null,"PMCID":null,"EPubDate":"2024/7/1 0:00:00","PubModel":"eCollection","JCR":"Q3","JCRName":"VETERINARY SCIENCES","Score":null,"Total":0}
引用次数: 0

Abstract

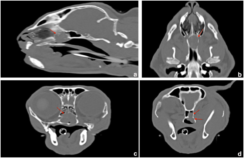
Case summary: A 10-year-old castrated male crossbreed Birman cat was presented for respiratory difficulties, nasal discharge, dysphagia and wheezing. An obstructive nasopharyngeal mass invading the caudoventral nasal cavity and the left sphenoid sinus was observed on a CT scan. Surgical treatment via a ventral rhinotomy and curettage was performed. Histopathology revealed an adenocarcinoma with tubulotrabecular architecture. The cat's clinical signs significantly improved postoperatively. After 10 months, a recurrence was documented and a second surgical procedure was performed that allowed the patient to live an additional 6 months without clinical signs and an overall survival time of 19 months after first presentation.

Relevance and novel information: This case report describes a nasopharyngeal adenocarcinoma treated by ventral rhinotomy in a cat. To our knowledge, there is only one other report describing this surgery on a nasal adenocarcinoma in a cat. The tomodensitometric, endoscopic and unusual histological appearance of the mass are reported. The prognosis after surgical removal of nasal adenocarcinomas in cats is only sparsely documented. This case demonstrates that ventral rhinotomy might be considered if first-line treatment is declined.

Abstract Image

Abstract Image

Abstract Image

在一只猫身上通过经口和经腭入路手术切除的鼻咽管状腺癌。
病例摘要:一只 10 岁的雄性阉割杂交比尔曼猫因呼吸困难、流鼻涕、吞咽困难和喘息而就诊。CT 扫描发现,鼻咽部有一个阻塞性肿块,侵入鼻腔尾腹部和左侧蝶窦。患者接受了鼻腔腹侧切开术和刮除术。组织病理学检查显示,这是一种具有管状结构的腺癌。术后猫咪的临床症状明显好转。10 个月后,患者的病情复发,于是进行了第二次手术,术后患者又存活了 6 个月,没有出现任何临床症状,总存活时间为 19 个月:本病例报告描述了在一只猫身上通过鼻腹部切除术治疗鼻咽腺癌的情况。据我们所知,目前仅有一份报告描述了猫鼻咽腺癌的这种手术。报告中介绍了肿块的断层密度测量、内窥镜和不寻常的组织学外观。关于猫鼻腔腺癌手术切除后的预后,文献记载很少。本病例表明,如果拒绝一线治疗,可以考虑进行鼻腹腔手术。
本文章由计算机程序翻译,如有差异,请以英文原文为准。
求助全文
约1分钟内获得全文 求助全文
来源期刊
CiteScore
1.30
自引率
14.30%
发文量
57
审稿时长
15 weeks
×
引用
GB/T 7714-2015
复制
MLA
复制
APA
复制
导出至
BibTeX EndNote RefMan NoteFirst NoteExpress
×
提示
您的信息不完整,为了账户安全,请先补充。
现在去补充
×
提示
您因"违规操作"
具体请查看互助需知
我知道了
×
提示
确定
请完成安全验证×
copy
已复制链接
快去分享给好友吧!
我知道了
右上角分享
点击右上角分享
0
联系我们:info@booksci.cn Book学术提供免费学术资源搜索服务,方便国内外学者检索中英文文献。致力于提供最便捷和优质的服务体验。 Copyright © 2023 布克学术 All rights reserved.
京ICP备2023020795号-1
ghs 京公网安备 11010802042870号
Book学术文献互助
Book学术文献互助群
群 号:604180095
Book学术官方微信