Lipid Pneumonia Mimicking Lung Cancer in a Middle-Age Woman.

IF 1.3
Jiun-Chang Wu, Tung-Ying Chen, Huang Wen-Chien, Jie-Jen Lee, Chih-Hao Chen
{"title":"Lipid Pneumonia Mimicking Lung Cancer in a Middle-Age Woman.","authors":"Jiun-Chang Wu, Tung-Ying Chen, Huang Wen-Chien, Jie-Jen Lee, Chih-Hao Chen","doi":"10.5761/atcs.cr.24-00117","DOIUrl":null,"url":null,"abstract":"<p><p>Lipid pneumonia is exceedingly rare, with only a few reported cases to date. A 46-year-old woman with a history of left breast cancer underwent a left-modified radical mastectomy, adjuvant chemotherapy, and radiotherapy. Despite no known exposure to lipids, she presented with chronic non-productive cough and general malaise. Follow-up chest computed tomography revealed progressive ground-glass opacities in the left lower lung, initially suspected to be lobar bronchioloalveolar carcinoma. Surgical intervention was performed for both diagnostic and therapeutic purposes, confirming the lesion as lipid pneumonia upon pathological examination, revealing the presence of foamy histiocytes.</p>","PeriodicalId":93877,"journal":{"name":"Annals of thoracic and cardiovascular surgery : official journal of the Association of Thoracic and Cardiovascular Surgeons of Asia","volume":"30 1","pages":""},"PeriodicalIF":1.3000,"publicationDate":"2024-01-01","publicationTypes":"Journal Article","fieldsOfStudy":null,"isOpenAccess":false,"openAccessPdf":"https://www.ncbi.nlm.nih.gov/pmc/articles/PMC11524679/pdf/","citationCount":"0","resultStr":null,"platform":"Semanticscholar","paperid":null,"PeriodicalName":"Annals of thoracic and cardiovascular surgery : official journal of the Association of Thoracic and Cardiovascular Surgeons of Asia","FirstCategoryId":"1085","ListUrlMain":"https://doi.org/10.5761/atcs.cr.24-00117","RegionNum":0,"RegionCategory":null,"ArticlePicture":[],"TitleCN":null,"AbstractTextCN":null,"PMCID":null,"EPubDate":"","PubModel":"","JCR":"","JCRName":"","Score":null,"Total":0}
引用次数: 0

Abstract

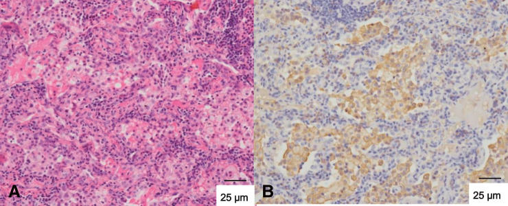
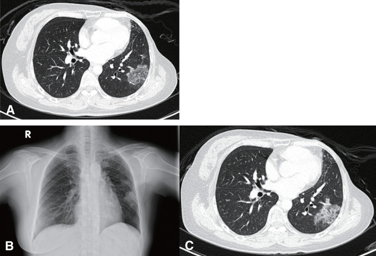
Lipid pneumonia is exceedingly rare, with only a few reported cases to date. A 46-year-old woman with a history of left breast cancer underwent a left-modified radical mastectomy, adjuvant chemotherapy, and radiotherapy. Despite no known exposure to lipids, she presented with chronic non-productive cough and general malaise. Follow-up chest computed tomography revealed progressive ground-glass opacities in the left lower lung, initially suspected to be lobar bronchioloalveolar carcinoma. Surgical intervention was performed for both diagnostic and therapeutic purposes, confirming the lesion as lipid pneumonia upon pathological examination, revealing the presence of foamy histiocytes.

Abstract Image

Abstract Image

一名中年女性模仿肺癌的脂质肺炎
脂质肺炎极为罕见,迄今仅有几例报道。一名 46 岁的妇女曾患左侧乳腺癌,接受了左侧改良根治性乳房切除术、辅助化疗和放疗。尽管没有已知的脂质接触史,但她出现了慢性无痰咳嗽和全身不适。随访胸部计算机断层扫描发现左下肺有进行性磨玻璃不透明,最初怀疑是肺叶支气管肺泡癌。出于诊断和治疗目的,她接受了手术治疗,病理检查证实病变为脂质肺炎,并发现了泡沫组织细胞。
本文章由计算机程序翻译,如有差异,请以英文原文为准。
求助全文
约1分钟内获得全文 求助全文
来源期刊
自引率
0.00%
发文量
0
×
引用
GB/T 7714-2015
复制
MLA
复制
APA
复制
导出至
BibTeX EndNote RefMan NoteFirst NoteExpress
×
提示
您的信息不完整,为了账户安全,请先补充。
现在去补充
×
提示
您因"违规操作"
具体请查看互助需知
我知道了
×
提示
确定
请完成安全验证×
copy
已复制链接
快去分享给好友吧!
我知道了
右上角分享
点击右上角分享
0
联系我们:info@booksci.cn Book学术提供免费学术资源搜索服务,方便国内外学者检索中英文文献。致力于提供最便捷和优质的服务体验。 Copyright © 2023 布克学术 All rights reserved.
京ICP备2023020795号-1
ghs 京公网安备 11010802042870号
Book学术文献互助
Book学术文献互助群
群 号:604180095
Book学术官方微信