NEOADJUVANT TREATMENT OF LIVER METASTASES OF COLORECTAL CANCER: PREDICTIVE FACTORS OF PATHOLOGICAL RESPONSE.

IF 1.8
Nayssem Khessairi, Ines Mallek, Mehdi Mbarek, Elmontassar Belleh Zaafouri, Lassaad Gharbi, Ahlem Lahmar Boufaroua, Dhouha Bacha, Sana Ben-Slama
{"title":"NEOADJUVANT TREATMENT OF LIVER METASTASES OF COLORECTAL CANCER: PREDICTIVE FACTORS OF PATHOLOGICAL RESPONSE.","authors":"Nayssem Khessairi, Ines Mallek, Mehdi Mbarek, Elmontassar Belleh Zaafouri, Lassaad Gharbi, Ahlem Lahmar Boufaroua, Dhouha Bacha, Sana Ben-Slama","doi":"10.1590/0102-6720202400036e1829","DOIUrl":null,"url":null,"abstract":"<p><strong>Background: </strong>Surgery after neoadjuvant chemotherapy (CT) improves the prognosis of colorectal liver metastases (CRLM).</p><p><strong>Aims: </strong>The aim of this study was to evaluate the predictive factors of the histological response of CRLM after neoadjuvant treatment.</p><p><strong>Methods: </strong>A retrospective monocentric study including patients with CRLM operated after neoadjuvant treatment. Assessment of histological response was based on the Rubbia-Brandt tumor regression grading score. The scores were grouped into two types of response: Response Group (R) and No Response Group (NR).</p><p><strong>Results: </strong>The study included 77 patients (mean age=56 years, sex ratio=1.57). Node metastases were noticed in 62% of cases. Synchronous liver metastasis was present in 42 cases (55%) and metachronous liver metastasis in 45%. Neoadjuvant treatment consisted of CT only in 52 patients (68%) and CT with targeted therapy in 25 patients (32%). Chemo-induced lesions were present in 44 patients (57%). Histological response was presented (Group R) in 36 cases (47%) and absent (Group NR) in 41 cases (53%). The overall survival of our patients was 32 months. For Group R, survival was significantly greater (p=0.001). The predictive factors of histological response identified were delay in the onset of liver metastasis greater than 14 months (p=0.027) and neoadjuvant treatment combining CT and targeted therapy (p=0.031). In multivariate analysis, the type of neoadjuvant treatment (p=0.035) was an independent predictive factor of histological response.</p><p><strong>Conclusions: </strong>Predictive factors of histological response would allow us to identify patients who would benefit most from neoadjuvant treatment. These patients with CRLM onset of more than 14 months and treated with CT combined with targeted therapy would be the best candidates for a neoadjuvant CT strategy followed by surgical resection.</p>","PeriodicalId":72298,"journal":{"name":"Arquivos brasileiros de cirurgia digestiva : ABCD = Brazilian archives of digestive surgery","volume":"37 ","pages":"e1829"},"PeriodicalIF":1.8000,"publicationDate":"2024-10-28","publicationTypes":"Journal Article","fieldsOfStudy":null,"isOpenAccess":false,"openAccessPdf":"https://www.ncbi.nlm.nih.gov/pmc/articles/PMC11520675/pdf/","citationCount":"0","resultStr":null,"platform":"Semanticscholar","paperid":null,"PeriodicalName":"Arquivos brasileiros de cirurgia digestiva : ABCD = Brazilian archives of digestive surgery","FirstCategoryId":"1085","ListUrlMain":"https://doi.org/10.1590/0102-6720202400036e1829","RegionNum":0,"RegionCategory":null,"ArticlePicture":[],"TitleCN":null,"AbstractTextCN":null,"PMCID":null,"EPubDate":"2024/1/1 0:00:00","PubModel":"eCollection","JCR":"","JCRName":"","Score":null,"Total":0}
引用次数: 0

Abstract

Background: Surgery after neoadjuvant chemotherapy (CT) improves the prognosis of colorectal liver metastases (CRLM).

Aims: The aim of this study was to evaluate the predictive factors of the histological response of CRLM after neoadjuvant treatment.

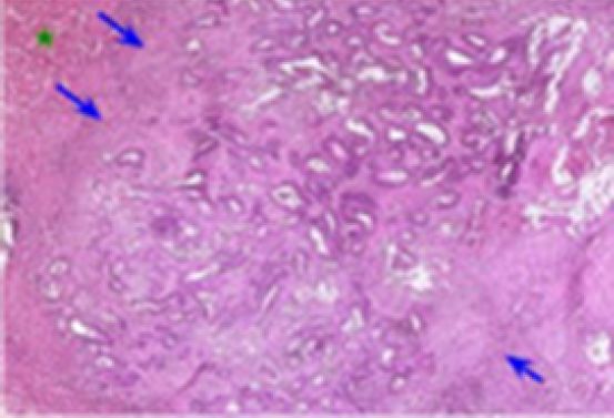
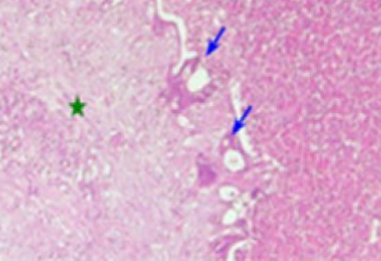
Methods: A retrospective monocentric study including patients with CRLM operated after neoadjuvant treatment. Assessment of histological response was based on the Rubbia-Brandt tumor regression grading score. The scores were grouped into two types of response: Response Group (R) and No Response Group (NR).

Results: The study included 77 patients (mean age=56 years, sex ratio=1.57). Node metastases were noticed in 62% of cases. Synchronous liver metastasis was present in 42 cases (55%) and metachronous liver metastasis in 45%. Neoadjuvant treatment consisted of CT only in 52 patients (68%) and CT with targeted therapy in 25 patients (32%). Chemo-induced lesions were present in 44 patients (57%). Histological response was presented (Group R) in 36 cases (47%) and absent (Group NR) in 41 cases (53%). The overall survival of our patients was 32 months. For Group R, survival was significantly greater (p=0.001). The predictive factors of histological response identified were delay in the onset of liver metastasis greater than 14 months (p=0.027) and neoadjuvant treatment combining CT and targeted therapy (p=0.031). In multivariate analysis, the type of neoadjuvant treatment (p=0.035) was an independent predictive factor of histological response.

Conclusions: Predictive factors of histological response would allow us to identify patients who would benefit most from neoadjuvant treatment. These patients with CRLM onset of more than 14 months and treated with CT combined with targeted therapy would be the best candidates for a neoadjuvant CT strategy followed by surgical resection.

Abstract Image

Abstract Image

结直肠癌肝转移的新辅助治疗:病理反应的预测因素。
背景:目的:本研究旨在评估新辅助化疗(CT)后CRLM组织学反应的预测因素:回顾性单中心研究,包括新辅助治疗后手术的CRLM患者。组织学反应的评估基于 Rubbia-Brandt 肿瘤回归分级评分。评分分为两种类型的反应:结果:研究共纳入 77 名患者(平均年龄=56 岁,性别比=1.57)。62%的病例出现结节转移。42例(55%)出现同步性肝转移,45%出现转移性肝转移。52名患者(68%)的新辅助治疗仅包括CT,25名患者(32%)的新辅助治疗包括CT和靶向治疗。44名患者(57%)出现了化疗引起的病变。36例患者(47%)出现组织学反应(R组),41例患者(53%)无组织学反应(NR组)。患者的总生存期为 32 个月。R组患者的生存期明显更长(P=0.001)。组织学反应的预测因素是肝转移发生时间延迟超过14个月(P=0.027)以及结合CT和靶向治疗的新辅助治疗(P=0.031)。在多变量分析中,新辅助治疗的类型(p=0.035)是组织学反应的独立预测因素:组织学反应的预测因素将使我们能够识别出哪些患者最受益于新辅助治疗。这些发病时间超过14个月并接受CT联合靶向治疗的CRLM患者将是采用新辅助CT策略并随后进行手术切除的最佳人选。
本文章由计算机程序翻译,如有差异,请以英文原文为准。
求助全文
约1分钟内获得全文 求助全文
来源期刊
自引率
0.00%
发文量
0
×
引用
GB/T 7714-2015
复制
MLA
复制
APA
复制
导出至
BibTeX EndNote RefMan NoteFirst NoteExpress
×
提示
您的信息不完整,为了账户安全,请先补充。
现在去补充
×
提示
您因"违规操作"
具体请查看互助需知
我知道了
×
提示
确定
请完成安全验证×
copy
已复制链接
快去分享给好友吧!
我知道了
右上角分享
点击右上角分享
0
联系我们:info@booksci.cn Book学术提供免费学术资源搜索服务,方便国内外学者检索中英文文献。致力于提供最便捷和优质的服务体验。 Copyright © 2023 布克学术 All rights reserved.
京ICP备2023020795号-1
ghs 京公网安备 11010802042870号
Book学术文献互助
Book学术文献互助群
群 号:604180095
Book学术官方微信