Four Cases of Myeloproliferative Disorders Associated With Down Syndrome: Distinguishing ML-DS From TAM-DS: Distinguishing TAM-DS and ML-DS: Report of 4 Cases.

IF 0.7 Q4 HEMATOLOGY
Case Reports in Hematology Pub Date : 2024-10-23 eCollection Date: 2024-01-01 DOI:10.1155/2024/9962512
Kévin Boumeghar, Sylvie Daliphard, Nimrod Buchbinder, Catherine Boutet, Dominique Penther, Pascaline Etancelin, Julien Bourgain, Gérard Buchonnet, Elsa Bera, Victor Bobée
{"title":"Four Cases of Myeloproliferative Disorders Associated With Down Syndrome: Distinguishing ML-DS From TAM-DS: Distinguishing TAM-DS and ML-DS: Report of 4 Cases.","authors":"Kévin Boumeghar, Sylvie Daliphard, Nimrod Buchbinder, Catherine Boutet, Dominique Penther, Pascaline Etancelin, Julien Bourgain, Gérard Buchonnet, Elsa Bera, Victor Bobée","doi":"10.1155/2024/9962512","DOIUrl":null,"url":null,"abstract":"<p><p>Down syndrome (DS) is defined by an extra copy of chromosome 21 and confers an increased susceptibility to hematological disorders. Transient abnormal myelopoiesis (TAM) and myeloid-leukemia associated with Down syndrome (ML-DS) are two conditions that need to be accurately diagnosed to provide appropriate management. Both TAM and ML-DS are characterized by proliferation of megakaryoblasts carrying a mutation in the GATA1 gene. Here, we report four cases with educational significance, highlighting typical diagnostic features that facilitate the differentiation between these two conditions, thereby assisting clinicians and medical laboratory professionals in effectively managing and monitoring these patients.</p>","PeriodicalId":46307,"journal":{"name":"Case Reports in Hematology","volume":"2024 ","pages":"9962512"},"PeriodicalIF":0.7000,"publicationDate":"2024-10-23","publicationTypes":"Journal Article","fieldsOfStudy":null,"isOpenAccess":false,"openAccessPdf":"https://www.ncbi.nlm.nih.gov/pmc/articles/PMC11524717/pdf/","citationCount":"0","resultStr":null,"platform":"Semanticscholar","paperid":null,"PeriodicalName":"Case Reports in Hematology","FirstCategoryId":"1085","ListUrlMain":"https://doi.org/10.1155/2024/9962512","RegionNum":0,"RegionCategory":null,"ArticlePicture":[],"TitleCN":null,"AbstractTextCN":null,"PMCID":null,"EPubDate":"2024/1/1 0:00:00","PubModel":"eCollection","JCR":"Q4","JCRName":"HEMATOLOGY","Score":null,"Total":0}
引用次数: 0

Abstract

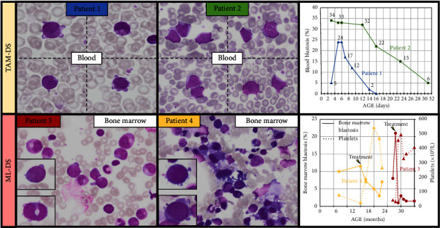
Down syndrome (DS) is defined by an extra copy of chromosome 21 and confers an increased susceptibility to hematological disorders. Transient abnormal myelopoiesis (TAM) and myeloid-leukemia associated with Down syndrome (ML-DS) are two conditions that need to be accurately diagnosed to provide appropriate management. Both TAM and ML-DS are characterized by proliferation of megakaryoblasts carrying a mutation in the GATA1 gene. Here, we report four cases with educational significance, highlighting typical diagnostic features that facilitate the differentiation between these two conditions, thereby assisting clinicians and medical laboratory professionals in effectively managing and monitoring these patients.

Abstract Image

Abstract Image

四例与唐氏综合征相关的骨髓增生性疾病:唐氏综合征与骨髓增生性疾病的鉴别:鉴别唐氏综合征与骨髓增生性疾病:四例病例的报告。
唐氏综合征(Down syndrome,DS)是由 21 号染色体的一个额外拷贝所决定的,它增加了血液病的易感性。短暂性骨髓造血异常(TAM)和唐氏综合征相关髓系白血病(ML-DS)是两种需要准确诊断以提供适当治疗的疾病。TAM和ML-DS都以携带GATA1基因突变的巨核细胞增殖为特征。在此,我们报告了四例具有教育意义的病例,强调了有助于区分这两种疾病的典型诊断特征,从而帮助临床医生和医学实验室专业人员有效地管理和监测这些患者。
本文章由计算机程序翻译,如有差异,请以英文原文为准。
求助全文
约1分钟内获得全文 求助全文
来源期刊
自引率
0.00%
发文量
51
审稿时长
13 weeks
×
引用
GB/T 7714-2015
复制
MLA
复制
APA
复制
导出至
BibTeX EndNote RefMan NoteFirst NoteExpress
×
提示
您的信息不完整,为了账户安全,请先补充。
现在去补充
×
提示
您因"违规操作"
具体请查看互助需知
我知道了
×
提示
确定
请完成安全验证×
copy
已复制链接
快去分享给好友吧!
我知道了
右上角分享
点击右上角分享
0
联系我们:info@booksci.cn Book学术提供免费学术资源搜索服务,方便国内外学者检索中英文文献。致力于提供最便捷和优质的服务体验。 Copyright © 2023 布克学术 All rights reserved.
京ICP备2023020795号-1
ghs 京公网安备 11010802042870号
Book学术文献互助
Book学术文献互助群
群 号:604180095
Book学术官方微信