Cervical Chylous Leakage Combined With Chylothorax: A Case Report of a Rare Complication Postretroperitoneal Surgery and Its Management: A Case Report of Chylous Leakage.

IF 0.5 Q4 GASTROENTEROLOGY & HEPATOLOGY
Case Reports in Gastrointestinal Medicine Pub Date : 2024-10-22 eCollection Date: 2024-01-01 DOI:10.1155/2024/8820322
Yao Zhou, Mingde Ding, Qiang Shi, Jing Wang, Guanghai Liu, Qianqian Zhang
{"title":"Cervical Chylous Leakage Combined With Chylothorax: A Case Report of a Rare Complication Postretroperitoneal Surgery and Its Management: A Case Report of Chylous Leakage.","authors":"Yao Zhou, Mingde Ding, Qiang Shi, Jing Wang, Guanghai Liu, Qianqian Zhang","doi":"10.1155/2024/8820322","DOIUrl":null,"url":null,"abstract":"<p><p>Chylous leakage is an uncommon and serious clinical condition, especially occurring after retroperitoneal operations. Here, we report a case of cervical chylous leakage combined with chylothorax in a 57-year-old woman postretroperitoneal surgery, and our conservative approach led to resolution/clinical improvement. The causes of this rare complication are discussed. We considered that the venous thrombosis, the increased intra-abdominal pressure, or the patient positioning during the surgery may lead to the chylous particles leakage and chylothorax. Because of its rarity, we hope this case report will improve clinicians' understanding of cervical chylous leakage combined with chylothorax and provide suitable treatment options for future clinical reference.</p>","PeriodicalId":45645,"journal":{"name":"Case Reports in Gastrointestinal Medicine","volume":"2024 ","pages":"8820322"},"PeriodicalIF":0.5000,"publicationDate":"2024-10-22","publicationTypes":"Journal Article","fieldsOfStudy":null,"isOpenAccess":false,"openAccessPdf":"https://www.ncbi.nlm.nih.gov/pmc/articles/PMC11521585/pdf/","citationCount":"0","resultStr":null,"platform":"Semanticscholar","paperid":null,"PeriodicalName":"Case Reports in Gastrointestinal Medicine","FirstCategoryId":"1085","ListUrlMain":"https://doi.org/10.1155/2024/8820322","RegionNum":0,"RegionCategory":null,"ArticlePicture":[],"TitleCN":null,"AbstractTextCN":null,"PMCID":null,"EPubDate":"2024/1/1 0:00:00","PubModel":"eCollection","JCR":"Q4","JCRName":"GASTROENTEROLOGY & HEPATOLOGY","Score":null,"Total":0}
引用次数: 0

Abstract

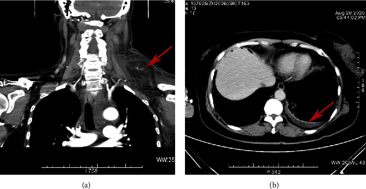
Chylous leakage is an uncommon and serious clinical condition, especially occurring after retroperitoneal operations. Here, we report a case of cervical chylous leakage combined with chylothorax in a 57-year-old woman postretroperitoneal surgery, and our conservative approach led to resolution/clinical improvement. The causes of this rare complication are discussed. We considered that the venous thrombosis, the increased intra-abdominal pressure, or the patient positioning during the surgery may lead to the chylous particles leakage and chylothorax. Because of its rarity, we hope this case report will improve clinicians' understanding of cervical chylous leakage combined with chylothorax and provide suitable treatment options for future clinical reference.

Abstract Image

Abstract Image

颈部乳糜漏合并乳糜胸:腹膜后手术后罕见并发症及其处理的病例报告:乳糜泻病例报告。
乳糜漏是一种不常见的严重临床症状,尤其发生在腹膜后手术后。在此,我们报告了一例 57 岁女性腹膜后手术后颈部乳糜液渗漏合并乳糜胸的病例,我们采取的保守治疗方法使病情得到了缓解/临床改善。我们讨论了这种罕见并发症的原因。我们认为,静脉血栓、腹腔内压力增高或手术中患者的体位都可能导致乳糜微粒渗漏和乳糜胸。由于其罕见性,我们希望本病例报告能提高临床医生对宫颈乳糜漏合并乳糜胸的认识,并提供合适的治疗方案供今后临床参考。
本文章由计算机程序翻译,如有差异,请以英文原文为准。
求助全文
约1分钟内获得全文 求助全文
来源期刊
Case Reports in Gastrointestinal Medicine
Case Reports in Gastrointestinal Medicine GASTROENTEROLOGY & HEPATOLOGY-
自引率
0.00%
发文量
33
审稿时长
14 weeks
×
引用
GB/T 7714-2015
复制
MLA
复制
APA
复制
导出至
BibTeX EndNote RefMan NoteFirst NoteExpress
×
提示
您的信息不完整,为了账户安全,请先补充。
现在去补充
×
提示
您因"违规操作"
具体请查看互助需知
我知道了
×
提示
确定
请完成安全验证×
copy
已复制链接
快去分享给好友吧!
我知道了
右上角分享
点击右上角分享
0
联系我们:info@booksci.cn Book学术提供免费学术资源搜索服务,方便国内外学者检索中英文文献。致力于提供最便捷和优质的服务体验。 Copyright © 2023 布克学术 All rights reserved.
京ICP备2023020795号-1
ghs 京公网安备 11010802042870号
Book学术文献互助
Book学术文献互助群
群 号:604180095
Book学术官方微信