Delayed onset arginine vasopressin deficiency after traumatic brain injury.

IF 0.7 Q4 ENDOCRINOLOGY & METABOLISM
Silviu-Andrei Tomulescu, José Boto, Karim Gariani
{"title":"Delayed onset arginine vasopressin deficiency after traumatic brain injury.","authors":"Silviu-Andrei Tomulescu, José Boto, Karim Gariani","doi":"10.1530/EDM-24-0039","DOIUrl":null,"url":null,"abstract":"<p><strong>Summary: </strong>Delayed arginine vasopressin deficiency (AVP-D) can present in patients following traumatic brain injury (TBI) and may occur years after the trauma, presenting with nonspecific symptoms. The objective of this case is to highlight the importance of considering the delayed onset AVP-D in patients with a history of TBI. We report a case of a patient who had sustained severe traumatic brain injury 8 years before and who presented with polydipsia, behavioural disorder and frequent falls during the last 3 months. The diagnosis of AVP-D was confirmed by water restriction with a positive response to desmopressin, and pituitary MRI showed an absent spontaneous posterior hyperintensity on T1WI. Follow-up confirmed permanent diabetes insipidus as well as a suspected anterior pituitary deficiency. Pituitary dysfunction occurs following TBI and is correlated with severity. As in our case, symptoms are generally non-specific and are difficult to explore given the patient's neurologic sequelae. MRI 8 years post trauma showed changes in pituitary morphology. Some authors have proposed the need for active screening of post-TBI patients. This case highlights the need for clinicians to be aware that AVP-D can occur years after traumatic brain injury.</p><p><strong>Learning points: </strong>Delayed onset post-traumatic arginine vasopressin deficiency may occur in patients with TBI and is correlated with the severity. The clinical picture is usually non-specific and diagnosis of AVP-D is challenging in non-verbal patients. An active screening for pituitary dysfunction is warranted in TBI patients and should be extended should one hormone deficit be identified.</p>","PeriodicalId":37467,"journal":{"name":"Endocrinology, Diabetes and Metabolism Case Reports","volume":"2024 4","pages":""},"PeriodicalIF":0.7000,"publicationDate":"2024-10-28","publicationTypes":"Journal Article","fieldsOfStudy":null,"isOpenAccess":false,"openAccessPdf":"https://www.ncbi.nlm.nih.gov/pmc/articles/PMC11558957/pdf/","citationCount":"0","resultStr":null,"platform":"Semanticscholar","paperid":null,"PeriodicalName":"Endocrinology, Diabetes and Metabolism Case Reports","FirstCategoryId":"1085","ListUrlMain":"https://doi.org/10.1530/EDM-24-0039","RegionNum":0,"RegionCategory":null,"ArticlePicture":[],"TitleCN":null,"AbstractTextCN":null,"PMCID":null,"EPubDate":"2024/10/1 0:00:00","PubModel":"Print","JCR":"Q4","JCRName":"ENDOCRINOLOGY & METABOLISM","Score":null,"Total":0}
引用次数: 0

Abstract

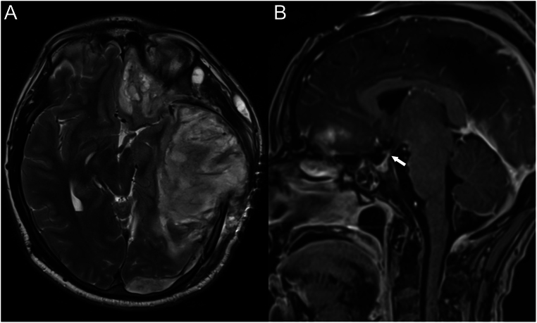
Summary: Delayed arginine vasopressin deficiency (AVP-D) can present in patients following traumatic brain injury (TBI) and may occur years after the trauma, presenting with nonspecific symptoms. The objective of this case is to highlight the importance of considering the delayed onset AVP-D in patients with a history of TBI. We report a case of a patient who had sustained severe traumatic brain injury 8 years before and who presented with polydipsia, behavioural disorder and frequent falls during the last 3 months. The diagnosis of AVP-D was confirmed by water restriction with a positive response to desmopressin, and pituitary MRI showed an absent spontaneous posterior hyperintensity on T1WI. Follow-up confirmed permanent diabetes insipidus as well as a suspected anterior pituitary deficiency. Pituitary dysfunction occurs following TBI and is correlated with severity. As in our case, symptoms are generally non-specific and are difficult to explore given the patient's neurologic sequelae. MRI 8 years post trauma showed changes in pituitary morphology. Some authors have proposed the need for active screening of post-TBI patients. This case highlights the need for clinicians to be aware that AVP-D can occur years after traumatic brain injury.

Learning points: Delayed onset post-traumatic arginine vasopressin deficiency may occur in patients with TBI and is correlated with the severity. The clinical picture is usually non-specific and diagnosis of AVP-D is challenging in non-verbal patients. An active screening for pituitary dysfunction is warranted in TBI patients and should be extended should one hormone deficit be identified.

Abstract Image

Abstract Image

Abstract Image

脑外伤后迟发性精氨酸加压素缺乏症。
摘要:延迟性精氨酸加压素缺乏症(AVP-D)可出现在脑外伤(TBI)后的患者身上,并可能在创伤后数年才出现,表现为非特异性症状。本病例旨在强调在有创伤性脑损伤病史的患者中考虑迟发性 AVP-D 的重要性。我们报告了一例患者的病例,该患者在 8 年前遭受过严重的脑外伤,在过去 3 个月中出现多尿、行为障碍和频繁跌倒。通过限制饮水和去氨加压素阳性反应确诊为 AVP-D,垂体 MRI 显示 T1WI 上无自发性后方高密度。随访证实该患者患有永久性尿崩症,并怀疑存在垂体前叶功能缺陷。创伤性脑损伤后会出现垂体功能障碍,并与严重程度相关。与我们的病例一样,患者的症状通常没有特异性,而且由于患者有神经系统后遗症,很难对其进行检查。创伤后 8 年的核磁共振成像显示垂体形态发生了变化。一些学者提出需要对创伤后患者进行积极筛查。本病例强调临床医生需要注意 AVP-D 可在脑外伤后数年出现:学习要点:创伤后精氨酸加压素缺乏症可能会在创伤后患者中延迟发生,并与严重程度相关。临床表现通常无特异性,对于非语言患者,AVP-D 的诊断具有挑战性。有必要对创伤性脑损伤患者进行积极的垂体功能障碍筛查,如果发现一种激素缺乏,则应扩大筛查范围。
本文章由计算机程序翻译,如有差异,请以英文原文为准。
求助全文
约1分钟内获得全文 求助全文
来源期刊
CiteScore
1.50
自引率
0.00%
发文量
142
审稿时长
9 weeks
期刊介绍: Endocrinology, Diabetes & Metabolism Case Reports publishes case reports on common and rare conditions in all areas of clinical endocrinology, diabetes and metabolism. Articles should include clear learning points which readers can use to inform medical education or clinical practice. The types of cases of interest to Endocrinology, Diabetes & Metabolism Case Reports include: -Insight into disease pathogenesis or mechanism of therapy - Novel diagnostic procedure - Novel treatment - Unique/unexpected symptoms or presentations of a disease - New disease or syndrome: presentations/diagnosis/management - Unusual effects of medical treatment - Error in diagnosis/pitfalls and caveats
×
引用
GB/T 7714-2015
复制
MLA
复制
APA
复制
导出至
BibTeX EndNote RefMan NoteFirst NoteExpress
×
提示
您的信息不完整,为了账户安全,请先补充。
现在去补充
×
提示
您因"违规操作"
具体请查看互助需知
我知道了
×
提示
确定
请完成安全验证×
copy
已复制链接
快去分享给好友吧!
我知道了
右上角分享
点击右上角分享
0
联系我们:info@booksci.cn Book学术提供免费学术资源搜索服务,方便国内外学者检索中英文文献。致力于提供最便捷和优质的服务体验。 Copyright © 2023 布克学术 All rights reserved.
京ICP备2023020795号-1
ghs 京公网安备 11010802042870号
Book学术文献互助
Book学术文献互助群
群 号:604180095
Book学术官方微信