Oligoribonucleotide interference-PCR-based methods for the sensitive and accurate detection of KRAS mutations.

IF 1.3 Q3 BIOCHEMICAL RESEARCH METHODS
Biology Methods and Protocols Pub Date : 2024-10-01 eCollection Date: 2024-01-01 DOI:10.1093/biomethods/bpae071
Hiroaki Fujita, Toshitsugu Fujita, Keinosuke Ishido, Kenichi Hakamada, Hodaka Fujii
{"title":"Oligoribonucleotide interference-PCR-based methods for the sensitive and accurate detection of <i>KRAS</i> mutations.","authors":"Hiroaki Fujita, Toshitsugu Fujita, Keinosuke Ishido, Kenichi Hakamada, Hodaka Fujii","doi":"10.1093/biomethods/bpae071","DOIUrl":null,"url":null,"abstract":"<p><p>Pancreatic cancer is an aggressive malignancy with a poor prognosis. Single-nucleotide mutations in the <i>KRAS</i> gene are detected in the majority of patients with pancreatic ductal adenocarcinoma (PDAC), the most common type of pancreatic cancer. Identifying <i>KRAS</i> mutations by liquid biopsy could be effective for detecting <i>de novo</i> and recurrent PDAC; however, sensitive and accurate detection remains challenging. We examined the utility of oligoribonucleotide interference-PCR (ORNi-PCR) followed by real-time PCR or droplet digital PCR (ddPCR) for detecting <i>KRAS</i> single-nucleotide mutations by liquid biopsy. A model of cell-free DNA was used to demonstrate that the ORNi-PCR-based methods are more sensitive and accurate for detecting <i>KRAS</i> mutant DNA than conventional real-time PCR or ddPCR. ORNi-PCR-based methods could be useful for early detection of <i>de novo</i> and recurrent PDAC by liquid biopsy for cancer diagnosis.</p>","PeriodicalId":36528,"journal":{"name":"Biology Methods and Protocols","volume":"9 1","pages":"bpae071"},"PeriodicalIF":1.3000,"publicationDate":"2024-10-01","publicationTypes":"Journal Article","fieldsOfStudy":null,"isOpenAccess":false,"openAccessPdf":"https://www.ncbi.nlm.nih.gov/pmc/articles/PMC11522869/pdf/","citationCount":"0","resultStr":null,"platform":"Semanticscholar","paperid":null,"PeriodicalName":"Biology Methods and Protocols","FirstCategoryId":"1085","ListUrlMain":"https://doi.org/10.1093/biomethods/bpae071","RegionNum":0,"RegionCategory":null,"ArticlePicture":[],"TitleCN":null,"AbstractTextCN":null,"PMCID":null,"EPubDate":"2024/1/1 0:00:00","PubModel":"eCollection","JCR":"Q3","JCRName":"BIOCHEMICAL RESEARCH METHODS","Score":null,"Total":0}
引用次数: 0

Abstract

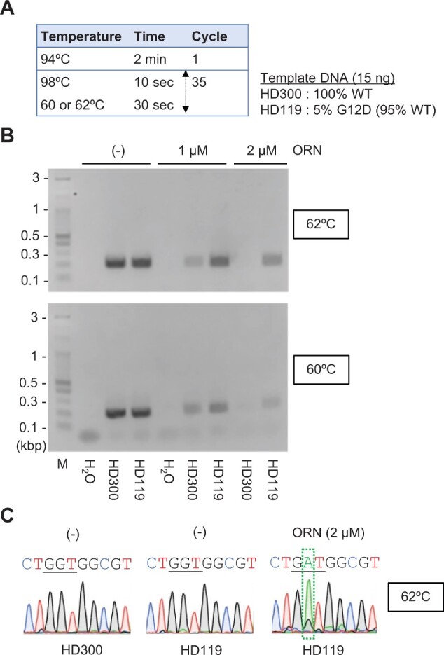
Pancreatic cancer is an aggressive malignancy with a poor prognosis. Single-nucleotide mutations in the KRAS gene are detected in the majority of patients with pancreatic ductal adenocarcinoma (PDAC), the most common type of pancreatic cancer. Identifying KRAS mutations by liquid biopsy could be effective for detecting de novo and recurrent PDAC; however, sensitive and accurate detection remains challenging. We examined the utility of oligoribonucleotide interference-PCR (ORNi-PCR) followed by real-time PCR or droplet digital PCR (ddPCR) for detecting KRAS single-nucleotide mutations by liquid biopsy. A model of cell-free DNA was used to demonstrate that the ORNi-PCR-based methods are more sensitive and accurate for detecting KRAS mutant DNA than conventional real-time PCR or ddPCR. ORNi-PCR-based methods could be useful for early detection of de novo and recurrent PDAC by liquid biopsy for cancer diagnosis.

Abstract Image

Abstract Image

Abstract Image

基于寡聚核苷酸干扰-PCR 的 KRAS 突变灵敏准确检测方法。
胰腺癌是一种侵袭性恶性肿瘤,预后较差。大多数胰腺导管腺癌(PDAC)患者都能检测到 KRAS 基因的单核苷酸突变,PDAC 是最常见的胰腺癌类型。通过液体活检鉴定 KRAS 基因突变可有效检测新发和复发性 PDAC;然而,灵敏而准确的检测仍具有挑战性。我们研究了先用寡核苷酸干扰PCR(ORNi-PCR)再用实时PCR或液滴数字PCR(ddPCR)通过液体活检检测KRAS单核苷酸突变的实用性。通过无细胞DNA模型证明,基于ORNi-PCR的方法在检测KRAS突变DNA方面比传统的实时PCR或ddPCR更灵敏、更准确。基于 ORNi-PCR 的方法可用于通过液体活检早期检测新发和复发性 PDAC,从而进行癌症诊断。
本文章由计算机程序翻译,如有差异,请以英文原文为准。
求助全文
约1分钟内获得全文 求助全文
来源期刊
Biology Methods and Protocols
Biology Methods and Protocols Agricultural and Biological Sciences-Agricultural and Biological Sciences (all)
CiteScore
3.80
自引率
2.80%
发文量
28
审稿时长
19 weeks
×
引用
GB/T 7714-2015
复制
MLA
复制
APA
复制
导出至
BibTeX EndNote RefMan NoteFirst NoteExpress
×
提示
您的信息不完整,为了账户安全,请先补充。
现在去补充
×
提示
您因"违规操作"
具体请查看互助需知
我知道了
×
提示
确定
请完成安全验证×
copy
已复制链接
快去分享给好友吧!
我知道了
右上角分享
点击右上角分享
0
联系我们:info@booksci.cn Book学术提供免费学术资源搜索服务,方便国内外学者检索中英文文献。致力于提供最便捷和优质的服务体验。 Copyright © 2023 布克学术 All rights reserved.
京ICP备2023020795号-1
ghs 京公网安备 11010802042870号
Book学术文献互助
Book学术文献互助群
群 号:604180095
Book学术官方微信