Multiple Cerebral Infarcts and Encephalopathy as the First Clinical Manifestations of Hypereosinophilic Syndrome: A Case Report and Narrative Review.

IF 7.3 Q1 PERIPHERAL VASCULAR DISEASE
Pulse Pub Date : 2024-08-20 eCollection Date: 2024-01-01 DOI:10.1159/000539379
Sonia Romano, Giulia Avola, Marco Cesare Angeli, Francesca Brazzale, Elena Giacopazzi, Paola Castellini, Antonio Genovese
{"title":"Multiple Cerebral Infarcts and Encephalopathy as the First Clinical Manifestations of Hypereosinophilic Syndrome: A Case Report and Narrative Review.","authors":"Sonia Romano, Giulia Avola, Marco Cesare Angeli, Francesca Brazzale, Elena Giacopazzi, Paola Castellini, Antonio Genovese","doi":"10.1159/000539379","DOIUrl":null,"url":null,"abstract":"<p><strong>Background: </strong>Hypereosinophilic syndrome is characterized by a peripheral blood eosinophil count >1.5 × 10<sup>3</sup>/μL on two different examinations within a month of each other and/or a 20% or higher percentage of eosinophils in a bone marrow section, associated with organ damage. Rarely, neurological manifestations may occur, even in the early stages. We report a case of idiopathic hypereosinophilic syndrome with Loeffler endocarditis presenting with multiple bilateral strokes and encephalopathy as the first clinical manifestations.</p><p><strong>Summary: </strong>Hypereosinophilia and echocardiographic findings suggested a Loeffler's endocarditis. Blood hyperviscosity and small vessels inflammation induced by the hypereosinophilia itself, the embolization of intracardiac thrombus, along with the impaired clearance of microthrombi in the watershed areas, are the main mechanisms involved in the pathophysiology of stroke in the hypereosinophilic syndrome. Additionally, encephalopathy could be considered as a consequence of multiple cerebral infarcts and neurotoxicity induced by hypereosinophilia since our patient's confusion and aggressive behavior gradually remitted after steroid therapy was started.</p><p><strong>Key messages: </strong>To the best of our knowledge, our case report is a rare instance highlighting neurological involvement as the earliest manifestation of hypereosinophilia. We aimed to elucidate the central nervous system involvement in this intriguing disorder, with the goal of encouraging clinicians to consider hypereosinophilic syndrome in the diagnostic assessment of rare stroke etiologies.</p>","PeriodicalId":29774,"journal":{"name":"Pulse","volume":"12 1","pages":"106-112"},"PeriodicalIF":7.3000,"publicationDate":"2024-08-20","publicationTypes":"Journal Article","fieldsOfStudy":null,"isOpenAccess":false,"openAccessPdf":"https://www.ncbi.nlm.nih.gov/pmc/articles/PMC11521416/pdf/","citationCount":"0","resultStr":null,"platform":"Semanticscholar","paperid":null,"PeriodicalName":"Pulse","FirstCategoryId":"1085","ListUrlMain":"https://doi.org/10.1159/000539379","RegionNum":0,"RegionCategory":null,"ArticlePicture":[],"TitleCN":null,"AbstractTextCN":null,"PMCID":null,"EPubDate":"2024/1/1 0:00:00","PubModel":"eCollection","JCR":"Q1","JCRName":"PERIPHERAL VASCULAR DISEASE","Score":null,"Total":0}
引用次数: 0

Abstract

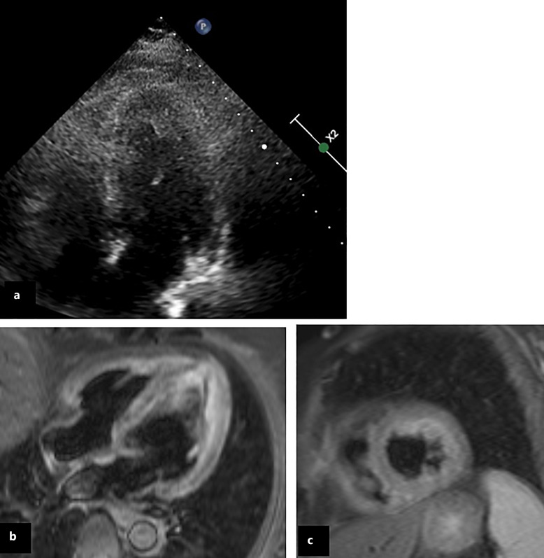
Background: Hypereosinophilic syndrome is characterized by a peripheral blood eosinophil count >1.5 × 103/μL on two different examinations within a month of each other and/or a 20% or higher percentage of eosinophils in a bone marrow section, associated with organ damage. Rarely, neurological manifestations may occur, even in the early stages. We report a case of idiopathic hypereosinophilic syndrome with Loeffler endocarditis presenting with multiple bilateral strokes and encephalopathy as the first clinical manifestations.

Summary: Hypereosinophilia and echocardiographic findings suggested a Loeffler's endocarditis. Blood hyperviscosity and small vessels inflammation induced by the hypereosinophilia itself, the embolization of intracardiac thrombus, along with the impaired clearance of microthrombi in the watershed areas, are the main mechanisms involved in the pathophysiology of stroke in the hypereosinophilic syndrome. Additionally, encephalopathy could be considered as a consequence of multiple cerebral infarcts and neurotoxicity induced by hypereosinophilia since our patient's confusion and aggressive behavior gradually remitted after steroid therapy was started.

Key messages: To the best of our knowledge, our case report is a rare instance highlighting neurological involvement as the earliest manifestation of hypereosinophilia. We aimed to elucidate the central nervous system involvement in this intriguing disorder, with the goal of encouraging clinicians to consider hypereosinophilic syndrome in the diagnostic assessment of rare stroke etiologies.

Abstract Image

Abstract Image

多发性脑梗塞和脑病是嗜酸性粒细胞过多综合征的首发临床表现:病例报告与叙事回顾
背景:嗜酸性粒细胞过多综合征(Hypereosinophilic Syndrome)的特征是:在一个月内的两次不同检查中,外周血嗜酸性粒细胞计数>1.5×103/μL,和/或骨髓切片中嗜酸性粒细胞的百分比达到或超过 20%,并伴有器官损伤。罕见的是,即使在早期阶段,也可能出现神经系统表现。我们报告了一例特发性高嗜酸性粒细胞综合征并伴有洛夫勒心内膜炎的病例,其首发临床表现为双侧多发性中风和脑病。由嗜酸性粒细胞过多症本身引起的血液高粘度和小血管炎症、心内血栓栓塞以及分水岭区域微血栓清除障碍,是嗜酸性粒细胞过多症综合征脑卒中病理生理学的主要机制。此外,脑病也可能是多发性脑梗塞和嗜酸性粒细胞过多引起的神经毒性的结果,因为我们的患者在开始接受类固醇治疗后,意识模糊和攻击行为逐渐缓解:据我们所知,我们的病例报告是一个罕见的病例,突出显示了神经系统受累是嗜酸性粒细胞过多症的最早表现。我们的目的是阐明这一有趣疾病的中枢神经系统受累情况,鼓励临床医生在诊断评估罕见脑卒中病因时考虑嗜酸性粒细胞过多综合征。
本文章由计算机程序翻译,如有差异,请以英文原文为准。
求助全文
约1分钟内获得全文 求助全文
来源期刊
自引率
4.50%
发文量
0
×
引用
GB/T 7714-2015
复制
MLA
复制
APA
复制
导出至
BibTeX EndNote RefMan NoteFirst NoteExpress
×
提示
您的信息不完整,为了账户安全,请先补充。
现在去补充
×
提示
您因"违规操作"
具体请查看互助需知
我知道了
×
提示
确定
请完成安全验证×
copy
已复制链接
快去分享给好友吧!
我知道了
右上角分享
点击右上角分享
0
联系我们:info@booksci.cn Book学术提供免费学术资源搜索服务,方便国内外学者检索中英文文献。致力于提供最便捷和优质的服务体验。 Copyright © 2023 布克学术 All rights reserved.
京ICP备2023020795号-1
ghs 京公网安备 11010802042870号
Book学术文献互助
Book学术文献互助群
群 号:604180095
Book学术官方微信