Calciphylaxis Mimicking Giant Cell Arteritis: A Case Report.

IF 0.6 Q4 OPHTHALMOLOGY
Case Reports in Ophthalmology Pub Date : 2024-10-04 eCollection Date: 2024-01-01 DOI:10.1159/000541410
Nada Alyousef, Wael A Alsakran, Azza Maktabi
{"title":"Calciphylaxis Mimicking Giant Cell Arteritis: A Case Report.","authors":"Nada Alyousef, Wael A Alsakran, Azza Maktabi","doi":"10.1159/000541410","DOIUrl":null,"url":null,"abstract":"<p><strong>Introduction: </strong>Calciphylaxis is a condition that causes vascular calcification and intimal proliferation with thrombotic occlusion of small-to-medium-sized vessels.</p><p><strong>Case presentation: </strong>We describe a case of a 64-year-old woman who presented with a clinical picture that was suggestive of anterior arteritic ischemic optic neuropathy due to giant cell arteritis (GCA), but was found to have calciphylaxis confirmed by histologic examination. When calciphylaxis affects the blood supply to the eye, commonly it causes sudden vision loss, pallid optic disk edema, and a relative afferent pupillary defect, all of which were observed in our patient.</p><p><strong>Conclusion: </strong>There is no known cure for calciphylaxis, while in GCA, high-dose corticosteroid therapy is essential to prevent involvement of the contralateral eye. As the management approaches for these two diseases are different, it is important to have performed a thorough clinical examination along with detailed histopathological testing to rule out calciphylaxis of the temporal artery in patients suspected to have GCA.</p>","PeriodicalId":9635,"journal":{"name":"Case Reports in Ophthalmology","volume":"15 1","pages":"717-723"},"PeriodicalIF":0.6000,"publicationDate":"2024-10-04","publicationTypes":"Journal Article","fieldsOfStudy":null,"isOpenAccess":false,"openAccessPdf":"https://www.ncbi.nlm.nih.gov/pmc/articles/PMC11521537/pdf/","citationCount":"0","resultStr":null,"platform":"Semanticscholar","paperid":null,"PeriodicalName":"Case Reports in Ophthalmology","FirstCategoryId":"1085","ListUrlMain":"https://doi.org/10.1159/000541410","RegionNum":0,"RegionCategory":null,"ArticlePicture":[],"TitleCN":null,"AbstractTextCN":null,"PMCID":null,"EPubDate":"2024/1/1 0:00:00","PubModel":"eCollection","JCR":"Q4","JCRName":"OPHTHALMOLOGY","Score":null,"Total":0}
引用次数: 0

Abstract

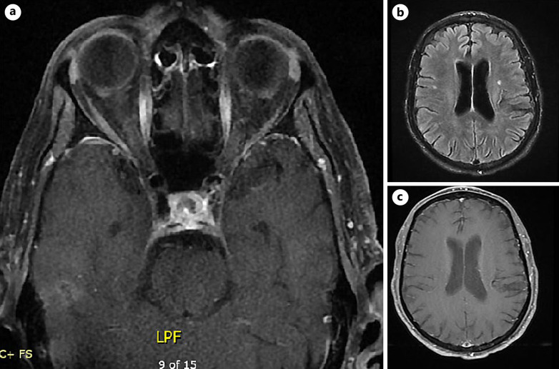
Introduction: Calciphylaxis is a condition that causes vascular calcification and intimal proliferation with thrombotic occlusion of small-to-medium-sized vessels.

Case presentation: We describe a case of a 64-year-old woman who presented with a clinical picture that was suggestive of anterior arteritic ischemic optic neuropathy due to giant cell arteritis (GCA), but was found to have calciphylaxis confirmed by histologic examination. When calciphylaxis affects the blood supply to the eye, commonly it causes sudden vision loss, pallid optic disk edema, and a relative afferent pupillary defect, all of which were observed in our patient.

Conclusion: There is no known cure for calciphylaxis, while in GCA, high-dose corticosteroid therapy is essential to prevent involvement of the contralateral eye. As the management approaches for these two diseases are different, it is important to have performed a thorough clinical examination along with detailed histopathological testing to rule out calciphylaxis of the temporal artery in patients suspected to have GCA.

Abstract Image

Abstract Image

Abstract Image

模仿巨细胞动脉炎的钙化病:病例报告
导言:钙化症是一种导致血管钙化和内膜增生并伴有中小型血管血栓性闭塞的疾病:我们描述了一例 64 岁女性的病例,她的临床表现提示为巨细胞动脉炎(GCA)引起的前动脉缺血性视神经病变,但经组织学检查发现她患有钙化症。当钙化病影响到眼睛的血液供应时,通常会导致视力突然下降、视盘苍白水肿和瞳孔相对传入缺损,我们的患者就出现了这些症状:结论:目前尚无治疗钙睫症的方法,而对于 GCA,大剂量皮质类固醇治疗对防止对侧眼受累至关重要。由于这两种疾病的治疗方法不同,因此对怀疑患有 GCA 的患者进行全面的临床检查和详细的组织病理学检测以排除颞动脉钙化症是非常重要的。
本文章由计算机程序翻译,如有差异,请以英文原文为准。
求助全文
约1分钟内获得全文 求助全文
来源期刊
CiteScore
0.90
自引率
0.00%
发文量
129
审稿时长
12 weeks
期刊介绍: This peer-reviewed online-only journal publishes original case reports covering the entire spectrum of ophthalmology, including prevention, diagnosis, treatment, toxicities of therapy, supportive care, quality-of-life, and survivorship issues. The submission of negative results is strongly encouraged. The journal will also accept case reports dealing with the use of novel technologies, both in the arena of diagnosis and treatment. Supplementary material is welcomed. The intent of the journal is to provide clinicians and researchers with a tool to disseminate their personal experiences to a wider public as well as to review interesting cases encountered by colleagues all over the world. Universally used terms can be searched across the entire growing collection of case reports, further facilitating the retrieval of specific information. Following the open access principle, the entire contents can be retrieved at no charge, guaranteeing easy access to this valuable source of anecdotal information at all times.
×
引用
GB/T 7714-2015
复制
MLA
复制
APA
复制
导出至
BibTeX EndNote RefMan NoteFirst NoteExpress
×
提示
您的信息不完整,为了账户安全,请先补充。
现在去补充
×
提示
您因"违规操作"
具体请查看互助需知
我知道了
×
提示
确定
请完成安全验证×
copy
已复制链接
快去分享给好友吧!
我知道了
右上角分享
点击右上角分享
0
联系我们:info@booksci.cn Book学术提供免费学术资源搜索服务,方便国内外学者检索中英文文献。致力于提供最便捷和优质的服务体验。 Copyright © 2023 布克学术 All rights reserved.
京ICP备2023020795号-1
ghs 京公网安备 11010802042870号
Book学术文献互助
Book学术文献互助群
群 号:604180095
Book学术官方微信