Vaginal Cuff Infection Caused by Ureaplasma parvum After Hysterectomy for Uterine Cervical Cancer: A Case Report.

IF 0.8 Q4 INFECTIOUS DISEASES
Case Reports in Infectious Diseases Pub Date : 2024-10-21 eCollection Date: 2024-01-01 DOI:10.1155/2024/4114954
Hayato Chikamatsu, Mana Taki, Sachiko Kitamura, Masumi Sunada, Koji Yamanoi, Ryusuke Murakami, Ken Yamaguchi, Akihito Horie, Yasuhiro Tsuchido, Junzo Hamanishi, Masaki Mandai
{"title":"Vaginal Cuff Infection Caused by <i>Ureaplasma parvum</i> After Hysterectomy for Uterine Cervical Cancer: A Case Report.","authors":"Hayato Chikamatsu, Mana Taki, Sachiko Kitamura, Masumi Sunada, Koji Yamanoi, Ryusuke Murakami, Ken Yamaguchi, Akihito Horie, Yasuhiro Tsuchido, Junzo Hamanishi, Masaki Mandai","doi":"10.1155/2024/4114954","DOIUrl":null,"url":null,"abstract":"<p><p><i>Ureaplasma parvum</i> is one of the most common endemic mycoplasmas in the genitourinary tract and can cause amniotic fluid infection leading to preterm labor. We report a rare case of <i>Ureaplasma parvum</i> infection ascending from the vagina to the abdominal cavity after hysterectomy, causing vaginal cuff infection, postoperative peritonitis, and small bowel obstruction. A 29-year-old nulliparous woman presented with infected uterine cervical cancer. After radical hysterectomy for uterine cervical cancer, the patient had paralytic ileus with ascites and fever. Peritonitis was suspected; however, all cultures were negative, making it difficult to identify the causative organism. Polymerase chain reaction (PCR) of the ascites revealed <i>Ureaplasma parvum</i>, which could be treated with levofloxacin (LVFX). Open drainage to control the infection revealed a necrotic tissue around vaginal cuff and the small intestine encased in cocoon-like fibers like sclerosing encapsulating peritonitis. After the infection was improved, the bowel obstruction was also improved. <i>Ureaplasma</i> spp. can be difficult to culture. PCR testing for <i>Ureaplasma</i> infection should be considered when urogenital infection is suspected in patients prone to opportunistic infections, such as those with malignant tumors.</p>","PeriodicalId":9608,"journal":{"name":"Case Reports in Infectious Diseases","volume":"2024 ","pages":"4114954"},"PeriodicalIF":0.8000,"publicationDate":"2024-10-21","publicationTypes":"Journal Article","fieldsOfStudy":null,"isOpenAccess":false,"openAccessPdf":"https://www.ncbi.nlm.nih.gov/pmc/articles/PMC11519063/pdf/","citationCount":"0","resultStr":null,"platform":"Semanticscholar","paperid":null,"PeriodicalName":"Case Reports in Infectious Diseases","FirstCategoryId":"1085","ListUrlMain":"https://doi.org/10.1155/2024/4114954","RegionNum":0,"RegionCategory":null,"ArticlePicture":[],"TitleCN":null,"AbstractTextCN":null,"PMCID":null,"EPubDate":"2024/1/1 0:00:00","PubModel":"eCollection","JCR":"Q4","JCRName":"INFECTIOUS DISEASES","Score":null,"Total":0}
引用次数: 0

Abstract

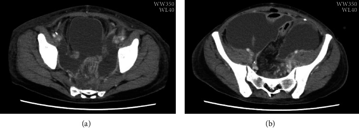
Ureaplasma parvum is one of the most common endemic mycoplasmas in the genitourinary tract and can cause amniotic fluid infection leading to preterm labor. We report a rare case of Ureaplasma parvum infection ascending from the vagina to the abdominal cavity after hysterectomy, causing vaginal cuff infection, postoperative peritonitis, and small bowel obstruction. A 29-year-old nulliparous woman presented with infected uterine cervical cancer. After radical hysterectomy for uterine cervical cancer, the patient had paralytic ileus with ascites and fever. Peritonitis was suspected; however, all cultures were negative, making it difficult to identify the causative organism. Polymerase chain reaction (PCR) of the ascites revealed Ureaplasma parvum, which could be treated with levofloxacin (LVFX). Open drainage to control the infection revealed a necrotic tissue around vaginal cuff and the small intestine encased in cocoon-like fibers like sclerosing encapsulating peritonitis. After the infection was improved, the bowel obstruction was also improved. Ureaplasma spp. can be difficult to culture. PCR testing for Ureaplasma infection should be considered when urogenital infection is suspected in patients prone to opportunistic infections, such as those with malignant tumors.

Abstract Image

Abstract Image

Abstract Image

子宫颈癌子宫切除术后由副溶脲原体引起的阴道袖口感染:病例报告。
解脲支原体是泌尿生殖道最常见的地方性支原体之一,可引起羊水感染,导致早产。我们报告了一例罕见的子宫切除术后副脲原体感染从阴道上升至腹腔,导致阴道袖带感染、术后腹膜炎和小肠梗阻的病例。一名 29 岁的无子宫妇女因感染子宫颈癌而就诊。子宫颈癌根治性切除术后,患者出现麻痹性回肠炎、腹水和发烧。怀疑是腹膜炎,但所有培养结果均为阴性,因此难以确定致病菌。腹水中的聚合酶链反应(PCR)发现了副脲原体,可以用左氧氟沙星(LVFX)治疗。为控制感染而进行的开放引流显示,阴道袖带周围有坏死组织,小肠被蚕茧状纤维包裹,如同硬化性包裹性腹膜炎。感染好转后,肠梗阻也有所改善。解脲支原体很难培养。当怀疑容易发生机会性感染的患者(如恶性肿瘤患者)出现泌尿生殖系统感染时,应考虑进行尿解支原体感染的 PCR 检测。
本文章由计算机程序翻译,如有差异,请以英文原文为准。
求助全文
约1分钟内获得全文 求助全文
来源期刊
自引率
0.00%
发文量
64
审稿时长
13 weeks
×
引用
GB/T 7714-2015
复制
MLA
复制
APA
复制
导出至
BibTeX EndNote RefMan NoteFirst NoteExpress
×
提示
您的信息不完整,为了账户安全,请先补充。
现在去补充
×
提示
您因"违规操作"
具体请查看互助需知
我知道了
×
提示
确定
请完成安全验证×
copy
已复制链接
快去分享给好友吧!
我知道了
右上角分享
点击右上角分享
0
联系我们:info@booksci.cn Book学术提供免费学术资源搜索服务,方便国内外学者检索中英文文献。致力于提供最便捷和优质的服务体验。 Copyright © 2023 布克学术 All rights reserved.
京ICP备2023020795号-1
ghs 京公网安备 11010802042870号
Book学术文献互助
Book学术文献互助群
群 号:604180095
Book学术官方微信