Focal myositis: a literature review of clinical and immunopathological aspects.

Alessia Pugliese, Alba Migliorato, Adele Barbaccia, Fiammetta Biasini, Olimpia Musumeci, Antonio Toscano, Carmelo Rodolico
{"title":"Focal myositis: a literature review of clinical and immunopathological aspects.","authors":"Alessia Pugliese, Alba Migliorato, Adele Barbaccia, Fiammetta Biasini, Olimpia Musumeci, Antonio Toscano, Carmelo Rodolico","doi":"10.36185/2532-1900-536","DOIUrl":null,"url":null,"abstract":"<p><strong>Objectives: </strong>Focal myositis (FM) is a rare and restricted skeletal muscle inflammation, presenting as a solid mass with a typical lower leg localization and benign prognosis. In most cases the process solves spontaneously or after immunosuppressant therapy, but sometimes it recurs or progresses to a systemic inflammation. The basis of the disease are mostly unknown.</p><p><strong>Methods: </strong>Hence, we provide an update of histopathological features of FM, in order to better define the underlying pathomechanisms of this disorder. A PubMed literature search was focused on the case reports published in English from July 1977 to December 2023.</p><p><strong>Results: </strong>FM and other myositis may show similar morphological features. Emerging studies on MMP molecules and future eventual research on microRNAs (miRNAs) could help in differential diagnosis.</p><p><strong>Conclusions: </strong>Clinical, laboratory, neurophysiological and imaging findings can allow a correct diagnosis. However, muscle biopsy seems to be the only diagnostic tool to differentiate among FM and other localized soft tissue masses.</p>","PeriodicalId":93851,"journal":{"name":"Acta myologica : myopathies and cardiomyopathies : official journal of the Mediterranean Society of Myology","volume":"43 3","pages":"108-113"},"PeriodicalIF":0.0000,"publicationDate":"2024-09-01","publicationTypes":"Journal Article","fieldsOfStudy":null,"isOpenAccess":false,"openAccessPdf":"https://www.ncbi.nlm.nih.gov/pmc/articles/PMC11537714/pdf/","citationCount":"0","resultStr":null,"platform":"Semanticscholar","paperid":null,"PeriodicalName":"Acta myologica : myopathies and cardiomyopathies : official journal of the Mediterranean Society of Myology","FirstCategoryId":"1085","ListUrlMain":"https://doi.org/10.36185/2532-1900-536","RegionNum":0,"RegionCategory":null,"ArticlePicture":[],"TitleCN":null,"AbstractTextCN":null,"PMCID":null,"EPubDate":"","PubModel":"","JCR":"","JCRName":"","Score":null,"Total":0}
引用次数: 0

Abstract

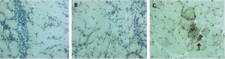
Objectives: Focal myositis (FM) is a rare and restricted skeletal muscle inflammation, presenting as a solid mass with a typical lower leg localization and benign prognosis. In most cases the process solves spontaneously or after immunosuppressant therapy, but sometimes it recurs or progresses to a systemic inflammation. The basis of the disease are mostly unknown.

Methods: Hence, we provide an update of histopathological features of FM, in order to better define the underlying pathomechanisms of this disorder. A PubMed literature search was focused on the case reports published in English from July 1977 to December 2023.

Results: FM and other myositis may show similar morphological features. Emerging studies on MMP molecules and future eventual research on microRNAs (miRNAs) could help in differential diagnosis.

Conclusions: Clinical, laboratory, neurophysiological and imaging findings can allow a correct diagnosis. However, muscle biopsy seems to be the only diagnostic tool to differentiate among FM and other localized soft tissue masses.

Abstract Image

Abstract Image

局灶性肌炎:临床和免疫病理方面的文献综述。
目的:局灶性肌炎(FM)是一种罕见的局限性骨骼肌炎症:局灶性肌炎(FM)是一种罕见的局限性骨骼肌炎症,表现为典型的小腿局部实性肿块,预后良好。在大多数病例中,该病可自行缓解或在接受免疫抑制剂治疗后缓解,但有时也会复发或发展为全身性炎症。方法:因此,我们提供了有关 FM 组织病理学特征的最新资料,以便更好地界定这种疾病的潜在病理机制。我们对1977年7月至2023年12月期间发表的英文病例报告进行了PubMed文献检索:结果:FM和其他肌炎可能表现出相似的形态学特征。对 MMP 分子的新兴研究以及未来对微小核糖核酸(miRNA)的最终研究有助于鉴别诊断:结论:临床、实验室、神经电生理和影像学检查结果可帮助做出正确诊断。然而,肌肉活检似乎是区分 FM 和其他局部软组织肿块的唯一诊断工具。
本文章由计算机程序翻译,如有差异,请以英文原文为准。
求助全文
约1分钟内获得全文 求助全文
来源期刊
自引率
0.00%
发文量
0
×
引用
GB/T 7714-2015
复制
MLA
复制
APA
复制
导出至
BibTeX EndNote RefMan NoteFirst NoteExpress
×
提示
您的信息不完整,为了账户安全,请先补充。
现在去补充
×
提示
您因"违规操作"
具体请查看互助需知
我知道了
×
提示
确定
请完成安全验证×
copy
已复制链接
快去分享给好友吧!
我知道了
右上角分享
点击右上角分享
0
联系我们:info@booksci.cn Book学术提供免费学术资源搜索服务,方便国内外学者检索中英文文献。致力于提供最便捷和优质的服务体验。 Copyright © 2023 布克学术 All rights reserved.
京ICP备2023020795号-1
ghs 京公网安备 11010802042870号
Book学术文献互助
Book学术文献互助群
群 号:604180095
Book学术官方微信