"Two is Company, Three is a Crowd" - A Case Presentation of Cardiac Amyloidosis, Hypertrophic Cardiomyopathy Plus Coronary Heart Disease.

IF 1.3 Q4 CARDIAC & CARDIOVASCULAR SYSTEMS
Journal of the Saudi Heart Association Pub Date : 2024-08-12 eCollection Date: 2024-01-01 DOI:10.37616/2212-5043.1389
Carolina M Gonçalves, Mariana Carvalho, Célia Domingues, Fátima Saraiva, João Morais
{"title":"\"Two is Company, Three is a Crowd\" - A Case Presentation of Cardiac Amyloidosis, Hypertrophic Cardiomyopathy Plus Coronary Heart Disease.","authors":"Carolina M Gonçalves, Mariana Carvalho, Célia Domingues, Fátima Saraiva, João Morais","doi":"10.37616/2212-5043.1389","DOIUrl":null,"url":null,"abstract":"<p><p>A 76-year-old man was referred to our appointment with complaints of exertional dyspnea. He had a medical history consisting of chronic coronary syndrome, hypertrophic cardiomyopathy, and an implantable cardioverter-defibrillator for primary prevention. A transthoracic echocardiogram revealed features suspicious for cardiac amyloidosis. Haematologic and genetic tests were negative, and scintigraphy was positive, confirming wild-type transthyretin amyloidosis, not eligible for tafamidis. Several months later with optimized medical therapy, he had two worsening heart failure events. This clinical case highlights the importance of differential diagnosis. Our patient had both hypertrophic cardiomyopathy and transthyretin amyloidosis, a rare association that constitutes a diagnostic and treatment challenge.</p>","PeriodicalId":17319,"journal":{"name":"Journal of the Saudi Heart Association","volume":"36 2","pages":"178-183"},"PeriodicalIF":1.3000,"publicationDate":"2024-08-12","publicationTypes":"Journal Article","fieldsOfStudy":null,"isOpenAccess":false,"openAccessPdf":"https://www.ncbi.nlm.nih.gov/pmc/articles/PMC11518049/pdf/","citationCount":"0","resultStr":null,"platform":"Semanticscholar","paperid":null,"PeriodicalName":"Journal of the Saudi Heart Association","FirstCategoryId":"1085","ListUrlMain":"https://doi.org/10.37616/2212-5043.1389","RegionNum":0,"RegionCategory":null,"ArticlePicture":[],"TitleCN":null,"AbstractTextCN":null,"PMCID":null,"EPubDate":"2024/1/1 0:00:00","PubModel":"eCollection","JCR":"Q4","JCRName":"CARDIAC & CARDIOVASCULAR SYSTEMS","Score":null,"Total":0}
引用次数: 0

Abstract

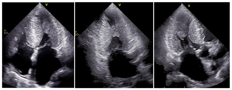
A 76-year-old man was referred to our appointment with complaints of exertional dyspnea. He had a medical history consisting of chronic coronary syndrome, hypertrophic cardiomyopathy, and an implantable cardioverter-defibrillator for primary prevention. A transthoracic echocardiogram revealed features suspicious for cardiac amyloidosis. Haematologic and genetic tests were negative, and scintigraphy was positive, confirming wild-type transthyretin amyloidosis, not eligible for tafamidis. Several months later with optimized medical therapy, he had two worsening heart failure events. This clinical case highlights the importance of differential diagnosis. Our patient had both hypertrophic cardiomyopathy and transthyretin amyloidosis, a rare association that constitutes a diagnostic and treatment challenge.

Abstract Image

Abstract Image

Abstract Image

"二人为伴,三人成群"--心脏淀粉样变性、肥厚性心肌病加冠心病的病例介绍。
一名 76 岁的男性因主诉劳累性呼吸困难而被转诊至我院。他的病史包括慢性冠状动脉综合征、肥厚型心肌病和用于一级预防的植入式心律转复除颤器。经胸超声心动图显示,他有心脏淀粉样变性的可疑特征。血液学和基因检测均为阴性,闪烁扫描呈阳性,证实为野生型转甲状腺素淀粉样变性,不符合他法米迪治疗条件。几个月后,经过优化的药物治疗,他出现了两次心力衰竭恶化。这个临床病例强调了鉴别诊断的重要性。我们的患者同时患有肥厚型心肌病和经淀粉样蛋白淀粉样变性,这种罕见的合并症给诊断和治疗带来了挑战。
本文章由计算机程序翻译,如有差异,请以英文原文为准。
求助全文
约1分钟内获得全文 求助全文
来源期刊
Journal of the Saudi Heart Association
Journal of the Saudi Heart Association CARDIAC & CARDIOVASCULAR SYSTEMS-
CiteScore
1.40
自引率
0.00%
发文量
30
审稿时长
15 weeks
×
引用
GB/T 7714-2015
复制
MLA
复制
APA
复制
导出至
BibTeX EndNote RefMan NoteFirst NoteExpress
×
提示
您的信息不完整,为了账户安全,请先补充。
现在去补充
×
提示
您因"违规操作"
具体请查看互助需知
我知道了
×
提示
确定
请完成安全验证×
copy
已复制链接
快去分享给好友吧!
我知道了
右上角分享
点击右上角分享
0
联系我们:info@booksci.cn Book学术提供免费学术资源搜索服务,方便国内外学者检索中英文文献。致力于提供最便捷和优质的服务体验。 Copyright © 2023 布克学术 All rights reserved.
京ICP备2023020795号-1
ghs 京公网安备 11010802042870号
Book学术文献互助
Book学术文献互助群
群 号:604180095
Book学术官方微信