In Vivo Evaluation of Tissue Biocompatibility of Calcium Silicate-based and Epoxy Resin-based Sealers.

Q3 Dentistry
George Táccio de Miranda Candeiro, Amanda Kevys Magalhães, Laissa Sousa Evangelista, Amanda Brito Santos, Larissa Bernardo Dantas, Hermano Camelo Paiva, Giulio Gavini, Paulo Goberlânio de Barros Silva
{"title":"<i>In Vivo</i> Evaluation of Tissue Biocompatibility of Calcium Silicate-based and Epoxy Resin-based Sealers.","authors":"George Táccio de Miranda Candeiro, Amanda Kevys Magalhães, Laissa Sousa Evangelista, Amanda Brito Santos, Larissa Bernardo Dantas, Hermano Camelo Paiva, Giulio Gavini, Paulo Goberlânio de Barros Silva","doi":"10.22037/iej.v19i4.45646","DOIUrl":null,"url":null,"abstract":"<p><strong>Introduction: </strong>Calcium silicate-based sealers are an alternative to be used into root canal, mainly to their biological properties. However, some biological parameters need to be determined in an <i>in vivo</i> animal research model. So, the aim of the present study was to evaluate <i>in vivo</i> the tissue biocompatibility of a calcium silicate-based sealer (EndoSequence BC Sealer) and an epoxy resin-based sealer (AH-Plus).</p><p><strong>Materials and methods: </strong>Polyethylene tubes were filled with freshly mixed sealers and implanted in connective subcutaneous tissue of 25 rats (5/euthanasia day) (<i>Rattus norvegicus albinus</i>). Empty tubes were used as controls and no tubes as sham. Histopathological (hematoxylin eosin) and histochemical (Picrosirius red) examinations were conducted at 3, 7, 15, 30 and 60 days (five rats/day) after the implantation procedure (<i>n</i>=5/group). The type/intensity of inflammation and collagenesis was analyzed statistically with Friedman or Kruskal-Wallis/Dunn tests (<i>P</i><0.05).</p><p><strong>Results: </strong>The profile of inflammation induced by AH-Plus (Median=2, Range=2-3) was significantly greater than that by Endosequence BC Sealer (Median=1, Range=1-1) during the 15-day experimentation period (<i>P</i>=0.018). After 30 days, both materials produced similar tissue reaction (<i>P</i>>0.05). AH-Plus and Endosequence BC Sealer (Median=2, Range=1-2) induced a high level of fibrosis after 60-day than control (Median=1, Range=1-1) and sham (Median=0, Range=0-0) groups (<i>P</i><0.001) of fibrosis based in type I collagen increase (<i>P</i>=0.025 and <i>P</i>=0.021, respectively). Tissue necrosis was not observed and the bioceramic sealer showed significant signs of endocytosed (Median=1, Range=1-1) material after 7 days than other groups (Median=0, Range=0-0) (<i>P</i><0.05). The calcium silicate-based sealer induced tissue repair faster than the epoxy resin-based sealer tested. However, both materials showed adequate biocompatibility and tolerance by subcutaneous tissues, with few differences in inflammatory profiles, formation of granulation tissue, and collagenesis.</p><p><strong>Conclusions: </strong>It may be concluded that calcium silicate-based sealer (EndoSequence BC Sealer) and an epoxy resin-based sealer (AH-Plus) presented suitable biocompatibility.</p>","PeriodicalId":14534,"journal":{"name":"Iranian Endodontic Journal","volume":"19 4","pages":"278-286"},"PeriodicalIF":0.0000,"publicationDate":"2024-01-01","publicationTypes":"Journal Article","fieldsOfStudy":null,"isOpenAccess":false,"openAccessPdf":"https://www.ncbi.nlm.nih.gov/pmc/articles/PMC11512713/pdf/","citationCount":"0","resultStr":null,"platform":"Semanticscholar","paperid":null,"PeriodicalName":"Iranian Endodontic Journal","FirstCategoryId":"1085","ListUrlMain":"https://doi.org/10.22037/iej.v19i4.45646","RegionNum":0,"RegionCategory":null,"ArticlePicture":[],"TitleCN":null,"AbstractTextCN":null,"PMCID":null,"EPubDate":"","PubModel":"","JCR":"Q3","JCRName":"Dentistry","Score":null,"Total":0}
引用次数: 0

Abstract

Introduction: Calcium silicate-based sealers are an alternative to be used into root canal, mainly to their biological properties. However, some biological parameters need to be determined in an in vivo animal research model. So, the aim of the present study was to evaluate in vivo the tissue biocompatibility of a calcium silicate-based sealer (EndoSequence BC Sealer) and an epoxy resin-based sealer (AH-Plus).

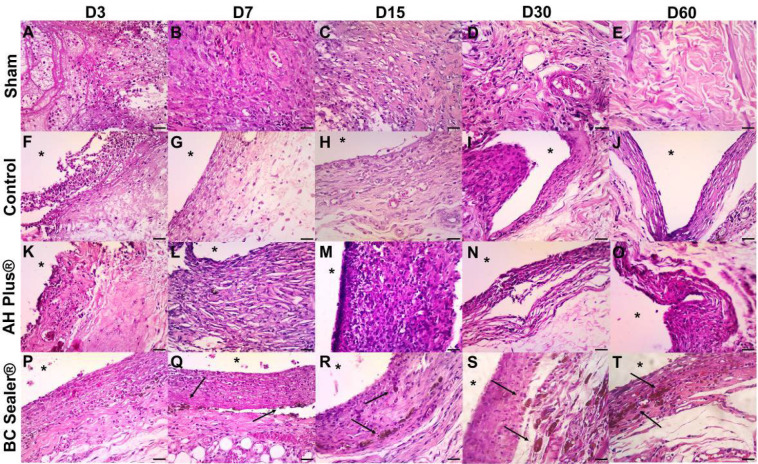
Materials and methods: Polyethylene tubes were filled with freshly mixed sealers and implanted in connective subcutaneous tissue of 25 rats (5/euthanasia day) (Rattus norvegicus albinus). Empty tubes were used as controls and no tubes as sham. Histopathological (hematoxylin eosin) and histochemical (Picrosirius red) examinations were conducted at 3, 7, 15, 30 and 60 days (five rats/day) after the implantation procedure (n=5/group). The type/intensity of inflammation and collagenesis was analyzed statistically with Friedman or Kruskal-Wallis/Dunn tests (P<0.05).

Results: The profile of inflammation induced by AH-Plus (Median=2, Range=2-3) was significantly greater than that by Endosequence BC Sealer (Median=1, Range=1-1) during the 15-day experimentation period (P=0.018). After 30 days, both materials produced similar tissue reaction (P>0.05). AH-Plus and Endosequence BC Sealer (Median=2, Range=1-2) induced a high level of fibrosis after 60-day than control (Median=1, Range=1-1) and sham (Median=0, Range=0-0) groups (P<0.001) of fibrosis based in type I collagen increase (P=0.025 and P=0.021, respectively). Tissue necrosis was not observed and the bioceramic sealer showed significant signs of endocytosed (Median=1, Range=1-1) material after 7 days than other groups (Median=0, Range=0-0) (P<0.05). The calcium silicate-based sealer induced tissue repair faster than the epoxy resin-based sealer tested. However, both materials showed adequate biocompatibility and tolerance by subcutaneous tissues, with few differences in inflammatory profiles, formation of granulation tissue, and collagenesis.

Conclusions: It may be concluded that calcium silicate-based sealer (EndoSequence BC Sealer) and an epoxy resin-based sealer (AH-Plus) presented suitable biocompatibility.

Abstract Image

Abstract Image

Abstract Image

硅酸钙基和环氧树脂基封固剂的组织生物相容性体内评估
简介硅酸钙封闭剂是根管中使用的一种替代品,主要是由于其生物特性。然而,一些生物参数需要在体内动物研究模型中确定。因此,本研究的目的是在体内评估硅酸钙基封固剂(EndoSequence BC Sealer)和环氧树脂基封固剂(AH-Plus)的组织生物相容性:将新鲜混合的封闭剂注入聚乙烯管中,然后植入 25 只大鼠(5 只/安乐死日)(Rattus norvegicus albinus)的皮下结缔组织中。空管作为对照组,无管作为假对照组。在植入手术后 3、7、15、30 和 60 天(每组 5 只大鼠/天)进行组织病理学(苏木精伊红)和组织化学(毕克茜红)检查(n=5/组)。采用 Friedman 或 Kruskal-Wallis/Dunn 检验对炎症类型/强度和胶原形成进行了统计分析(PResults:在 15 天的实验期间,AH-Plus(中位数=2,范围=2-3)诱导的炎症情况明显高于 Endosequence BC Sealer(中位数=1,范围=1-1)(P=0.018)。30 天后,两种材料产生的组织反应相似(P>0.05)。与对照组(中位数=1,范围=1-1)和假组(中位数=0,范围=0-0)相比,AH-Plus 和 Endosequence BC 密封剂(中位数=2,范围=1-2)在 60 天后引起的纤维化程度较高(PP 分别为 0.025 和 P=0.021)。未观察到组织坏死,与其他组(中值=0,范围=0-0)相比,生物陶瓷封闭剂在 7 天后显示出明显的材料内吞迹象(中值=1,范围=1-1)(PC 结论:结论:硅酸钙封闭剂(EndoSequence BC Sealer)和环氧树脂封闭剂(AH-Plus)具有良好的生物相容性。
本文章由计算机程序翻译,如有差异,请以英文原文为准。
求助全文
约1分钟内获得全文 求助全文
来源期刊
Iranian Endodontic Journal
Iranian Endodontic Journal Dentistry-Dentistry (all)
CiteScore
1.30
自引率
0.00%
发文量
0
审稿时长
12 weeks
期刊介绍: The Iranian Endodontic Journal (IEJ) is an international peer-reviewed biomedical publication, the aim of which is to provide a scientific medium of communication for researchers throughout the globe. IEJ aims to publish the highest quality articles, both clinical and scientific, on all aspects of Endodontics. The journal is an official Journal of the Iranian Center for Endodontic Research (ICER) and the Iranian Association of Endodontists (IAE). The Journal welcomes articles related to the scientific or applied aspects of endodontics e.g. original researches, systematic reviews, meta-analyses, review articles, clinical trials, case series/reports, hypotheses, letters to the editor, etc. From the beginning (i.e. since 2006), the IEJ was the first open access endodontic journal in the world, which gave readers free and instant access to published articles and enabling them faster discovery of the latest endodontic research.
×
引用
GB/T 7714-2015
复制
MLA
复制
APA
复制
导出至
BibTeX EndNote RefMan NoteFirst NoteExpress
×
提示
您的信息不完整,为了账户安全,请先补充。
现在去补充
×
提示
您因"违规操作"
具体请查看互助需知
我知道了
×
提示
确定
请完成安全验证×
copy
已复制链接
快去分享给好友吧!
我知道了
右上角分享
点击右上角分享
0
联系我们:info@booksci.cn Book学术提供免费学术资源搜索服务,方便国内外学者检索中英文文献。致力于提供最便捷和优质的服务体验。 Copyright © 2023 布克学术 All rights reserved.
京ICP备2023020795号-1
ghs 京公网安备 11010802042870号
Book学术文献互助
Book学术文献互助群
群 号:604180095
Book学术官方微信