Photon-counting computed tomography in radiology.

Polish journal of radiology Pub Date : 2024-09-11 eCollection Date: 2024-01-01 DOI:10.5114/pjr/191743
Oktay Algin, Nazime Tokgoz, Filippo Cademartiri
{"title":"Photon-counting computed tomography in radiology.","authors":"Oktay Algin, Nazime Tokgoz, Filippo Cademartiri","doi":"10.5114/pjr/191743","DOIUrl":null,"url":null,"abstract":"<p><p>Photon-counting detector computed tomography (PCD-CT) devices have recently been introduced into practice, despite photon-counting detector technology having been studied for many years. PCD-CT devices are expected to provide advantages in dose reduction, tissue specificity, artifact-free imaging, and multi-contrast demonstration capacity. Noise reduction and increased spatial resolution are expected using PCD-CT, even under challenging scanning conditions. Some experimental or preliminary studies support this hypothesis. This pictorial review illustrates the features of PCD-CT systems, particularly in the interventional field. PCD-CT offers superior image quality and better lesion discrimination than conventional CT techniques for various conditions. PCD-CT shows significant improvements in many aspects of vascular imaging. It is still in its early stages, and several challenges have been identified. Also, PCD-CT devices have some important caveats. The average cost of these devices is 3 to 4 times higher than conventional CT units. This additional cost must be justified by improved clinical benefits or reduced clinical harms. Further investigations will be needed to resolve these issues.</p>","PeriodicalId":94174,"journal":{"name":"Polish journal of radiology","volume":"89 ","pages":"e433-e442"},"PeriodicalIF":0.0000,"publicationDate":"2024-09-11","publicationTypes":"Journal Article","fieldsOfStudy":null,"isOpenAccess":false,"openAccessPdf":"https://www.ncbi.nlm.nih.gov/pmc/articles/PMC11497591/pdf/","citationCount":"0","resultStr":null,"platform":"Semanticscholar","paperid":null,"PeriodicalName":"Polish journal of radiology","FirstCategoryId":"1085","ListUrlMain":"https://doi.org/10.5114/pjr/191743","RegionNum":0,"RegionCategory":null,"ArticlePicture":[],"TitleCN":null,"AbstractTextCN":null,"PMCID":null,"EPubDate":"2024/1/1 0:00:00","PubModel":"eCollection","JCR":"","JCRName":"","Score":null,"Total":0}
引用次数: 0

Abstract

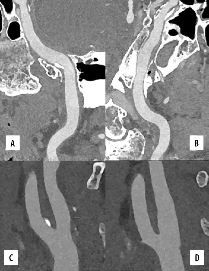
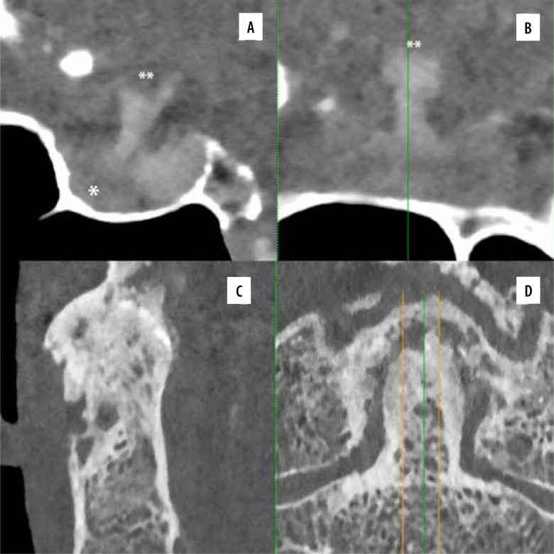
Photon-counting detector computed tomography (PCD-CT) devices have recently been introduced into practice, despite photon-counting detector technology having been studied for many years. PCD-CT devices are expected to provide advantages in dose reduction, tissue specificity, artifact-free imaging, and multi-contrast demonstration capacity. Noise reduction and increased spatial resolution are expected using PCD-CT, even under challenging scanning conditions. Some experimental or preliminary studies support this hypothesis. This pictorial review illustrates the features of PCD-CT systems, particularly in the interventional field. PCD-CT offers superior image quality and better lesion discrimination than conventional CT techniques for various conditions. PCD-CT shows significant improvements in many aspects of vascular imaging. It is still in its early stages, and several challenges have been identified. Also, PCD-CT devices have some important caveats. The average cost of these devices is 3 to 4 times higher than conventional CT units. This additional cost must be justified by improved clinical benefits or reduced clinical harms. Further investigations will be needed to resolve these issues.

Abstract Image

Abstract Image

Abstract Image

放射学中的光子计数计算机断层扫描。
尽管光子计数探测器技术已被研究多年,但光子计数探测器计算机断层扫描(PCD-CT)设备最近才开始投入使用。PCD-CT 设备有望在减少剂量、组织特异性、无伪影成像和多对比度演示能力方面提供优势。即使在极具挑战性的扫描条件下,PCD-CT 也有望降低噪音并提高空间分辨率。一些实验或初步研究支持这一假设。本图解综述介绍了 PCD-CT 系统的特点,尤其是在介入领域的应用。与传统 CT 技术相比,PCD-CT 在各种情况下都能提供卓越的图像质量和更好的病灶辨别能力。PCD-CT 在血管成像的许多方面都有明显改善。目前,PCD-CT 仍处于早期阶段,还存在一些挑战。此外,PCD-CT 设备还有一些重要的注意事项。这些设备的平均成本是传统 CT 设备的 3 到 4 倍。必须通过提高临床疗效或减少临床危害来证明增加的成本是合理的。要解决这些问题,还需要进一步的研究。
本文章由计算机程序翻译,如有差异,请以英文原文为准。
求助全文
约1分钟内获得全文 求助全文
来源期刊
CiteScore
2.10
自引率
0.00%
发文量
0
×
引用
GB/T 7714-2015
复制
MLA
复制
APA
复制
导出至
BibTeX EndNote RefMan NoteFirst NoteExpress
×
提示
您的信息不完整,为了账户安全,请先补充。
现在去补充
×
提示
您因"违规操作"
具体请查看互助需知
我知道了
×
提示
确定
请完成安全验证×
copy
已复制链接
快去分享给好友吧!
我知道了
右上角分享
点击右上角分享
0
联系我们:info@booksci.cn Book学术提供免费学术资源搜索服务,方便国内外学者检索中英文文献。致力于提供最便捷和优质的服务体验。 Copyright © 2023 布克学术 All rights reserved.
京ICP备2023020795号-1
ghs 京公网安备 11010802042870号
Book学术文献互助
Book学术文献互助群
群 号:604180095
Book学术官方微信