A Rare Case of Tracheal Schwannoma Successfully Treated With Endoscopic Resection and Cryoablation Under Rigid Bronchoscopy.

Q4 Medicine
Case Reports in Pulmonology Pub Date : 2024-10-16 eCollection Date: 2024-01-01 DOI:10.1155/2024/2961560
Ming Chiu Chan, Cheuk Cheung Derek Leung, Yu Hong Chan, Man Ying Ho, Chun Hoi Chen, Ching Man Ngai, Hiu Ching Christy Chan, Yiu Cheong Yeung
{"title":"A Rare Case of Tracheal Schwannoma Successfully Treated With Endoscopic Resection and Cryoablation Under Rigid Bronchoscopy.","authors":"Ming Chiu Chan, Cheuk Cheung Derek Leung, Yu Hong Chan, Man Ying Ho, Chun Hoi Chen, Ching Man Ngai, Hiu Ching Christy Chan, Yiu Cheong Yeung","doi":"10.1155/2024/2961560","DOIUrl":null,"url":null,"abstract":"<p><p>We present a rare case of tracheal schwannoma, the first reported in Hong Kong, emphasizing the diagnostic challenges and treatment outcomes. A 54-year-old woman with respiratory symptoms underwent evaluations revealing a tracheal mass causing luminal narrowing. Emergency operation with rigid bronchoscopy and cryoablation successfully removed the tumor. Follow-up bronchoscopies showed a gradual reduction in residual tumor size, with no evidence of recurrence after 3.5 years postoperation. Tracheal schwannomas are exceedingly rare, often resulting in delayed diagnosis. Clinicians should maintain a high suspicion of tracheal tumors in patients with unexplained respiratory symptoms. Spirometry and flow volume loop analysis aid in identifying upper airway obstruction. Rigid bronchoscopy is preferred for diagnosis and treatment, ensuring airway stability and obtaining tissue samples. Surgical resection remains the mainstay, but observation after endoscopic resection may be considered. This case highlights the successful management of tracheal schwannoma through endoscopic resection and cryoablation, emphasizing the need for further studies and case reports on this rare entity.</p>","PeriodicalId":52364,"journal":{"name":"Case Reports in Pulmonology","volume":"2024 ","pages":"2961560"},"PeriodicalIF":0.0000,"publicationDate":"2024-10-16","publicationTypes":"Journal Article","fieldsOfStudy":null,"isOpenAccess":false,"openAccessPdf":"https://www.ncbi.nlm.nih.gov/pmc/articles/PMC11498987/pdf/","citationCount":"0","resultStr":null,"platform":"Semanticscholar","paperid":null,"PeriodicalName":"Case Reports in Pulmonology","FirstCategoryId":"1085","ListUrlMain":"https://doi.org/10.1155/2024/2961560","RegionNum":0,"RegionCategory":null,"ArticlePicture":[],"TitleCN":null,"AbstractTextCN":null,"PMCID":null,"EPubDate":"2024/1/1 0:00:00","PubModel":"eCollection","JCR":"Q4","JCRName":"Medicine","Score":null,"Total":0}
引用次数: 0

Abstract

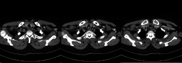
We present a rare case of tracheal schwannoma, the first reported in Hong Kong, emphasizing the diagnostic challenges and treatment outcomes. A 54-year-old woman with respiratory symptoms underwent evaluations revealing a tracheal mass causing luminal narrowing. Emergency operation with rigid bronchoscopy and cryoablation successfully removed the tumor. Follow-up bronchoscopies showed a gradual reduction in residual tumor size, with no evidence of recurrence after 3.5 years postoperation. Tracheal schwannomas are exceedingly rare, often resulting in delayed diagnosis. Clinicians should maintain a high suspicion of tracheal tumors in patients with unexplained respiratory symptoms. Spirometry and flow volume loop analysis aid in identifying upper airway obstruction. Rigid bronchoscopy is preferred for diagnosis and treatment, ensuring airway stability and obtaining tissue samples. Surgical resection remains the mainstay, but observation after endoscopic resection may be considered. This case highlights the successful management of tracheal schwannoma through endoscopic resection and cryoablation, emphasizing the need for further studies and case reports on this rare entity.

Abstract Image

Abstract Image

Abstract Image

在硬质支气管镜下通过内窥镜切除和冷冻消融成功治疗气管许旺瘤的罕见病例
我们介绍了一例罕见的气管裂孔瘤病例,这在香港尚属首次报道,强调了诊断的挑战性和治疗效果。一名 54 岁女性因呼吸道症状接受评估,发现气管肿块导致管腔狭窄。紧急手术采用硬质支气管镜和低温消融术,成功切除了肿瘤。后续的支气管镜检查显示,残余肿瘤逐渐缩小,术后 3.5 年无复发迹象。气管裂孔瘤极为罕见,常常导致诊断延误。临床医生应高度怀疑有不明原因呼吸道症状的患者患有气管肿瘤。肺活量测定和血流容量环分析有助于确定上气道阻塞。刚性支气管镜是诊断和治疗的首选,可确保气道稳定并获取组织样本。手术切除仍是主要手段,但也可考虑在内镜切除后进行观察。本病例强调了通过内窥镜切除术和冷冻消融术成功治疗气管裂孔瘤的重要性,同时也强调了对这种罕见肿瘤进行进一步研究和病例报告的必要性。
本文章由计算机程序翻译,如有差异,请以英文原文为准。
求助全文
约1分钟内获得全文 求助全文
来源期刊
Case Reports in Pulmonology
Case Reports in Pulmonology Medicine-Pulmonary and Respiratory Medicine
CiteScore
1.80
自引率
0.00%
发文量
23
审稿时长
13 weeks
×
引用
GB/T 7714-2015
复制
MLA
复制
APA
复制
导出至
BibTeX EndNote RefMan NoteFirst NoteExpress
×
提示
您的信息不完整,为了账户安全,请先补充。
现在去补充
×
提示
您因"违规操作"
具体请查看互助需知
我知道了
×
提示
确定
请完成安全验证×
copy
已复制链接
快去分享给好友吧!
我知道了
右上角分享
点击右上角分享
0
联系我们:info@booksci.cn Book学术提供免费学术资源搜索服务,方便国内外学者检索中英文文献。致力于提供最便捷和优质的服务体验。 Copyright © 2023 布克学术 All rights reserved.
京ICP备2023020795号-1
ghs 京公网安备 11010802042870号
Book学术文献互助
Book学术文献互助群
群 号:604180095
Book学术官方微信