Spotlight on Hemorrhagic Destruction of the Brain, Subependymal Calcification, and Congenital Cataracts (HDBSCC).

IF 2.4 Q1 OPHTHALMOLOGY
Eye and Brain Pub Date : 2024-10-23 eCollection Date: 2024-01-01 DOI:10.2147/EB.S419663
Igor Kozak, Ganeshwaran H Mochida, Doris D M Lin, Syed M Ali, Thomas M Bosley
{"title":"Spotlight on Hemorrhagic Destruction of the Brain, Subependymal Calcification, and Congenital Cataracts (HDBSCC).","authors":"Igor Kozak, Ganeshwaran H Mochida, Doris D M Lin, Syed M Ali, Thomas M Bosley","doi":"10.2147/EB.S419663","DOIUrl":null,"url":null,"abstract":"<p><p>Hemorrhagic Destruction of the Brain, Subependymal Calcification, and Congenital Cataracts (HDBSCC) is a rare syndrome caused by biallelic mutations in the JAM3 gene with significant intrafamilial variability in clinical presentation and brain imaging phenotypes. The clinical presentation of HDBSCC includes severe recurrent hemorrhages involving the brain parenchyma and the ventricles beginning in utero and continuing in infancy together with dense central cataracts present at birth. This comprehensive review documents reported cases on this unique condition and describes its genetic, neuroradiologic and ophthalmic features. It should be included in the differential diagnosis of children with congenital cataracts and neurodevelopmental abnormalities. Unique clinical, imaging findings and genetic testing can help the diagnosis.</p>","PeriodicalId":51844,"journal":{"name":"Eye and Brain","volume":"16 ","pages":"55-63"},"PeriodicalIF":2.4000,"publicationDate":"2024-10-23","publicationTypes":"Journal Article","fieldsOfStudy":null,"isOpenAccess":false,"openAccessPdf":"https://www.ncbi.nlm.nih.gov/pmc/articles/PMC11512770/pdf/","citationCount":"0","resultStr":null,"platform":"Semanticscholar","paperid":null,"PeriodicalName":"Eye and Brain","FirstCategoryId":"1085","ListUrlMain":"https://doi.org/10.2147/EB.S419663","RegionNum":0,"RegionCategory":null,"ArticlePicture":[],"TitleCN":null,"AbstractTextCN":null,"PMCID":null,"EPubDate":"2024/1/1 0:00:00","PubModel":"eCollection","JCR":"Q1","JCRName":"OPHTHALMOLOGY","Score":null,"Total":0}
引用次数: 0

Abstract

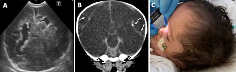
Hemorrhagic Destruction of the Brain, Subependymal Calcification, and Congenital Cataracts (HDBSCC) is a rare syndrome caused by biallelic mutations in the JAM3 gene with significant intrafamilial variability in clinical presentation and brain imaging phenotypes. The clinical presentation of HDBSCC includes severe recurrent hemorrhages involving the brain parenchyma and the ventricles beginning in utero and continuing in infancy together with dense central cataracts present at birth. This comprehensive review documents reported cases on this unique condition and describes its genetic, neuroradiologic and ophthalmic features. It should be included in the differential diagnosis of children with congenital cataracts and neurodevelopmental abnormalities. Unique clinical, imaging findings and genetic testing can help the diagnosis.

Abstract Image

Abstract Image

Abstract Image

聚焦出血性脑损伤、髓鞘下钙化和先天性白内障 (HDBSCC)。
脑出血毁损、脑室下钙化和先天性白内障(HDBSCC)是一种罕见的综合征,由 JAM3 基因的双倍突变引起,其临床表现和脑成像表型在家族内存在显著差异。HDBSCC 的临床表现包括从子宫内开始至婴儿期脑实质和脑室的严重复发性出血,以及出生时出现的致密中心性白内障。本综述记录了有关这种独特病症的报道病例,并描述了其遗传学、神经放射学和眼科特征。在对患有先天性白内障和神经发育异常的儿童进行鉴别诊断时,应将其包括在内。独特的临床、影像学发现和基因检测有助于诊断。
本文章由计算机程序翻译,如有差异,请以英文原文为准。
求助全文
约1分钟内获得全文 求助全文
来源期刊
Eye and Brain
Eye and Brain OPHTHALMOLOGY-
CiteScore
7.90
自引率
2.30%
发文量
12
审稿时长
16 weeks
期刊介绍: Eye and Brain is an international, peer-reviewed, open access journal focusing on basic research, clinical findings, and expert reviews in the field of visual science and neuro-ophthalmology. The journal’s unique focus is the link between two well-known visual centres, the eye and the brain, with an emphasis on the importance of such connections. All aspects of clinical and especially basic research on the visual system are addressed within the journal as well as significant future directions in vision research and therapeutic measures. This unique journal focuses on neurological aspects of vision – both physiological and pathological. The scope of the journal spans from the cornea to the associational visual cortex and all the visual centers in between. Topics range from basic biological mechanisms to therapeutic treatment, from simple organisms to humans, and utilizing techniques from molecular biology to behavior. The journal especially welcomes primary research articles or review papers that make the connection between the eye and the brain. Specific areas covered in the journal include: Physiology and pathophysiology of visual centers, Eye movement disorders and strabismus, Cellular, biochemical, and molecular features of the visual system, Structural and functional organization of the eye and of the visual cortex, Metabolic demands of the visual system, Diseases and disorders with neuro-ophthalmic manifestations, Clinical and experimental neuro-ophthalmology and visual system pathologies, Epidemiological studies.
×
引用
GB/T 7714-2015
复制
MLA
复制
APA
复制
导出至
BibTeX EndNote RefMan NoteFirst NoteExpress
×
提示
您的信息不完整,为了账户安全,请先补充。
现在去补充
×
提示
您因"违规操作"
具体请查看互助需知
我知道了
×
提示
确定
请完成安全验证×
copy
已复制链接
快去分享给好友吧!
我知道了
右上角分享
点击右上角分享
0
联系我们:info@booksci.cn Book学术提供免费学术资源搜索服务,方便国内外学者检索中英文文献。致力于提供最便捷和优质的服务体验。 Copyright © 2023 布克学术 All rights reserved.
京ICP备2023020795号-1
ghs 京公网安备 11010802042870号
Book学术文献互助
Book学术文献互助群
群 号:604180095
Book学术官方微信