A reproducible method to study traumatic injury-induced zebrafish brain regeneration.

IF 1.3 Q3 BIOCHEMICAL RESEARCH METHODS
Biology Methods and Protocols Pub Date : 2024-10-10 eCollection Date: 2024-01-01 DOI:10.1093/biomethods/bpae073
Priyanka P Srivastava, Sidharth Bhasin, Sunita S Shankaran, Catherine Roger, Rajesh Ramachandran, Shilpi Minocha
{"title":"A reproducible method to study traumatic injury-induced zebrafish brain regeneration.","authors":"Priyanka P Srivastava, Sidharth Bhasin, Sunita S Shankaran, Catherine Roger, Rajesh Ramachandran, Shilpi Minocha","doi":"10.1093/biomethods/bpae073","DOIUrl":null,"url":null,"abstract":"<p><p>Traumatic brain injury (TBI) can be caused by a sudden blow or jolt to the head, causing irreversible brain damage leading to cellular and functional loss. Mammals cannot repair such damage, which may increase the risk of progressive neurodegeneration. Unlike mammals, lower vertebrates such as zebrafish have the astounding capability to regenerate their brains. A model system would be of great value to study zebrafish brain regeneration. Here, we describe a physical method to induce traumatic injury in the zebrafish brain and outline a pipeline to utilize this model system to explore various aspects of brain regeneration. This will significantly advance the fields of regenerative biology and neuroscience. The method includes inducing TBI and validating this through histological assays, immunohistochemistry, and gene expression analysis. By using this model system, researchers will be able to gain valuable insights into the cellular and molecular mechanisms underlying brain regeneration. Understanding these mechanisms could lead to the identification of potential strategies to address neurodegenerative conditions in higher vertebrates.</p>","PeriodicalId":36528,"journal":{"name":"Biology Methods and Protocols","volume":"9 1","pages":"bpae073"},"PeriodicalIF":1.3000,"publicationDate":"2024-10-10","publicationTypes":"Journal Article","fieldsOfStudy":null,"isOpenAccess":false,"openAccessPdf":"https://www.ncbi.nlm.nih.gov/pmc/articles/PMC11502497/pdf/","citationCount":"0","resultStr":null,"platform":"Semanticscholar","paperid":null,"PeriodicalName":"Biology Methods and Protocols","FirstCategoryId":"1085","ListUrlMain":"https://doi.org/10.1093/biomethods/bpae073","RegionNum":0,"RegionCategory":null,"ArticlePicture":[],"TitleCN":null,"AbstractTextCN":null,"PMCID":null,"EPubDate":"2024/1/1 0:00:00","PubModel":"eCollection","JCR":"Q3","JCRName":"BIOCHEMICAL RESEARCH METHODS","Score":null,"Total":0}
引用次数: 0

Abstract

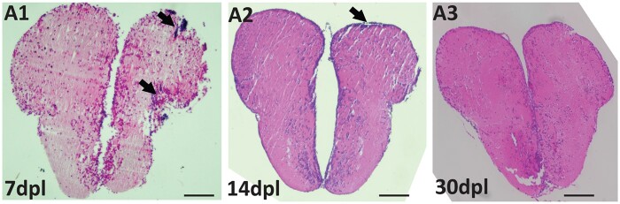
Traumatic brain injury (TBI) can be caused by a sudden blow or jolt to the head, causing irreversible brain damage leading to cellular and functional loss. Mammals cannot repair such damage, which may increase the risk of progressive neurodegeneration. Unlike mammals, lower vertebrates such as zebrafish have the astounding capability to regenerate their brains. A model system would be of great value to study zebrafish brain regeneration. Here, we describe a physical method to induce traumatic injury in the zebrafish brain and outline a pipeline to utilize this model system to explore various aspects of brain regeneration. This will significantly advance the fields of regenerative biology and neuroscience. The method includes inducing TBI and validating this through histological assays, immunohistochemistry, and gene expression analysis. By using this model system, researchers will be able to gain valuable insights into the cellular and molecular mechanisms underlying brain regeneration. Understanding these mechanisms could lead to the identification of potential strategies to address neurodegenerative conditions in higher vertebrates.

Abstract Image

Abstract Image

Abstract Image

研究创伤诱导斑马鱼脑再生的可重复方法。
创伤性脑损伤(TBI)可由头部突然受到撞击或颠簸引起,造成不可逆转的脑损伤,导致细胞和功能丧失。哺乳动物无法修复这种损伤,这可能会增加渐进性神经变性的风险。与哺乳动物不同,斑马鱼等低等脊椎动物具有惊人的大脑再生能力。建立一个模型系统对研究斑马鱼大脑再生具有重要价值。在此,我们描述了诱导斑马鱼大脑创伤的物理方法,并概述了利用这一模型系统探索大脑再生各方面问题的流程。这将极大地推动再生生物学和神经科学领域的发展。该方法包括诱导创伤性脑损伤,并通过组织学检测、免疫组化和基因表达分析进行验证。通过使用这一模型系统,研究人员将能够获得有关脑再生的细胞和分子机制的宝贵见解。了解了这些机制,就能找到解决高等脊椎动物神经退行性疾病的潜在策略。
本文章由计算机程序翻译,如有差异,请以英文原文为准。
求助全文
约1分钟内获得全文 求助全文
来源期刊
Biology Methods and Protocols
Biology Methods and Protocols Agricultural and Biological Sciences-Agricultural and Biological Sciences (all)
CiteScore
3.80
自引率
2.80%
发文量
28
审稿时长
19 weeks
×
引用
GB/T 7714-2015
复制
MLA
复制
APA
复制
导出至
BibTeX EndNote RefMan NoteFirst NoteExpress
×
提示
您的信息不完整,为了账户安全,请先补充。
现在去补充
×
提示
您因"违规操作"
具体请查看互助需知
我知道了
×
提示
确定
请完成安全验证×
copy
已复制链接
快去分享给好友吧!
我知道了
右上角分享
点击右上角分享
0
联系我们:info@booksci.cn Book学术提供免费学术资源搜索服务,方便国内外学者检索中英文文献。致力于提供最便捷和优质的服务体验。 Copyright © 2023 布克学术 All rights reserved.
京ICP备2023020795号-1
ghs 京公网安备 11010802042870号
Book学术文献互助
Book学术文献互助群
群 号:604180095
Book学术官方微信