Pulsatile Proptosis and Sphenoid Wing Dysplasia with no Evidence of Neurofibromatosis Type 1: A Case Report and Review of the Literature.

Q3 Medicine
Yeliz Delibay Akgün, Mustafa Erdoğan, Muhammed Altınışık, Hüseyin Mayalı, Süleyman Sami İlker
{"title":"Pulsatile Proptosis and Sphenoid Wing Dysplasia with no Evidence of Neurofibromatosis Type 1: A Case Report and Review of the Literature.","authors":"Yeliz Delibay Akgün, Mustafa Erdoğan, Muhammed Altınışık, Hüseyin Mayalı, Süleyman Sami İlker","doi":"10.4274/tjo.galenos.2024.10662","DOIUrl":null,"url":null,"abstract":"<p><p>In this study, we aimed to present a rare case of pulsatile proptosis due to sphenoid wing dysplasia without the features of neurofibromatosis type 1 (NF1). A 17-year-old male patient presented with swelling in the superotemporal region of the right eye. Physical examination revealed facial asymmetry with a pulsatile, ill-defined, soft lesion with in the superotemporal region of the right orbit associated with pulsatile proptosis, downward dystopia, and hypotropia. Computer tomography imaging to establish a differential diagnosis showed temporal lobe herniation secondary to sphenoid wing dysplasia. The patient was assessed for NF1, which is most commonly associated with sphenoid wing dysplasia, but no evidence supporting the diagnosis was found. Patients presenting with proptosis should be carefully examined for pulsation and murmurs, and a trauma history should be investigated. Radiological imaging should be used to facilitate the differential diagnosis, and the current clinical condition should be managed with a multidisciplinary approach.</p>","PeriodicalId":23373,"journal":{"name":"Turkish Journal of Ophthalmology","volume":"54 5","pages":"304-308"},"PeriodicalIF":0.0000,"publicationDate":"2024-10-25","publicationTypes":"Journal Article","fieldsOfStudy":null,"isOpenAccess":false,"openAccessPdf":"https://www.ncbi.nlm.nih.gov/pmc/articles/PMC11589236/pdf/","citationCount":"0","resultStr":null,"platform":"Semanticscholar","paperid":null,"PeriodicalName":"Turkish Journal of Ophthalmology","FirstCategoryId":"1085","ListUrlMain":"https://doi.org/10.4274/tjo.galenos.2024.10662","RegionNum":0,"RegionCategory":null,"ArticlePicture":[],"TitleCN":null,"AbstractTextCN":null,"PMCID":null,"EPubDate":"","PubModel":"","JCR":"Q3","JCRName":"Medicine","Score":null,"Total":0}
引用次数: 0

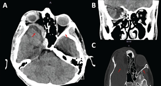
Abstract

In this study, we aimed to present a rare case of pulsatile proptosis due to sphenoid wing dysplasia without the features of neurofibromatosis type 1 (NF1). A 17-year-old male patient presented with swelling in the superotemporal region of the right eye. Physical examination revealed facial asymmetry with a pulsatile, ill-defined, soft lesion with in the superotemporal region of the right orbit associated with pulsatile proptosis, downward dystopia, and hypotropia. Computer tomography imaging to establish a differential diagnosis showed temporal lobe herniation secondary to sphenoid wing dysplasia. The patient was assessed for NF1, which is most commonly associated with sphenoid wing dysplasia, but no evidence supporting the diagnosis was found. Patients presenting with proptosis should be carefully examined for pulsation and murmurs, and a trauma history should be investigated. Radiological imaging should be used to facilitate the differential diagnosis, and the current clinical condition should be managed with a multidisciplinary approach.

Abstract Image

Abstract Image

Abstract Image

无神经纤维瘤病 1 型证据的搏动性突眼和鼻翼发育不良:病例报告和文献综述。
本研究旨在介绍一例罕见的蝶骨翼发育不良引起的搏动性突眼病例,该病例没有神经纤维瘤病 1 型(NF1)的特征。一名 17 岁的男性患者因右眼颞上区肿胀而就诊。体格检查发现患者面部不对称,右眼眶颞上区有搏动性、不明确的软病变,并伴有搏动性突眼、向下斜视和眼球下垂。为确定鉴别诊断而进行的计算机断层扫描成像显示,颞叶疝继发于蝶骨翼发育不良。对患者进行了 NF1 评估,NF1 最常与蝶骨翼发育不良有关,但没有发现支持该诊断的证据。对出现突眼的患者应仔细检查是否有搏动和杂音,并调查是否有外伤史。应使用放射成像技术进行鉴别诊断,并通过多学科方法处理目前的临床状况。
本文章由计算机程序翻译,如有差异,请以英文原文为准。
求助全文
约1分钟内获得全文 求助全文
来源期刊
Turkish Journal of Ophthalmology
Turkish Journal of Ophthalmology Medicine-Ophthalmology
CiteScore
2.20
自引率
0.00%
发文量
0
期刊介绍: The Turkish Journal of Ophthalmology (TJO) is the only scientific periodical publication of the Turkish Ophthalmological Association and has been published since January 1929. In its early years, the journal was published in Turkish and French. Although there were temporary interruptions in the publication of the journal due to various challenges, the Turkish Journal of Ophthalmology has been published continually from 1971 to the present. The target audience includes specialists and physicians in training in ophthalmology in all relevant disciplines.
×
引用
GB/T 7714-2015
复制
MLA
复制
APA
复制
导出至
BibTeX EndNote RefMan NoteFirst NoteExpress
×
提示
您的信息不完整,为了账户安全,请先补充。
现在去补充
×
提示
您因"违规操作"
具体请查看互助需知
我知道了
×
提示
确定
请完成安全验证×
copy
已复制链接
快去分享给好友吧!
我知道了
右上角分享
点击右上角分享
0
联系我们:info@booksci.cn Book学术提供免费学术资源搜索服务,方便国内外学者检索中英文文献。致力于提供最便捷和优质的服务体验。 Copyright © 2023 布克学术 All rights reserved.
京ICP备2023020795号-1
ghs 京公网安备 11010802042870号
Book学术文献互助
Book学术文献互助群
群 号:604180095
Book学术官方微信