Silent Intruders: Recurrent Suture Granuloma Unveiled in Caesarean Scar.

Arun Sanap, Anita Yadav, Amruta Choudhary, Anusha Kamath, Prajakta Bhimgade, Gauri Patokar, Bishnupriya Moharana
{"title":"Silent Intruders: Recurrent Suture Granuloma Unveiled in Caesarean Scar.","authors":"Arun Sanap, Anita Yadav, Amruta Choudhary, Anusha Kamath, Prajakta Bhimgade, Gauri Patokar, Bishnupriya Moharana","doi":"10.18502/jfrh.v18i3.16662","DOIUrl":null,"url":null,"abstract":"<p><strong>Objective: </strong>To describe the clinical and radio-pathological features of suture granuloma, an inflammatory response to retained suture material that primarily affects non-absorbable sutures.</p><p><strong>Case report: </strong>We report a case of a 26-year-old female presenting with painful swelling at a caesarean section scar, previously excised for similar complaints. Physical examination revealed a solid soft tissue mass on the scar. Magnetic resonance imaging (MRI) identified a 2x2 cm lesion in the right abdominal wall, suggestive of suture granuloma. Surgical excision revealed prolene suture material within the granulomatous tissue. Histopathology confirmed foreign body reaction.</p><p><strong>Conclusion: </strong>Recurrence post-prior excision underscores the importance of complete granuloma removal. Differential diagnoses included scar endometriosis and inflammatory lesions. Suture granulomas, though rare, require consideration in scar-related swelling. Collaboration between specialties ensures accurate diagnosis and management.</p>","PeriodicalId":15845,"journal":{"name":"Journal of Family and Reproductive Health","volume":"18 3","pages":"197-199"},"PeriodicalIF":0.0000,"publicationDate":"2024-09-01","publicationTypes":"Journal Article","fieldsOfStudy":null,"isOpenAccess":false,"openAccessPdf":"https://www.ncbi.nlm.nih.gov/pmc/articles/PMC11491700/pdf/","citationCount":"0","resultStr":null,"platform":"Semanticscholar","paperid":null,"PeriodicalName":"Journal of Family and Reproductive Health","FirstCategoryId":"1085","ListUrlMain":"https://doi.org/10.18502/jfrh.v18i3.16662","RegionNum":0,"RegionCategory":null,"ArticlePicture":[],"TitleCN":null,"AbstractTextCN":null,"PMCID":null,"EPubDate":"","PubModel":"","JCR":"","JCRName":"","Score":null,"Total":0}
引用次数: 0

Abstract

Objective: To describe the clinical and radio-pathological features of suture granuloma, an inflammatory response to retained suture material that primarily affects non-absorbable sutures.

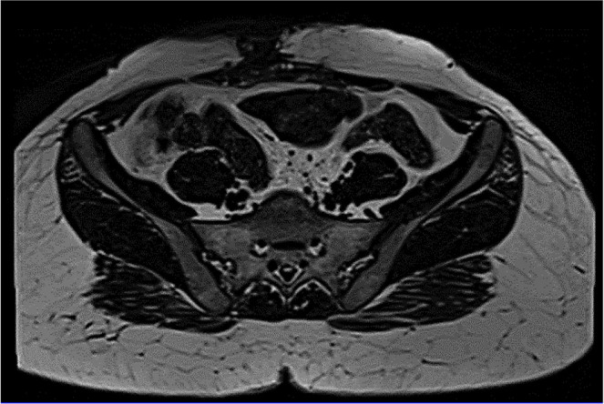
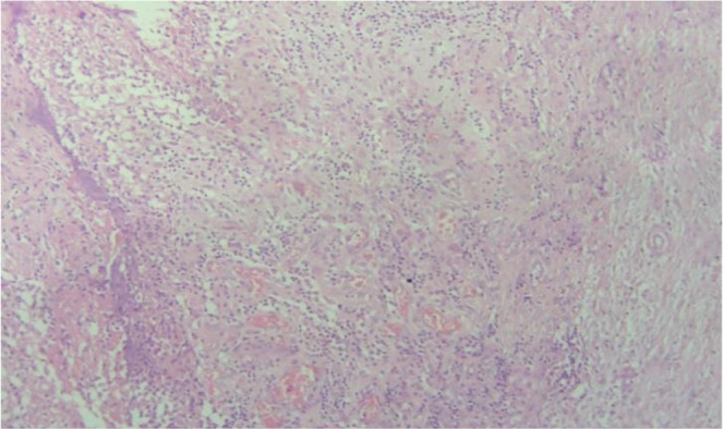
Case report: We report a case of a 26-year-old female presenting with painful swelling at a caesarean section scar, previously excised for similar complaints. Physical examination revealed a solid soft tissue mass on the scar. Magnetic resonance imaging (MRI) identified a 2x2 cm lesion in the right abdominal wall, suggestive of suture granuloma. Surgical excision revealed prolene suture material within the granulomatous tissue. Histopathology confirmed foreign body reaction.

Conclusion: Recurrence post-prior excision underscores the importance of complete granuloma removal. Differential diagnoses included scar endometriosis and inflammatory lesions. Suture granulomas, though rare, require consideration in scar-related swelling. Collaboration between specialties ensures accurate diagnosis and management.

Abstract Image

Abstract Image

Abstract Image

无声的入侵者:剖腹产疤痕中的复发性缝合肉芽肿。
目的:描述缝合肉芽肿的临床和放射病理学特征:描述缝合肉芽肿的临床和放射病理学特征,缝合肉芽肿是对残留缝合材料的一种炎症反应,主要影响非吸收缝合线:我们报告了一例 26 岁女性的病例,她因剖腹产疤痕处肿胀疼痛而就诊,该疤痕曾因类似主诉而被切除。体格检查发现疤痕处有一个实性软组织肿块。磁共振成像(MRI)发现右腹壁有一个 2x2 厘米的病变,提示为缝线肉芽肿。手术切除后发现肉芽肿组织内有普洛林缝合材料。组织病理学证实为异物反应:结论:先前切除术后的复发强调了彻底切除肉芽肿的重要性。鉴别诊断包括疤痕子宫内膜异位症和炎性病变。缝线肉芽肿虽然罕见,但需要考虑与疤痕相关的肿胀。各专科间的合作可确保诊断和治疗的准确性。
本文章由计算机程序翻译,如有差异,请以英文原文为准。
求助全文
约1分钟内获得全文 求助全文
来源期刊
自引率
0.00%
发文量
30
审稿时长
5 weeks
期刊介绍: The Journal of Family & Reproductive Health (JFRH) is the quarterly official journal of Vali–e–Asr Reproductive Health Research Center. This journal features fulllength, peerreviewed papers reporting original research, clinical case histories, review articles, as well as opinions and debates on topical issues. Papers published cover the scientific and medical aspects of reproductive physiology and pathology including genetics, endocrinology, andrology, embryology, gynecologic urology, fetomaternal medicine, oncology, infectious disease, public health, nutrition, surgery, menopause, family planning, infertility, psychiatry–psychology, demographic modeling, perinatalogy–neonatolgy ethics and social issues, and pharmacotherapy. A high scientific and editorial standard is maintained throughout the journal along with a regular rate of publication. All published articles will become the property of the JFRH. The editor and publisher accept no responsibility for the statements expressed by the authors here in. Also they do not guarantee, warrant or endorse any product or service advertised in the journal.
×
引用
GB/T 7714-2015
复制
MLA
复制
APA
复制
导出至
BibTeX EndNote RefMan NoteFirst NoteExpress
×
提示
您的信息不完整,为了账户安全,请先补充。
现在去补充
×
提示
您因"违规操作"
具体请查看互助需知
我知道了
×
提示
确定
请完成安全验证×
copy
已复制链接
快去分享给好友吧!
我知道了
右上角分享
点击右上角分享
0
联系我们:info@booksci.cn Book学术提供免费学术资源搜索服务,方便国内外学者检索中英文文献。致力于提供最便捷和优质的服务体验。 Copyright © 2023 布克学术 All rights reserved.
京ICP备2023020795号-1
ghs 京公网安备 11010802042870号
Book学术文献互助
Book学术文献互助群
群 号:604180095
Book学术官方微信