New-Onset Focal to Bilateral Tonic-Clonic Seizure Following COVID-19 Vaccination.

IF 0.9 Q4 CLINICAL NEUROLOGY
Case Reports in Neurological Medicine Pub Date : 2024-10-16 eCollection Date: 2024-01-01 DOI:10.1155/2024/8808334
Chun Seng Phua, Azman Ali Raymond, Shalini Bhaskar
{"title":"New-Onset Focal to Bilateral Tonic-Clonic Seizure Following COVID-19 Vaccination.","authors":"Chun Seng Phua, Azman Ali Raymond, Shalini Bhaskar","doi":"10.1155/2024/8808334","DOIUrl":null,"url":null,"abstract":"<p><p>An 18-year-old male presented with new-onset focal to bilateral tonic-clonic seizures 5 days after receiving the first dose of COVID-19 vaccine. 3 days later, an identical seizure occurred lasting 1 min, leading to an acute presentation to the hospital. In hospital, the patient was loaded with intravenous phenytoin and started on levetiracetam with no further seizure recurrence. CT venogram and scalp EEG were unremarkable. MRI brain revealed generalised atrophy with mild bilateral hippocampal atrophy. The patient was maintained on 500 mg levetiracetam twice daily and advised to proceed with subsequent doses of vaccination. Vaccinations have been associated with breakthrough seizures. In this case, COVID-19 vaccination possibly unmasked an underlying predisposition for epilepsy.</p>","PeriodicalId":9615,"journal":{"name":"Case Reports in Neurological Medicine","volume":"2024 ","pages":"8808334"},"PeriodicalIF":0.9000,"publicationDate":"2024-10-16","publicationTypes":"Journal Article","fieldsOfStudy":null,"isOpenAccess":false,"openAccessPdf":"https://www.ncbi.nlm.nih.gov/pmc/articles/PMC11498974/pdf/","citationCount":"0","resultStr":null,"platform":"Semanticscholar","paperid":null,"PeriodicalName":"Case Reports in Neurological Medicine","FirstCategoryId":"1085","ListUrlMain":"https://doi.org/10.1155/2024/8808334","RegionNum":0,"RegionCategory":null,"ArticlePicture":[],"TitleCN":null,"AbstractTextCN":null,"PMCID":null,"EPubDate":"2024/1/1 0:00:00","PubModel":"eCollection","JCR":"Q4","JCRName":"CLINICAL NEUROLOGY","Score":null,"Total":0}
引用次数: 0

Abstract

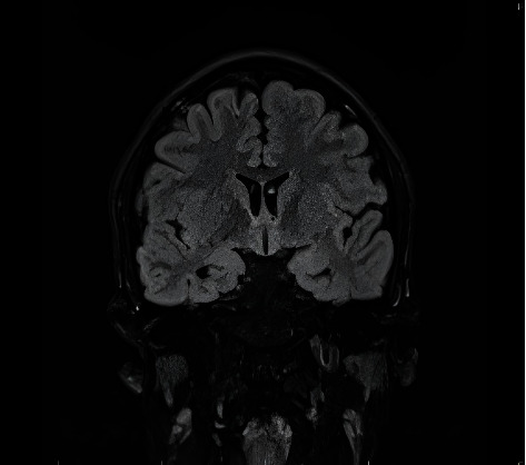
An 18-year-old male presented with new-onset focal to bilateral tonic-clonic seizures 5 days after receiving the first dose of COVID-19 vaccine. 3 days later, an identical seizure occurred lasting 1 min, leading to an acute presentation to the hospital. In hospital, the patient was loaded with intravenous phenytoin and started on levetiracetam with no further seizure recurrence. CT venogram and scalp EEG were unremarkable. MRI brain revealed generalised atrophy with mild bilateral hippocampal atrophy. The patient was maintained on 500 mg levetiracetam twice daily and advised to proceed with subsequent doses of vaccination. Vaccinations have been associated with breakthrough seizures. In this case, COVID-19 vaccination possibly unmasked an underlying predisposition for epilepsy.

Abstract Image

接种COVID-19疫苗后新发局灶性至双侧强直-阵挛性癫痫发作。
一名 18 岁男性在接种第一剂 COVID-19 疫苗 5 天后出现新发局灶性至双侧强直阵挛发作。3 天后,又出现了一次相同的癫痫发作,持续时间为 1 分钟,导致患者急诊入院。在医院,患者接受了静脉注射苯妥英,并开始服用左乙拉西坦,但没有再出现癫痫发作。CT 静脉造影和头皮脑电图均无异常。脑部核磁共振成像显示患者全身萎缩,双侧海马轻度萎缩。患者继续服用 500 毫克左乙拉西坦,每天两次,并被建议继续接种后续剂量的疫苗。疫苗接种与突破性癫痫发作有关。在这个病例中,COVID-19疫苗接种可能揭示了潜在的癫痫易感性。
本文章由计算机程序翻译,如有差异,请以英文原文为准。
求助全文
约1分钟内获得全文 求助全文
来源期刊
自引率
0.00%
发文量
26
审稿时长
11 weeks
×
引用
GB/T 7714-2015
复制
MLA
复制
APA
复制
导出至
BibTeX EndNote RefMan NoteFirst NoteExpress
×
提示
您的信息不完整,为了账户安全,请先补充。
现在去补充
×
提示
您因"违规操作"
具体请查看互助需知
我知道了
×
提示
确定
请完成安全验证×
copy
已复制链接
快去分享给好友吧!
我知道了
右上角分享
点击右上角分享
0
联系我们:info@booksci.cn Book学术提供免费学术资源搜索服务,方便国内外学者检索中英文文献。致力于提供最便捷和优质的服务体验。 Copyright © 2023 布克学术 All rights reserved.
京ICP备2023020795号-1
ghs 京公网安备 11010802042870号
Book学术文献互助
Book学术文献互助群
群 号:604180095
Book学术官方微信