Undetected Ocular Mass as a Critical Alert for Identifying Uveal Metastasis.

IF 0.4 Q4 OPHTHALMOLOGY
Case Reports in Ophthalmological Medicine Pub Date : 2024-10-16 eCollection Date: 2024-01-01 DOI:10.1155/2024/5522370
Tea Štrbac, Biljana Kuzmanović Elabjer, Antun Koprivanac, Mladen Bušić
{"title":"Undetected Ocular Mass as a Critical Alert for Identifying Uveal Metastasis.","authors":"Tea Štrbac, Biljana Kuzmanović Elabjer, Antun Koprivanac, Mladen Bušić","doi":"10.1155/2024/5522370","DOIUrl":null,"url":null,"abstract":"<p><p><b>Purpose:</b> We report our experience of diagnosing and managing metastatic adenocarcinoma of the lungs with primary manifestation to the iris and the ciliary body with the purpose to raise clinical suspicion for systemic malignancy in the presence of undetected ocular mass along with other ocular manifestations. <b>Observations:</b> An 82-year-old male presented with a deterioration of vision and intense pain in the right eye since the day before. With his right eye, he suddenly discerned hand movements only. Intraocular pressure in the right eye was increased. Slit-lamp biomicroscopy revealed a ciliary injection and hemorrhagic mass overlying the temporal half of the iris. The L-9 ultrasound biomicroscopy (UBM) scan documented the tumor completely infiltrating the iris and the ciliary body. We suspected a metastatic eye lesion. CT chest imaging showed a solid expansive formation of the right lung. At the Oncology Department, a fine needle aspiration biopsy was performed under the control of MSCT, which confirmed lung adenocarcinoma. <b>Conclusions and Importance:</b> Although very rarely, pathological changes in the uvea may indicate a metastatic occurrence that needs to be considered in the differential diagnosis. It is important to undergo a wide ophthalmological examination, which in this case included a standardized A-scan echography and UBM, which confirmed the suspicion of a tumor lesion, followed by cooperation with other medical professionals in order to discover a primary diagnosis.</p>","PeriodicalId":9603,"journal":{"name":"Case Reports in Ophthalmological Medicine","volume":"2024 ","pages":"5522370"},"PeriodicalIF":0.4000,"publicationDate":"2024-10-16","publicationTypes":"Journal Article","fieldsOfStudy":null,"isOpenAccess":false,"openAccessPdf":"https://www.ncbi.nlm.nih.gov/pmc/articles/PMC11498986/pdf/","citationCount":"0","resultStr":null,"platform":"Semanticscholar","paperid":null,"PeriodicalName":"Case Reports in Ophthalmological Medicine","FirstCategoryId":"1085","ListUrlMain":"https://doi.org/10.1155/2024/5522370","RegionNum":0,"RegionCategory":null,"ArticlePicture":[],"TitleCN":null,"AbstractTextCN":null,"PMCID":null,"EPubDate":"2024/1/1 0:00:00","PubModel":"eCollection","JCR":"Q4","JCRName":"OPHTHALMOLOGY","Score":null,"Total":0}
引用次数: 0

Abstract

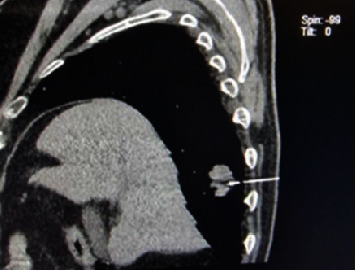
Purpose: We report our experience of diagnosing and managing metastatic adenocarcinoma of the lungs with primary manifestation to the iris and the ciliary body with the purpose to raise clinical suspicion for systemic malignancy in the presence of undetected ocular mass along with other ocular manifestations. Observations: An 82-year-old male presented with a deterioration of vision and intense pain in the right eye since the day before. With his right eye, he suddenly discerned hand movements only. Intraocular pressure in the right eye was increased. Slit-lamp biomicroscopy revealed a ciliary injection and hemorrhagic mass overlying the temporal half of the iris. The L-9 ultrasound biomicroscopy (UBM) scan documented the tumor completely infiltrating the iris and the ciliary body. We suspected a metastatic eye lesion. CT chest imaging showed a solid expansive formation of the right lung. At the Oncology Department, a fine needle aspiration biopsy was performed under the control of MSCT, which confirmed lung adenocarcinoma. Conclusions and Importance: Although very rarely, pathological changes in the uvea may indicate a metastatic occurrence that needs to be considered in the differential diagnosis. It is important to undergo a wide ophthalmological examination, which in this case included a standardized A-scan echography and UBM, which confirmed the suspicion of a tumor lesion, followed by cooperation with other medical professionals in order to discover a primary diagnosis.

Abstract Image

Abstract Image

未检测到的眼部肿块是识别葡萄膜转移的关键警报。
目的:我们报告了诊断和处理原发于虹膜和睫状体的转移性肺腺癌的经验,目的是在出现未发现的眼部肿块和其他眼部表现时,提高临床对全身恶性肿瘤的怀疑。观察结果:一名 82 岁的男性患者自前一天起出现视力下降和右眼剧烈疼痛。他的右眼突然只能辨别手的动作。右眼眼压升高。裂隙灯生物显微镜检查显示,睫状体注射和出血肿块覆盖了虹膜的颞半部。L-9 超声生物显微镜(UBM)扫描显示,肿瘤完全浸润了虹膜和睫状体。我们怀疑是眼部转移性病变。胸部 CT 成像显示右肺实性膨胀性形成。肿瘤科在 MSCT 的控制下进行了细针穿刺活检,证实为肺腺癌。结论和重要性:尽管非常罕见,但葡萄膜的病理变化可能预示着转移的发生,需要在鉴别诊断中加以考虑。重要的是要进行广泛的眼科检查,在该病例中,眼科检查包括标准化的A扫描超声波检查和UBM检查,这证实了肿瘤病变的怀疑,随后还要与其他医疗专业人员合作,以确定原发诊断。
本文章由计算机程序翻译,如有差异,请以英文原文为准。
求助全文
约1分钟内获得全文 求助全文
来源期刊
自引率
0.00%
发文量
38
审稿时长
14 weeks
×
引用
GB/T 7714-2015
复制
MLA
复制
APA
复制
导出至
BibTeX EndNote RefMan NoteFirst NoteExpress
×
提示
您的信息不完整,为了账户安全,请先补充。
现在去补充
×
提示
您因"违规操作"
具体请查看互助需知
我知道了
×
提示
确定
请完成安全验证×
copy
已复制链接
快去分享给好友吧!
我知道了
右上角分享
点击右上角分享
0
联系我们:info@booksci.cn Book学术提供免费学术资源搜索服务,方便国内外学者检索中英文文献。致力于提供最便捷和优质的服务体验。 Copyright © 2023 布克学术 All rights reserved.
京ICP备2023020795号-1
ghs 京公网安备 11010802042870号
Book学术文献互助
Book学术文献互助群
群 号:604180095
Book学术官方微信