Epididymo-Orchitis Mimicking Malignancy Resulting From Intravesical Bacillus Calmette-Guerin Immunotherapy for Bladder Cancer: An Attempt to Understand Pathophysiology, Diagnostic Challenges, Patients' Implications and Future Directions.

IF 0.9
Journal of medical cases Pub Date : 2024-11-01 Epub Date: 2024-10-10 DOI:10.14740/jmc4323
Sharadchandra K Prasad, Fahmi Sabr Raza, Sourabh Karna, Nahin M Hoq, Robert McCormick, Abu Sadiq, Imoh Ibiok, Achamma John, Mohammed Mansoor Raza, Mohamed H Ahmed, Mohammed Alsheikh
{"title":"Epididymo-Orchitis Mimicking Malignancy Resulting From Intravesical Bacillus Calmette-Guerin Immunotherapy for Bladder Cancer: An Attempt to Understand Pathophysiology, Diagnostic Challenges, Patients' Implications and Future Directions.","authors":"Sharadchandra K Prasad, Fahmi Sabr Raza, Sourabh Karna, Nahin M Hoq, Robert McCormick, Abu Sadiq, Imoh Ibiok, Achamma John, Mohammed Mansoor Raza, Mohamed H Ahmed, Mohammed Alsheikh","doi":"10.14740/jmc4323","DOIUrl":null,"url":null,"abstract":"<p><p>This case report describes an 85-year-old patient who presented with painless, unilateral right testicular swelling of 2 months' duration. This raised the possibility of testicular cancer, especially given his recent treatment for bladder cancer, which included adjuvant intravesical bacillus Calmette-Guerin (BCG) therapy. This poses a diagnostic dilemma regarding tuberculosis (TB) of the testis, BCG complications or a true testicular malignancy. Biochemical markers and a computed tomography (CT) scan showed no evidence of malignancy or disseminated TB. A TB-ELISpot test was negative. An ultrasound of the testis revealed a hypoechoic soft tissue lesion measuring approximately 24 × 19 mm, with internal vascularity and calcifications, causing a bulge in the testicular capsule with probable extracapsular extension. Based on the clinical suspicion of a testicular tumor, a right inguinal orchidectomy was performed. Histopathologic examination revealed isolated tuberculous orchitis with focal epididymal involvement; the spermatic cord was not involved. Polymerase chain reaction (PCR) testing on the histological sample confirmed the presence of <i>Mycobacterium bovis</i> DNA. As a radical right orchidectomy had been performed, no abnormal tissue remained. Additionally, the CT scan showed no evidence of TB dissemination, and the patient was asymptomatic, so he was being closely monitored in the infectious disease clinic. Importantly, a urine culture became positive for TB, and he was started on antituberculosis medication. BCG-induced granulomatous epididymo-orchitis may rarely occur as a late complication following intravesical BCG therapy for superficial bladder cancer. In this case report, we attempted to understand the pathophysiology, diagnostic challenges, patient implications, and potential future research directions.</p>","PeriodicalId":101328,"journal":{"name":"Journal of medical cases","volume":"15 11","pages":"354-358"},"PeriodicalIF":0.9000,"publicationDate":"2024-11-01","publicationTypes":"Journal Article","fieldsOfStudy":null,"isOpenAccess":false,"openAccessPdf":"https://www.ncbi.nlm.nih.gov/pmc/articles/PMC11483141/pdf/","citationCount":"0","resultStr":null,"platform":"Semanticscholar","paperid":null,"PeriodicalName":"Journal of medical cases","FirstCategoryId":"1085","ListUrlMain":"https://doi.org/10.14740/jmc4323","RegionNum":0,"RegionCategory":null,"ArticlePicture":[],"TitleCN":null,"AbstractTextCN":null,"PMCID":null,"EPubDate":"2024/10/10 0:00:00","PubModel":"Epub","JCR":"","JCRName":"","Score":null,"Total":0}
引用次数: 0

Abstract

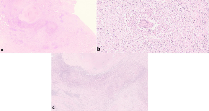
This case report describes an 85-year-old patient who presented with painless, unilateral right testicular swelling of 2 months' duration. This raised the possibility of testicular cancer, especially given his recent treatment for bladder cancer, which included adjuvant intravesical bacillus Calmette-Guerin (BCG) therapy. This poses a diagnostic dilemma regarding tuberculosis (TB) of the testis, BCG complications or a true testicular malignancy. Biochemical markers and a computed tomography (CT) scan showed no evidence of malignancy or disseminated TB. A TB-ELISpot test was negative. An ultrasound of the testis revealed a hypoechoic soft tissue lesion measuring approximately 24 × 19 mm, with internal vascularity and calcifications, causing a bulge in the testicular capsule with probable extracapsular extension. Based on the clinical suspicion of a testicular tumor, a right inguinal orchidectomy was performed. Histopathologic examination revealed isolated tuberculous orchitis with focal epididymal involvement; the spermatic cord was not involved. Polymerase chain reaction (PCR) testing on the histological sample confirmed the presence of Mycobacterium bovis DNA. As a radical right orchidectomy had been performed, no abnormal tissue remained. Additionally, the CT scan showed no evidence of TB dissemination, and the patient was asymptomatic, so he was being closely monitored in the infectious disease clinic. Importantly, a urine culture became positive for TB, and he was started on antituberculosis medication. BCG-induced granulomatous epididymo-orchitis may rarely occur as a late complication following intravesical BCG therapy for superficial bladder cancer. In this case report, we attempted to understand the pathophysiology, diagnostic challenges, patient implications, and potential future research directions.

Abstract Image

Abstract Image

Abstract Image

膀胱癌膀胱内卡介苗免疫疗法导致的模仿恶性肿瘤的附睾胆囊炎:试图了解病理生理学、诊断难题、对患者的影响和未来方向。
本病例报告描述了一名 85 岁的患者,他出现了持续 2 个月的无痛性单侧右侧睾丸肿胀。这引起了睾丸癌的可能性,尤其是考虑到他最近曾接受过膀胱癌治疗,其中包括膀胱内卡介苗(BCG)辅助治疗。这给睾丸结核(TB)、卡介苗并发症或真正的睾丸恶性肿瘤的诊断带来了难题。生化指标和计算机断层扫描(CT)显示没有恶性肿瘤或播散性结核的证据。TB-ELISpot检测呈阴性。睾丸超声波检查发现了一个高回声软组织病变,大小约为 24 × 19 毫米,内部有血管和钙化,导致睾丸囊隆起,可能有囊外扩展。由于临床怀疑是睾丸肿瘤,医生对患者进行了右侧腹股沟睾丸切除术。组织病理学检查显示,患者患有孤立的结核性睾丸炎,附睾局灶受累;精索未受累。对组织学样本进行的聚合酶链反应(PCR)检测证实存在牛分枝杆菌 DNA。由于已经进行了根治性右侧睾丸切除术,因此没有异常组织残留。此外,CT 扫描显示没有结核病扩散的迹象,而且患者没有任何症状,因此传染病诊所对他进行了密切监测。重要的是,尿液培养显示肺结核呈阳性,因此他开始服用抗结核药物。卡介苗诱发的肉芽肿性附睾睾丸炎可能极少发生,是浅表膀胱癌膀胱内卡介苗治疗后的晚期并发症。在本病例报告中,我们试图了解其病理生理学、诊断难题、对患者的影响以及未来潜在的研究方向。
本文章由计算机程序翻译,如有差异,请以英文原文为准。
求助全文
约1分钟内获得全文 求助全文
来源期刊
CiteScore
1.10
自引率
0.00%
发文量
0
×
引用
GB/T 7714-2015
复制
MLA
复制
APA
复制
导出至
BibTeX EndNote RefMan NoteFirst NoteExpress
×
提示
您的信息不完整,为了账户安全,请先补充。
现在去补充
×
提示
您因"违规操作"
具体请查看互助需知
我知道了
×
提示
确定
请完成安全验证×
copy
已复制链接
快去分享给好友吧!
我知道了
右上角分享
点击右上角分享
0
联系我们:info@booksci.cn Book学术提供免费学术资源搜索服务,方便国内外学者检索中英文文献。致力于提供最便捷和优质的服务体验。 Copyright © 2023 布克学术 All rights reserved.
京ICP备2023020795号-1
ghs 京公网安备 11010802042870号
Book学术文献互助
Book学术文献互助群
群 号:604180095
Book学术官方微信