Histopathological and immunohistochemical analysis of a suspected extraskeletal osteosarcoma in a rabbit (Oryctolagus cuniculus).

Brazilian journal of veterinary medicine Pub Date : 2024-10-07 eCollection Date: 2024-01-01 DOI:10.29374/2527-2179.bjvm003324
Julia Penna de Andrade, Camilla Faria Soares, André Luiz de Moura Junqueira, Daniel Reis Santos, Marcelo Pires Nogueira de Carvalho, Karen Yumi Ribeiro Nakagaki, Érica Almeida Viscone, Lize Borges, Geovanni Dantas Cassali, Rodrigo Dos Santos Horta
{"title":"Histopathological and immunohistochemical analysis of a suspected extraskeletal osteosarcoma in a rabbit (<i>Oryctolagus cuniculus</i>).","authors":"Julia Penna de Andrade, Camilla Faria Soares, André Luiz de Moura Junqueira, Daniel Reis Santos, Marcelo Pires Nogueira de Carvalho, Karen Yumi Ribeiro Nakagaki, Érica Almeida Viscone, Lize Borges, Geovanni Dantas Cassali, Rodrigo Dos Santos Horta","doi":"10.29374/2527-2179.bjvm003324","DOIUrl":null,"url":null,"abstract":"<p><p>An 8-year-old male rabbit (<i>Oryctolagus cuniculus</i>) presented with a subcutaneous mass in the proximal region of the fourth and accessory digit measuring 5.5 x 3.5 x 5.2cm. The mass was non-alopecic and exhibited irregular surface, ulceration and necrosis with predominantly pale and light brown coloring. Radiography revealed no involvement of bone and adjacent periosteum. The mass was marginally resected and the electrochemotherapy (ECT) was performed on the surgical bed. Histopathology and immunohistochemical analysis revealed positive reactions for Vimentin, Runx-2 and ki-67, leading to a diagnosis of extraskeletal osteosarcoma (ESOS). This report described a case of ESOS in a rabbit, thereby delineating its clinical presentation, anatomopathological characteristics, diagnostic modalities and recommended therapeutic interventions.</p>","PeriodicalId":72458,"journal":{"name":"Brazilian journal of veterinary medicine","volume":"46 ","pages":"e003324"},"PeriodicalIF":0.0000,"publicationDate":"2024-10-07","publicationTypes":"Journal Article","fieldsOfStudy":null,"isOpenAccess":false,"openAccessPdf":"https://www.ncbi.nlm.nih.gov/pmc/articles/PMC11469577/pdf/","citationCount":"0","resultStr":null,"platform":"Semanticscholar","paperid":null,"PeriodicalName":"Brazilian journal of veterinary medicine","FirstCategoryId":"1085","ListUrlMain":"https://doi.org/10.29374/2527-2179.bjvm003324","RegionNum":0,"RegionCategory":null,"ArticlePicture":[],"TitleCN":null,"AbstractTextCN":null,"PMCID":null,"EPubDate":"2024/1/1 0:00:00","PubModel":"eCollection","JCR":"","JCRName":"","Score":null,"Total":0}
引用次数: 0

Abstract

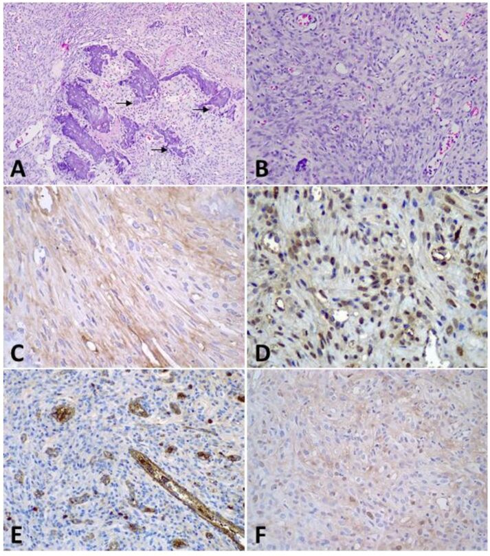
An 8-year-old male rabbit (Oryctolagus cuniculus) presented with a subcutaneous mass in the proximal region of the fourth and accessory digit measuring 5.5 x 3.5 x 5.2cm. The mass was non-alopecic and exhibited irregular surface, ulceration and necrosis with predominantly pale and light brown coloring. Radiography revealed no involvement of bone and adjacent periosteum. The mass was marginally resected and the electrochemotherapy (ECT) was performed on the surgical bed. Histopathology and immunohistochemical analysis revealed positive reactions for Vimentin, Runx-2 and ki-67, leading to a diagnosis of extraskeletal osteosarcoma (ESOS). This report described a case of ESOS in a rabbit, thereby delineating its clinical presentation, anatomopathological characteristics, diagnostic modalities and recommended therapeutic interventions.

Abstract Image

Abstract Image

Abstract Image

对一只兔子(Oryctolagus cuniculus)疑似骨外骨肉瘤的组织病理学和免疫组化分析。
一只 8 岁的雄兔(Oryctolagus cuniculus)在第四根指头和附属指头的近端区域出现一个皮下肿块,大小为 5.5 x 3.5 x 5.2 厘米。肿块无秃发,表面不规则,有溃疡和坏死,主要呈淡褐色和浅褐色。影像学检查显示,骨骼和邻近的骨膜没有受累。肿块被小幅切除,并在手术床上进行了电化学疗法(ECT)。组织病理学和免疫组化分析显示,Vimentin、Runx-2 和 ki-67 呈阳性反应,诊断为骨外骨肉瘤(ESOS)。本报告描述了一例兔 ESOS 病例,从而描述了其临床表现、解剖病理特征、诊断方法和建议的治疗干预措施。
本文章由计算机程序翻译,如有差异,请以英文原文为准。
求助全文
约1分钟内获得全文 求助全文
来源期刊
自引率
0.00%
发文量
0
×
引用
GB/T 7714-2015
复制
MLA
复制
APA
复制
导出至
BibTeX EndNote RefMan NoteFirst NoteExpress
×
提示
您的信息不完整,为了账户安全,请先补充。
现在去补充
×
提示
您因"违规操作"
具体请查看互助需知
我知道了
×
提示
确定
请完成安全验证×
copy
已复制链接
快去分享给好友吧!
我知道了
右上角分享
点击右上角分享
0
联系我们:info@booksci.cn Book学术提供免费学术资源搜索服务,方便国内外学者检索中英文文献。致力于提供最便捷和优质的服务体验。 Copyright © 2023 布克学术 All rights reserved.
京ICP备2023020795号-1
ghs 京公网安备 11010802042870号
Book学术文献互助
Book学术文献互助群
群 号:604180095
Book学术官方微信