Diffuse Large B Cell Lymphoma: Immunohistochemical Classification According to Hans Algorithm and Association With Outcome in A Moroccan Institution.

IF 1.9 Q3 PATHOLOGY
Clinical Pathology Pub Date : 2024-10-08 eCollection Date: 2024-01-01 DOI:10.1177/2632010X241289778
M Taybi, H Bourkhime, Z Khammar, N Alami Drideb, R Berrady, S Benmiloud, S Elfakir, L Bouguenouch, L Tahiri, L Chbani, N Hammas
{"title":"Diffuse Large B Cell Lymphoma: Immunohistochemical Classification According to Hans Algorithm and Association With Outcome in A Moroccan Institution.","authors":"M Taybi, H Bourkhime, Z Khammar, N Alami Drideb, R Berrady, S Benmiloud, S Elfakir, L Bouguenouch, L Tahiri, L Chbani, N Hammas","doi":"10.1177/2632010X241289778","DOIUrl":null,"url":null,"abstract":"<p><strong>Background: </strong>The most prevalent subtype of non-Hodgkin lymphoma is diffuse large B-cell lymphoma (DLBCL). Germinal center B-cell (GCB) and non-germinal center B-cell (non GCB) are the two main biologically different molecular subtypes identified utilizing an immunohistochemistry-based approach.</p><p><strong>Aim: </strong>Our objective in this study is to analyze the impact of immunohistochemical subtypes of DLBCL (GCB or non GCB) on demographic and clinicopathological parameters, response to chemotherapy and survival outcomes.</p><p><strong>Subjects and methods: </strong>This is a retrospective study including 106 cases of DLBCL collected in the department of pathology, Hassan II university hospital, Fez (Morocco), over a period of 12 years (January 2010-September 2022). The subtypes of DLBCLs were defined according to Hans algorithm, using immunohistochemistry by three biomarkers (CD10, BCL6, MUM1).</p><p><strong>Statistical analysis used: </strong>Independent t tests and analyses of variance were used for the comparison of mean values. We employed the SPSS 26.0 program to achieve this. A statistically significant value was set at <i>P</i> < .05.</p><p><strong>Results: </strong>Seventy-five patients (71%) were non-GCB subtype, while thirty-one patients (29%) had the GCB immunosubtype. We have found a significant (<i>P</i> < .05) correlations between DLBCL immunosubtypes and treatment responses on one hand and survival in the other hand. In the GCB subtype, the response rate and survival were significantly improved. A significant association was found between Ki 67 expression and survival on univariate analysis. On multivariate analysis, we note a correlation between Ki 67 expression, DLBCL immunohistochemical subtypes and survival outcome.</p><p><strong>Conclusion: </strong>Non GCB subtype is associated with poor response to treatment and inferior survival outcome compared to GCB subtype in Moroccan context, especially when combined with high expression of Ki 67 marker.</p>","PeriodicalId":53204,"journal":{"name":"Clinical Pathology","volume":"17 ","pages":"2632010X241289778"},"PeriodicalIF":1.9000,"publicationDate":"2024-10-08","publicationTypes":"Journal Article","fieldsOfStudy":null,"isOpenAccess":false,"openAccessPdf":"https://www.ncbi.nlm.nih.gov/pmc/articles/PMC11468330/pdf/","citationCount":"0","resultStr":null,"platform":"Semanticscholar","paperid":null,"PeriodicalName":"Clinical Pathology","FirstCategoryId":"1085","ListUrlMain":"https://doi.org/10.1177/2632010X241289778","RegionNum":0,"RegionCategory":null,"ArticlePicture":[],"TitleCN":null,"AbstractTextCN":null,"PMCID":null,"EPubDate":"2024/1/1 0:00:00","PubModel":"eCollection","JCR":"Q3","JCRName":"PATHOLOGY","Score":null,"Total":0}
引用次数: 0

Abstract

Background: The most prevalent subtype of non-Hodgkin lymphoma is diffuse large B-cell lymphoma (DLBCL). Germinal center B-cell (GCB) and non-germinal center B-cell (non GCB) are the two main biologically different molecular subtypes identified utilizing an immunohistochemistry-based approach.

Aim: Our objective in this study is to analyze the impact of immunohistochemical subtypes of DLBCL (GCB or non GCB) on demographic and clinicopathological parameters, response to chemotherapy and survival outcomes.

Subjects and methods: This is a retrospective study including 106 cases of DLBCL collected in the department of pathology, Hassan II university hospital, Fez (Morocco), over a period of 12 years (January 2010-September 2022). The subtypes of DLBCLs were defined according to Hans algorithm, using immunohistochemistry by three biomarkers (CD10, BCL6, MUM1).

Statistical analysis used: Independent t tests and analyses of variance were used for the comparison of mean values. We employed the SPSS 26.0 program to achieve this. A statistically significant value was set at P < .05.

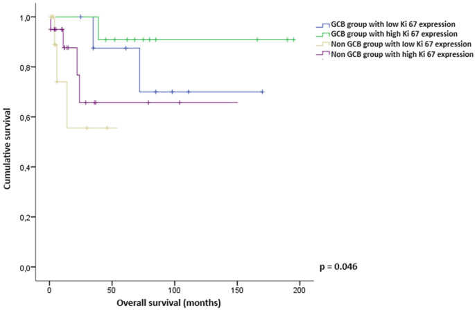
Results: Seventy-five patients (71%) were non-GCB subtype, while thirty-one patients (29%) had the GCB immunosubtype. We have found a significant (P < .05) correlations between DLBCL immunosubtypes and treatment responses on one hand and survival in the other hand. In the GCB subtype, the response rate and survival were significantly improved. A significant association was found between Ki 67 expression and survival on univariate analysis. On multivariate analysis, we note a correlation between Ki 67 expression, DLBCL immunohistochemical subtypes and survival outcome.

Conclusion: Non GCB subtype is associated with poor response to treatment and inferior survival outcome compared to GCB subtype in Moroccan context, especially when combined with high expression of Ki 67 marker.

Abstract Image

Abstract Image

Abstract Image

弥漫大 B 细胞淋巴瘤:根据汉斯算法进行的免疫组化分类以及与摩洛哥机构的预后之间的关系。
背景:最常见的非霍奇金淋巴瘤亚型是弥漫大B细胞淋巴瘤(DLBCL)。目的:本研究旨在分析DLBCL的免疫组化亚型(GCB或非GCB)对人口统计学和临床病理学参数、化疗反应和生存结果的影响:这是一项回顾性研究,包括摩洛哥非斯哈桑二世大学医院病理科在12年间(2010年1月至2022年9月)收集的106例DLBCL病例。DLBCL的亚型是根据汉斯算法,通过三种生物标志物(CD10、BCL6、MUM1)的免疫组化来定义的:采用独立 t 检验和方差分析比较平均值。我们使用 SPSS 26.0 程序来实现这一目的。结果:75 名患者(71%)的平均值为 P:75例患者(71%)属于非GCB亚型,31例患者(29%)属于GCB免疫亚型。我们发现非 GCB 亚型与 GCB 免疫亚型有明显的相关性:在摩洛哥,与 GCB 亚型相比,非 GCB 亚型与治疗反应差和生存结果差有关,尤其是当合并高表达 Ki 67 标记时。
本文章由计算机程序翻译,如有差异,请以英文原文为准。
求助全文
约1分钟内获得全文 求助全文
来源期刊
Clinical Pathology
Clinical Pathology PATHOLOGY-
CiteScore
2.20
自引率
7.70%
发文量
66
×
引用
GB/T 7714-2015
复制
MLA
复制
APA
复制
导出至
BibTeX EndNote RefMan NoteFirst NoteExpress
×
提示
您的信息不完整,为了账户安全,请先补充。
现在去补充
×
提示
您因"违规操作"
具体请查看互助需知
我知道了
×
提示
确定
请完成安全验证×
copy
已复制链接
快去分享给好友吧!
我知道了
右上角分享
点击右上角分享
0
联系我们:info@booksci.cn Book学术提供免费学术资源搜索服务,方便国内外学者检索中英文文献。致力于提供最便捷和优质的服务体验。 Copyright © 2023 布克学术 All rights reserved.
京ICP备2023020795号-1
ghs 京公网安备 11010802042870号
Book学术文献互助
Book学术文献互助群
群 号:604180095
Book学术官方微信