Spontaneous intracranial hypotension in young and middle-aged patients with chronic subdual hematoma in Korea: three case reports.

IF 0.2
Journal of Trauma and Injury Pub Date : 2024-09-01 Epub Date: 2024-08-08 DOI:10.20408/jti.2024.0008
Ae Ryoung Lee, Yun Suk Choi
{"title":"Spontaneous intracranial hypotension in young and middle-aged patients with chronic subdual hematoma in Korea: three case reports.","authors":"Ae Ryoung Lee, Yun Suk Choi","doi":"10.20408/jti.2024.0008","DOIUrl":null,"url":null,"abstract":"<p><p>This case series highlights chronic subdural hematoma in previously healthy young and middle-aged patients, where symptoms persisted despite initial surgical intervention. Subsequent diagnosis revealed spontaneous intracranial hypotension through computed tomography myelography. All patients experienced symptom relief after undergoing epidural blood patch. In conclusion, spontaneous intracranial hypotension should be considered in chronic subdural hematoma cases without trauma or underlying disease, with epidural blood patch recommended before surgical intervention if spontaneous intracranial hypotension is suspected.</p>","PeriodicalId":52698,"journal":{"name":"Journal of Trauma and Injury","volume":"37 3","pages":"228-232"},"PeriodicalIF":0.2000,"publicationDate":"2024-09-01","publicationTypes":"Journal Article","fieldsOfStudy":null,"isOpenAccess":false,"openAccessPdf":"https://www.ncbi.nlm.nih.gov/pmc/articles/PMC11495918/pdf/","citationCount":"0","resultStr":null,"platform":"Semanticscholar","paperid":null,"PeriodicalName":"Journal of Trauma and Injury","FirstCategoryId":"1085","ListUrlMain":"https://doi.org/10.20408/jti.2024.0008","RegionNum":0,"RegionCategory":null,"ArticlePicture":[],"TitleCN":null,"AbstractTextCN":null,"PMCID":null,"EPubDate":"2024/8/8 0:00:00","PubModel":"Epub","JCR":"","JCRName":"","Score":null,"Total":0}
引用次数: 0

Abstract

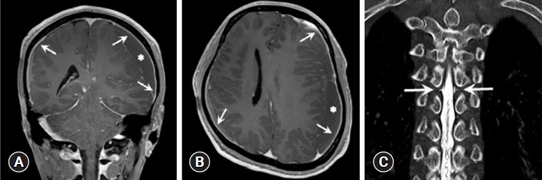
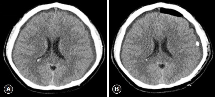
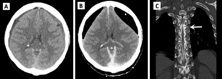
This case series highlights chronic subdural hematoma in previously healthy young and middle-aged patients, where symptoms persisted despite initial surgical intervention. Subsequent diagnosis revealed spontaneous intracranial hypotension through computed tomography myelography. All patients experienced symptom relief after undergoing epidural blood patch. In conclusion, spontaneous intracranial hypotension should be considered in chronic subdural hematoma cases without trauma or underlying disease, with epidural blood patch recommended before surgical intervention if spontaneous intracranial hypotension is suspected.

Abstract Image

Abstract Image

Abstract Image

韩国慢性低度血肿中青年患者自发性颅内低血压:三份病例报告。
本系列病例重点介绍了先前健康的中青年患者的慢性硬膜下血肿,尽管最初进行了手术干预,但症状依然存在。通过计算机断层扫描脊髓造影术,随后的诊断发现了自发性颅内低血压。所有患者在接受硬膜外血液补片治疗后症状均得到缓解。总之,在没有外伤或潜在疾病的慢性硬膜下血肿病例中,应考虑自发性颅内低血压,如果怀疑有自发性颅内低血压,建议在手术干预前进行硬膜外血补片治疗。
本文章由计算机程序翻译,如有差异,请以英文原文为准。
求助全文
约1分钟内获得全文 求助全文
来源期刊
自引率
0.00%
发文量
58
审稿时长
11 weeks
×
引用
GB/T 7714-2015
复制
MLA
复制
APA
复制
导出至
BibTeX EndNote RefMan NoteFirst NoteExpress
×
提示
您的信息不完整,为了账户安全,请先补充。
现在去补充
×
提示
您因"违规操作"
具体请查看互助需知
我知道了
×
提示
确定
请完成安全验证×
copy
已复制链接
快去分享给好友吧!
我知道了
右上角分享
点击右上角分享
0
联系我们:info@booksci.cn Book学术提供免费学术资源搜索服务,方便国内外学者检索中英文文献。致力于提供最便捷和优质的服务体验。 Copyright © 2023 布克学术 All rights reserved.
京ICP备2023020795号-1
ghs 京公网安备 11010802042870号
Book学术文献互助
Book学术文献互助群
群 号:604180095
Book学术官方微信