Delayed diagnosis of proximal ureter injury after a blunt abdominal trauma in Korea: a case report.

IF 0.2
Journal of Trauma and Injury Pub Date : 2024-09-01 Epub Date: 2024-09-03 DOI:10.20408/jti.2024.0016
Soon Ki Min, Byungchul Yu, Gil Jae Lee, Min A Lee, Yang Bin Jeon, Youngeun Park, Kang Kook Choi, Hyuk Jun Yang
{"title":"Delayed diagnosis of proximal ureter injury after a blunt abdominal trauma in Korea: a case report.","authors":"Soon Ki Min, Byungchul Yu, Gil Jae Lee, Min A Lee, Yang Bin Jeon, Youngeun Park, Kang Kook Choi, Hyuk Jun Yang","doi":"10.20408/jti.2024.0016","DOIUrl":null,"url":null,"abstract":"<p><p>Traumatic ureteral injuries account for fewer than 1% of traumatic urologic injuries, and those caused by blunt trauma are even rarer than those caused by penetrating trauma. The symptoms associated with ureteral injury may be subtle, with or without hematuria, making it difficult to diagnose. We report the case of a 31-year-old man with a delayed diagnosis of proximal ureter injury after abdominal blunt trauma sustained in a motorcycle traffic accident. The patient underwent emergency laparotomy on admission for liver injury, mesenteric injury, and resultant hemoperitoneum. On postoperative day 6, he underwent angioembolization for suspected remnant intra-abdominal bleeding. Persistent symptoms of flank pain and leukocytosis led to follow-up imaging studies that revealed proximal ureter injury, and the patient underwent unilateral nephrectomy. This case stresses the importance of clinical suspicion for genitourinary injuries in the presence of abdominal trauma.</p>","PeriodicalId":52698,"journal":{"name":"Journal of Trauma and Injury","volume":"37 3","pages":"243-246"},"PeriodicalIF":0.2000,"publicationDate":"2024-09-01","publicationTypes":"Journal Article","fieldsOfStudy":null,"isOpenAccess":false,"openAccessPdf":"https://www.ncbi.nlm.nih.gov/pmc/articles/PMC11495928/pdf/","citationCount":"0","resultStr":null,"platform":"Semanticscholar","paperid":null,"PeriodicalName":"Journal of Trauma and Injury","FirstCategoryId":"1085","ListUrlMain":"https://doi.org/10.20408/jti.2024.0016","RegionNum":0,"RegionCategory":null,"ArticlePicture":[],"TitleCN":null,"AbstractTextCN":null,"PMCID":null,"EPubDate":"2024/9/3 0:00:00","PubModel":"Epub","JCR":"","JCRName":"","Score":null,"Total":0}
引用次数: 0

Abstract

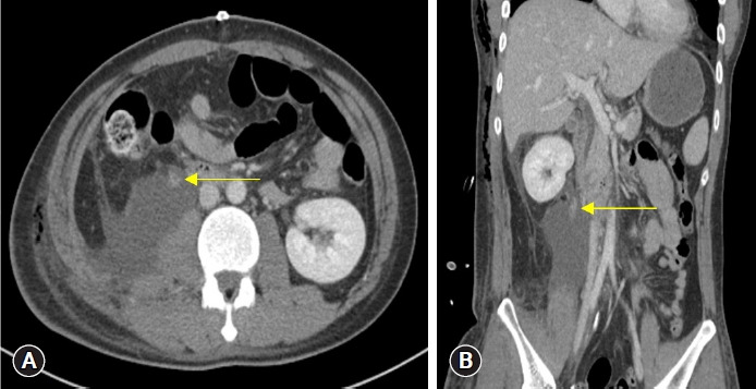
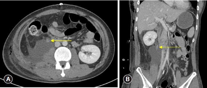
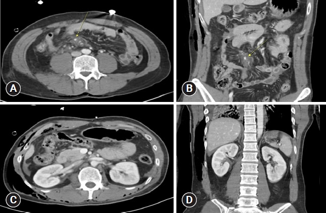
Traumatic ureteral injuries account for fewer than 1% of traumatic urologic injuries, and those caused by blunt trauma are even rarer than those caused by penetrating trauma. The symptoms associated with ureteral injury may be subtle, with or without hematuria, making it difficult to diagnose. We report the case of a 31-year-old man with a delayed diagnosis of proximal ureter injury after abdominal blunt trauma sustained in a motorcycle traffic accident. The patient underwent emergency laparotomy on admission for liver injury, mesenteric injury, and resultant hemoperitoneum. On postoperative day 6, he underwent angioembolization for suspected remnant intra-abdominal bleeding. Persistent symptoms of flank pain and leukocytosis led to follow-up imaging studies that revealed proximal ureter injury, and the patient underwent unilateral nephrectomy. This case stresses the importance of clinical suspicion for genitourinary injuries in the presence of abdominal trauma.

Abstract Image

Abstract Image

Abstract Image

韩国腹部钝伤后近端输尿管损伤的延迟诊断:病例报告。
输尿管外伤在泌尿系统外伤中所占比例不到 1%,钝器外伤造成的输尿管外伤比穿透性外伤造成的输尿管外伤更为罕见。输尿管损伤的相关症状可能很隐蔽,伴有或不伴有血尿,因此很难诊断。我们报告了一例因摩托车交通事故造成腹部钝性外伤而导致输尿管近端损伤诊断延迟的 31 岁男性病例。患者入院时因肝脏损伤、肠系膜损伤和腹腔积血接受了急诊开腹手术。术后第 6 天,他因怀疑腹腔内残余出血而接受了血管栓塞术。持续的侧腹疼痛和白细胞增多症状导致后续影像学检查发现输尿管近端损伤,患者接受了单侧肾切除术。本病例强调了临床怀疑腹部创伤时泌尿生殖系统损伤的重要性。
本文章由计算机程序翻译,如有差异,请以英文原文为准。
求助全文
约1分钟内获得全文 求助全文
来源期刊
自引率
0.00%
发文量
58
审稿时长
11 weeks
×
引用
GB/T 7714-2015
复制
MLA
复制
APA
复制
导出至
BibTeX EndNote RefMan NoteFirst NoteExpress
×
提示
您的信息不完整,为了账户安全,请先补充。
现在去补充
×
提示
您因"违规操作"
具体请查看互助需知
我知道了
×
提示
确定
请完成安全验证×
copy
已复制链接
快去分享给好友吧!
我知道了
右上角分享
点击右上角分享
0
联系我们:info@booksci.cn Book学术提供免费学术资源搜索服务,方便国内外学者检索中英文文献。致力于提供最便捷和优质的服务体验。 Copyright © 2023 布克学术 All rights reserved.
京ICP备2023020795号-1
ghs 京公网安备 11010802042870号
Book学术文献互助
Book学术文献互助群
群 号:604180095
Book学术官方微信