Gorham-Stout disease and multiple cervical lymphangiomas: case report.

IF 1.6 Q3 RESPIRATORY SYSTEM
Maria Alejandra Amezquita, Luz Fernanda Sua, Carlos Alejandro Garcia, Liliana Fernández-Trujillo
{"title":"Gorham-Stout disease and multiple cervical lymphangiomas: case report.","authors":"Maria Alejandra Amezquita, Luz Fernanda Sua, Carlos Alejandro Garcia, Liliana Fernández-Trujillo","doi":"10.5826/mrm.2024.957","DOIUrl":null,"url":null,"abstract":"<p><strong>Introduction: </strong>Gorham-Stout disease is a rare condition characterized by extensive bone loss due to the proliferation of new vascular and lymphatic structures. It can occur in any bone and cause pathologic fractures with poor bone healing. Complications such as effusions and lymphangiomas can also develop. Gorham-Stout disease pathogenesis is still being studied, and treatment options are limited, but sirolimus has shown promise in stabilizing or reducing symptoms.</p><p><strong>Case presentation: </strong>We present a case of a 19-year-old male with Gorham-Stout disease, multiple cervical lymphangiomas, and several thoracic complications successfully treated with sirolimus.</p><p><strong>Conclusions: </strong>Rare lymphatic diseases should be considered as a potential cause in adult patients with bone involvement and multiple cystic lesions in the neck, axillary, or abdominal regions after excluding more common causes. The complexity of diagnosing Gorham-Stout disease should be emphasized.</p>","PeriodicalId":51135,"journal":{"name":"Multidisciplinary Respiratory Medicine","volume":"19 ","pages":""},"PeriodicalIF":1.6000,"publicationDate":"2024-10-16","publicationTypes":"Journal Article","fieldsOfStudy":null,"isOpenAccess":false,"openAccessPdf":"https://www.ncbi.nlm.nih.gov/pmc/articles/PMC11539906/pdf/","citationCount":"0","resultStr":null,"platform":"Semanticscholar","paperid":null,"PeriodicalName":"Multidisciplinary Respiratory Medicine","FirstCategoryId":"1085","ListUrlMain":"https://doi.org/10.5826/mrm.2024.957","RegionNum":0,"RegionCategory":null,"ArticlePicture":[],"TitleCN":null,"AbstractTextCN":null,"PMCID":null,"EPubDate":"","PubModel":"","JCR":"Q3","JCRName":"RESPIRATORY SYSTEM","Score":null,"Total":0}
引用次数: 0

Abstract

Introduction: Gorham-Stout disease is a rare condition characterized by extensive bone loss due to the proliferation of new vascular and lymphatic structures. It can occur in any bone and cause pathologic fractures with poor bone healing. Complications such as effusions and lymphangiomas can also develop. Gorham-Stout disease pathogenesis is still being studied, and treatment options are limited, but sirolimus has shown promise in stabilizing or reducing symptoms.

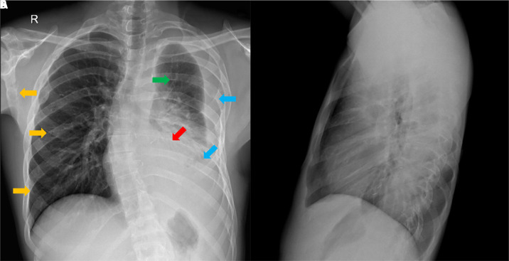
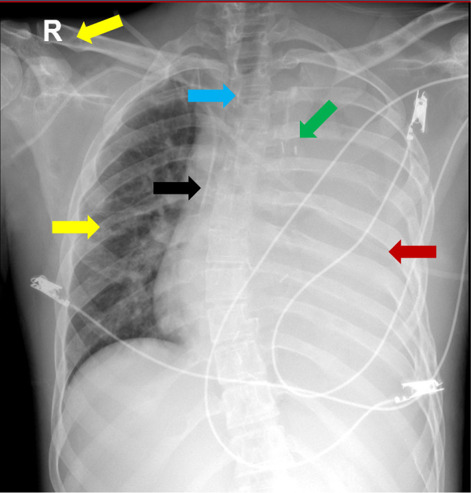
Case presentation: We present a case of a 19-year-old male with Gorham-Stout disease, multiple cervical lymphangiomas, and several thoracic complications successfully treated with sirolimus.

Conclusions: Rare lymphatic diseases should be considered as a potential cause in adult patients with bone involvement and multiple cystic lesions in the neck, axillary, or abdominal regions after excluding more common causes. The complexity of diagnosing Gorham-Stout disease should be emphasized.

Abstract Image

Abstract Image

Abstract Image

戈勒姆-斯托特病和多发性宫颈淋巴管瘤:病例报告。
简介戈勒姆-斯托特病(Gorham-Stout disease)是一种罕见的疾病,其特点是由于新血管和淋巴结构的增生而导致大面积骨质流失。它可发生于任何骨骼,并导致病理性骨折和骨愈合不良。此外,还可能出现渗出和淋巴管瘤等并发症。戈勒姆-斯托特病的发病机制仍在研究中,治疗方案也很有限,但西罗莫司在稳定或减轻症状方面已显示出希望:病例介绍:我们介绍了一例患有戈勒姆-斯托特病、多发性颈部淋巴管瘤和多种胸部并发症的 19 岁男性病例,该病例使用西罗莫司成功治疗:结论:对于骨骼受累以及颈部、腋窝或腹部多发性囊性病变的成年患者,在排除更常见的病因后,应将罕见的淋巴疾病视为潜在病因。应强调诊断戈勒姆-斯托特病的复杂性。
本文章由计算机程序翻译,如有差异,请以英文原文为准。
求助全文
约1分钟内获得全文 求助全文
来源期刊
CiteScore
4.40
自引率
0.00%
发文量
23
审稿时长
>12 weeks
期刊介绍: Multidisciplinary Respiratory Medicine is the official journal of the Italian Respiratory Society - Società Italiana di Pneumologia (IRS/SIP). The journal publishes on all aspects of respiratory medicine and related fields, with a particular focus on interdisciplinary and translational research. The interdisciplinary nature of the journal provides a unique opportunity for researchers, clinicians and healthcare professionals across specialties to collaborate and exchange information. The journal provides a high visibility platform for the publication and dissemination of top quality original scientific articles, reviews and important position papers documenting clinical and experimental advances.
×
引用
GB/T 7714-2015
复制
MLA
复制
APA
复制
导出至
BibTeX EndNote RefMan NoteFirst NoteExpress
×
提示
您的信息不完整,为了账户安全,请先补充。
现在去补充
×
提示
您因"违规操作"
具体请查看互助需知
我知道了
×
提示
确定
请完成安全验证×
copy
已复制链接
快去分享给好友吧!
我知道了
右上角分享
点击右上角分享
0
联系我们:info@booksci.cn Book学术提供免费学术资源搜索服务,方便国内外学者检索中英文文献。致力于提供最便捷和优质的服务体验。 Copyright © 2023 布克学术 All rights reserved.
京ICP备2023020795号-1
ghs 京公网安备 11010802042870号
Book学术文献互助
Book学术文献互助群
群 号:604180095
Book学术官方微信