Early-Stage Renal Cell Carcinoma Locoregional Therapies: Current Approaches and Future Directions.

IF 1.9 4区 医学 Q3 ONCOLOGY
Clinical Medicine Insights-Oncology Pub Date : 2024-10-18 eCollection Date: 2024-01-01 DOI:10.1177/11795549241285390
Umang Khandpur, Bereket Haile, Mina S Makary
{"title":"Early-Stage Renal Cell Carcinoma Locoregional Therapies: Current Approaches and Future Directions.","authors":"Umang Khandpur, Bereket Haile, Mina S Makary","doi":"10.1177/11795549241285390","DOIUrl":null,"url":null,"abstract":"<p><p>Renal cell carcinoma (RCC) is the most common primary renal malignancy. Prevalence of RCC in developed countries has slowly increased. Although partial or total nephrectomy has been the first-line treatment for early-stage RCC, improved or similar safety and treatment outcomes with locoregional therapies have challenged this paradigm. In this review, we explore locoregional techniques for early-stage RCC, including radiofrequency ablation, cryoablation, and microwave ablation with a focus on procedural technique, patient selection, and safety/treatment outcomes. Furthermore, we discuss future advances and novel techniques, including radiomics, combination therapy, high-intensity focused ultrasound, and catheter-directed techniques.</p>","PeriodicalId":48591,"journal":{"name":"Clinical Medicine Insights-Oncology","volume":"18 ","pages":"11795549241285390"},"PeriodicalIF":1.9000,"publicationDate":"2024-10-18","publicationTypes":"Journal Article","fieldsOfStudy":null,"isOpenAccess":false,"openAccessPdf":"https://www.ncbi.nlm.nih.gov/pmc/articles/PMC11492234/pdf/","citationCount":"0","resultStr":null,"platform":"Semanticscholar","paperid":null,"PeriodicalName":"Clinical Medicine Insights-Oncology","FirstCategoryId":"3","ListUrlMain":"https://doi.org/10.1177/11795549241285390","RegionNum":4,"RegionCategory":"医学","ArticlePicture":[],"TitleCN":null,"AbstractTextCN":null,"PMCID":null,"EPubDate":"2024/1/1 0:00:00","PubModel":"eCollection","JCR":"Q3","JCRName":"ONCOLOGY","Score":null,"Total":0}
引用次数: 0

Abstract

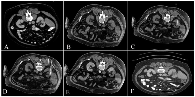
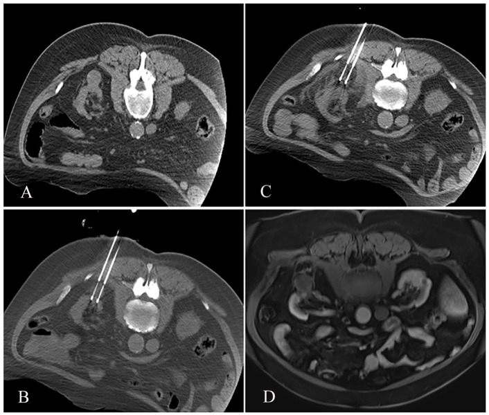
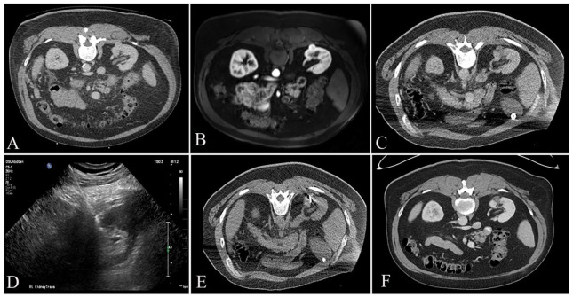
Renal cell carcinoma (RCC) is the most common primary renal malignancy. Prevalence of RCC in developed countries has slowly increased. Although partial or total nephrectomy has been the first-line treatment for early-stage RCC, improved or similar safety and treatment outcomes with locoregional therapies have challenged this paradigm. In this review, we explore locoregional techniques for early-stage RCC, including radiofrequency ablation, cryoablation, and microwave ablation with a focus on procedural technique, patient selection, and safety/treatment outcomes. Furthermore, we discuss future advances and novel techniques, including radiomics, combination therapy, high-intensity focused ultrasound, and catheter-directed techniques.

Abstract Image

Abstract Image

Abstract Image

早期肾细胞癌局部治疗:当前方法与未来方向》。
肾细胞癌(RCC)是最常见的原发性肾脏恶性肿瘤。在发达国家,RCC 的发病率缓慢上升。尽管部分或全部肾切除术一直是早期 RCC 的一线治疗方法,但局部治疗方法安全性和治疗效果的改善或相似,对这一模式提出了挑战。在这篇综述中,我们探讨了早期 RCC 的局部治疗技术,包括射频消融、低温消融和微波消融,重点关注程序技术、患者选择和安全性/治疗效果。此外,我们还讨论了未来的进展和新技术,包括放射组学、联合疗法、高强度聚焦超声和导管导向技术。
本文章由计算机程序翻译,如有差异,请以英文原文为准。
求助全文
约1分钟内获得全文 求助全文
来源期刊
CiteScore
2.40
自引率
4.50%
发文量
57
审稿时长
8 weeks
期刊介绍: Clinical Medicine Insights: Oncology is an international, peer-reviewed, open access journal that focuses on all aspects of cancer research and treatment, in addition to related genetic, pathophysiological and epidemiological topics. Of particular but not exclusive importance are molecular biology, clinical interventions, controlled trials, therapeutics, pharmacology and drug delivery, and techniques of cancer surgery. The journal welcomes unsolicited article proposals.
×
引用
GB/T 7714-2015
复制
MLA
复制
APA
复制
导出至
BibTeX EndNote RefMan NoteFirst NoteExpress
×
提示
您的信息不完整,为了账户安全,请先补充。
现在去补充
×
提示
您因"违规操作"
具体请查看互助需知
我知道了
×
提示
确定
请完成安全验证×
copy
已复制链接
快去分享给好友吧!
我知道了
右上角分享
点击右上角分享
0
联系我们:info@booksci.cn Book学术提供免费学术资源搜索服务,方便国内外学者检索中英文文献。致力于提供最便捷和优质的服务体验。 Copyright © 2023 布克学术 All rights reserved.
京ICP备2023020795号-1
ghs 京公网安备 11010802042870号
Book学术文献互助
Book学术文献互助群
群 号:604180095
Book学术官方微信