Intracranial vasculopathy with MR vessel wall imaging: a case series.

IF 0.5 Q4 RADIOLOGY, NUCLEAR MEDICINE & MEDICAL IMAGING
BJR Case Reports Pub Date : 2024-10-03 eCollection Date: 2024-09-01 DOI:10.1093/bjrcr/uaae036
Long Hin Sin, Yat Sing Lee, Wai Tat Victor Chan, Chi Wai Siu, Chong Boon Tan
{"title":"Intracranial vasculopathy with MR vessel wall imaging: a case series.","authors":"Long Hin Sin, Yat Sing Lee, Wai Tat Victor Chan, Chi Wai Siu, Chong Boon Tan","doi":"10.1093/bjrcr/uaae036","DOIUrl":null,"url":null,"abstract":"<p><p>Conventional luminal imaging, often the first line investigation, has helped physicians in diagnosing countless patients with cerebrovascular disease but regrettably, it offers little diagnostic clues in patients with challenging vasculopathy, which the latter often requires invasive histopathological diagnosis. In past decade, MR vessel wall imaging has quickly emerged as a non-invasive modality that greatly enhances radiologists' capability of differentiating underlying aetiology. Not only it minimizes surgical trauma to patients, but also provide timely and accurate diagnosis for physicians to offer prompt appropriate treatment and avoid devastating outcomes. Tuen Mun Hospital, the neuroscience centre serving more than 1.3 million population in New Territories, Hong Kong, has been the pioneer in optimizing this novel modality within the district. In this article, we hope to share few interesting cases in our centre on how we utilize its advantage in solving some challenging cases. We would also discuss some common imaging pitfalls and tips on interpretation.</p>","PeriodicalId":45216,"journal":{"name":"BJR Case Reports","volume":"10 5","pages":"uaae036"},"PeriodicalIF":0.5000,"publicationDate":"2024-10-03","publicationTypes":"Journal Article","fieldsOfStudy":null,"isOpenAccess":false,"openAccessPdf":"https://www.ncbi.nlm.nih.gov/pmc/articles/PMC11483133/pdf/","citationCount":"0","resultStr":null,"platform":"Semanticscholar","paperid":null,"PeriodicalName":"BJR Case Reports","FirstCategoryId":"1085","ListUrlMain":"https://doi.org/10.1093/bjrcr/uaae036","RegionNum":0,"RegionCategory":null,"ArticlePicture":[],"TitleCN":null,"AbstractTextCN":null,"PMCID":null,"EPubDate":"2024/9/1 0:00:00","PubModel":"eCollection","JCR":"Q4","JCRName":"RADIOLOGY, NUCLEAR MEDICINE & MEDICAL IMAGING","Score":null,"Total":0}
引用次数: 0

Abstract

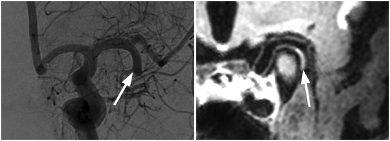
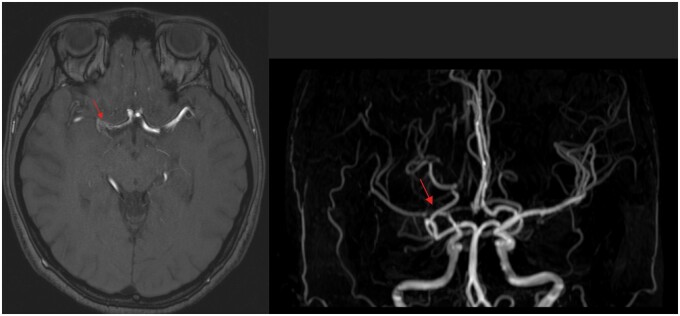
Conventional luminal imaging, often the first line investigation, has helped physicians in diagnosing countless patients with cerebrovascular disease but regrettably, it offers little diagnostic clues in patients with challenging vasculopathy, which the latter often requires invasive histopathological diagnosis. In past decade, MR vessel wall imaging has quickly emerged as a non-invasive modality that greatly enhances radiologists' capability of differentiating underlying aetiology. Not only it minimizes surgical trauma to patients, but also provide timely and accurate diagnosis for physicians to offer prompt appropriate treatment and avoid devastating outcomes. Tuen Mun Hospital, the neuroscience centre serving more than 1.3 million population in New Territories, Hong Kong, has been the pioneer in optimizing this novel modality within the district. In this article, we hope to share few interesting cases in our centre on how we utilize its advantage in solving some challenging cases. We would also discuss some common imaging pitfalls and tips on interpretation.

Abstract Image

Abstract Image

Abstract Image

颅内血管病变与磁共振血管壁成像:病例系列。
传统的管腔成像通常是第一线检查手段,它帮助医生诊断了无数脑血管疾病患者,但令人遗憾的是,它几乎无法为具有挑战性血管病变的患者提供诊断线索,后者通常需要侵入性组织病理学诊断。近十年来,磁共振血管壁成像作为一种无创方式迅速崛起,大大提高了放射科医生鉴别潜在病因的能力。它不仅能最大限度地减少手术对患者的创伤,还能为医生提供及时准确的诊断,以便及时提供适当的治疗,避免破坏性后果的发生。屯门医院作为香港新界130多万人口的神经科学中心,一直是区内优化这种新模式的先驱。在本文中,我们希望与大家分享本中心的几个有趣案例,介绍我们如何利用其优势解决一些具有挑战性的病例。我们还将讨论一些常见的成像误区和解读提示。
本文章由计算机程序翻译,如有差异,请以英文原文为准。
求助全文
约1分钟内获得全文 求助全文
来源期刊
BJR Case Reports
BJR Case Reports RADIOLOGY, NUCLEAR MEDICINE & MEDICAL IMAGING-
自引率
0.00%
发文量
77
审稿时长
11 weeks
×
引用
GB/T 7714-2015
复制
MLA
复制
APA
复制
导出至
BibTeX EndNote RefMan NoteFirst NoteExpress
×
提示
您的信息不完整,为了账户安全,请先补充。
现在去补充
×
提示
您因"违规操作"
具体请查看互助需知
我知道了
×
提示
确定
请完成安全验证×
copy
已复制链接
快去分享给好友吧!
我知道了
右上角分享
点击右上角分享
0
联系我们:info@booksci.cn Book学术提供免费学术资源搜索服务,方便国内外学者检索中英文文献。致力于提供最便捷和优质的服务体验。 Copyright © 2023 布克学术 All rights reserved.
京ICP备2023020795号-1
ghs 京公网安备 11010802042870号
Book学术文献互助
Book学术文献互助群
群 号:604180095
Book学术官方微信