Contrast-enhanced ultrasound features of hepatic angiomyolipoma: comparison with AFP-negative and non-viral hepatocellular carcinoma.

IF 1.6 Q3 RADIOLOGY, NUCLEAR MEDICINE & MEDICAL IMAGING
Ultrasound International Open Pub Date : 2024-06-14 eCollection Date: 2024-01-01 DOI:10.1055/a-2318-6654
Yafang Zhang, Zhi-Xing Guo, Ying Liao, Yiwen Yu, Ruohan Guo, Xu Han, Lilong Lan, Jianhua Zhou
{"title":"Contrast-enhanced ultrasound features of hepatic angiomyolipoma: comparison with AFP-negative and non-viral hepatocellular carcinoma.","authors":"Yafang Zhang, Zhi-Xing Guo, Ying Liao, Yiwen Yu, Ruohan Guo, Xu Han, Lilong Lan, Jianhua Zhou","doi":"10.1055/a-2318-6654","DOIUrl":null,"url":null,"abstract":"<p><p><b>Purpose</b>  This study aimed to compare contrast-enhanced ultrasound (CEUS) features of hepatic angiomyolipoma (HAML) and challenging cases of HCC, mainly those with no hepatitis infection but also with a low level of AFP (non-viral AFP- HCC). <b>Materials and Methods</b>  The study included pathologically confirmed HAMLs and non-viral AFP- HCCs undergoing CEUS from 2012 to 2023. Sonovue (SV) CEUS and Sonazoid (SZ) CEUS characteristics of the two groups were compared. <b>Results</b>  The study included 50 HAMLs (24% on SZ-CEUS) and 88 non-viral AFP- HCCs (21.6% on SZ-CEUS). The CEUS characteristics on SZ-CEUS were similar to those on SV-CEUS to a certain extent. HAMLs more frequently displayed no washout and partial washout with partial no washout, so-called PWNW, in the late phase and post-vascular phase, whereas HCCs more commonly exhibited mild washout. In the post-vascular phase, all non-viral AFP- HCCs exhibited washout, thereby facilitating differentiation from no-washoutHAMLs, superior to SV-CEUS, where some non-viral AFP- HCCs still exhibited no washout in late phase that could not be distinguished from HAMLs. It is noteworthy that PWNW was exclusively found in nodules exhibiting hyper- and hypoechoic separation of the nodules, and hyper- and hypoechoic separation of HAMLs in the post-vascular phase on SZ-CEUS demonstrated PWNW more frequently compared to the late phase, which can potentially help distinguish nodules with hyper- and hypoechoic separation as either HAML or non-viral AFP- HCC. Conclusion: This study highlighted the usefulness of SV- and SZ-CEUS for distinguishing HAML and non-viral AFP- HCC and filled in existing gaps regarding the SZ-CEUS features of HAML.</p>","PeriodicalId":44852,"journal":{"name":"Ultrasound International Open","volume":"10 ","pages":"a23186654"},"PeriodicalIF":1.6000,"publicationDate":"2024-06-14","publicationTypes":"Journal Article","fieldsOfStudy":null,"isOpenAccess":false,"openAccessPdf":"https://www.ncbi.nlm.nih.gov/pmc/articles/PMC11476071/pdf/","citationCount":"0","resultStr":null,"platform":"Semanticscholar","paperid":null,"PeriodicalName":"Ultrasound International Open","FirstCategoryId":"1085","ListUrlMain":"https://doi.org/10.1055/a-2318-6654","RegionNum":0,"RegionCategory":null,"ArticlePicture":[],"TitleCN":null,"AbstractTextCN":null,"PMCID":null,"EPubDate":"2024/1/1 0:00:00","PubModel":"eCollection","JCR":"Q3","JCRName":"RADIOLOGY, NUCLEAR MEDICINE & MEDICAL IMAGING","Score":null,"Total":0}
引用次数: 0

Abstract

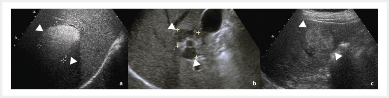
Purpose  This study aimed to compare contrast-enhanced ultrasound (CEUS) features of hepatic angiomyolipoma (HAML) and challenging cases of HCC, mainly those with no hepatitis infection but also with a low level of AFP (non-viral AFP- HCC). Materials and Methods  The study included pathologically confirmed HAMLs and non-viral AFP- HCCs undergoing CEUS from 2012 to 2023. Sonovue (SV) CEUS and Sonazoid (SZ) CEUS characteristics of the two groups were compared. Results  The study included 50 HAMLs (24% on SZ-CEUS) and 88 non-viral AFP- HCCs (21.6% on SZ-CEUS). The CEUS characteristics on SZ-CEUS were similar to those on SV-CEUS to a certain extent. HAMLs more frequently displayed no washout and partial washout with partial no washout, so-called PWNW, in the late phase and post-vascular phase, whereas HCCs more commonly exhibited mild washout. In the post-vascular phase, all non-viral AFP- HCCs exhibited washout, thereby facilitating differentiation from no-washoutHAMLs, superior to SV-CEUS, where some non-viral AFP- HCCs still exhibited no washout in late phase that could not be distinguished from HAMLs. It is noteworthy that PWNW was exclusively found in nodules exhibiting hyper- and hypoechoic separation of the nodules, and hyper- and hypoechoic separation of HAMLs in the post-vascular phase on SZ-CEUS demonstrated PWNW more frequently compared to the late phase, which can potentially help distinguish nodules with hyper- and hypoechoic separation as either HAML or non-viral AFP- HCC. Conclusion: This study highlighted the usefulness of SV- and SZ-CEUS for distinguishing HAML and non-viral AFP- HCC and filled in existing gaps regarding the SZ-CEUS features of HAML.

Abstract Image

Abstract Image

Abstract Image

肝血管肌脂肪瘤的对比增强超声特征:与 AFP 阴性和非病毒性肝细胞癌的比较。
目的 本研究旨在比较对比增强超声(CEUS)检查肝血管脂肪瘤(HAML)和具有挑战性的 HCC 病例(主要是那些没有肝炎感染但 AFP 水平较低的病例(非病毒性 AFP- HCC))的特征。材料与方法 该研究纳入了 2012 年至 2023 年期间接受 CEUS 检查并经病理证实的 HAML 和非病毒性 AFP- HCC。比较两组患者的Sonovue(SV)CEUS和Sonazoid(SZ)CEUS特征。结果 研究包括50例HAML(SZ-CEUS为24%)和88例非病毒性AFP- HCC(SZ-CEUS为21.6%)。SZ-CEUS 的 CEUS 特征在一定程度上与 SV-CEUS 相似。在晚期和血管后阶段,HAML更常表现为无冲洗和部分冲洗与部分无冲洗,即所谓的PWNW,而HCC则更常表现为轻度冲洗。在血管后阶段,所有非病毒 AFP- HCC 都表现出冲洗,从而有助于与无冲洗 HAML 区分开来,而在 SV-CEUS 中,一些非病毒 AFP- HCC 在晚期阶段仍表现出无冲洗,无法与 HAML 区分开来。值得注意的是,PWNW 只出现在结节出现高回声和低回声分离的结节中,而在 SZ-CEUS 上,HAML 在血管后阶段的高回声和低回声分离比晚期阶段更频繁地表现出 PWNW,这可能有助于将出现高回声和低回声分离的结节区分为 HAML 或非病毒 AFP- HCC。结论本研究强调了 SV- 和 SZ-CEUS 在区分 HAML 和非病毒 AFP- HCC 方面的作用,并填补了有关 HAML SZ-CEUS 特征的现有空白。
本文章由计算机程序翻译,如有差异,请以英文原文为准。
求助全文
约1分钟内获得全文 求助全文
来源期刊
Ultrasound International Open
Ultrasound International Open RADIOLOGY, NUCLEAR MEDICINE & MEDICAL IMAGING-
CiteScore
3.00
自引率
0.00%
发文量
7
审稿时长
12 weeks
×
引用
GB/T 7714-2015
复制
MLA
复制
APA
复制
导出至
BibTeX EndNote RefMan NoteFirst NoteExpress
×
提示
您的信息不完整,为了账户安全,请先补充。
现在去补充
×
提示
您因"违规操作"
具体请查看互助需知
我知道了
×
提示
确定
请完成安全验证×
copy
已复制链接
快去分享给好友吧!
我知道了
右上角分享
点击右上角分享
0
联系我们:info@booksci.cn Book学术提供免费学术资源搜索服务,方便国内外学者检索中英文文献。致力于提供最便捷和优质的服务体验。 Copyright © 2023 布克学术 All rights reserved.
京ICP备2023020795号-1
ghs 京公网安备 11010802042870号
Book学术文献互助
Book学术文献互助群
群 号:604180095
Book学术官方微信