Struma Ovarii: Single Center Experience.

IF 0.9 Q3 MEDICINE, GENERAL & INTERNAL
Medical Bulletin of Sisli Etfal Hospital Pub Date : 2024-09-30 eCollection Date: 2024-01-01 DOI:10.14744/SEMB.2024.90248
Serkan Erkan, Hakan Yabanoglu, Tevfik Avci, Gulsen Dogan Durdag, Filiz Bolat, Nazim Emrah Kocer
{"title":"Struma Ovarii: Single Center Experience.","authors":"Serkan Erkan, Hakan Yabanoglu, Tevfik Avci, Gulsen Dogan Durdag, Filiz Bolat, Nazim Emrah Kocer","doi":"10.14744/SEMB.2024.90248","DOIUrl":null,"url":null,"abstract":"<p><strong>Objectives: </strong>Struma ovarii (SO) accounts for approximately 1% of all ovarian tumors. The objective of our study is to contribute to the treatment algorithm by presenting our clinical experience in a comprehensive case series of patients diagnosed with SO, predominantly characterized by thyroid tissue within a monodermal teratoma.</p><p><strong>Methods: </strong>Patients aged 17 years and older who underwent surgery due to ovarian masses and were histopathologically diagnosed with SO between January 2012 and January 2022 were included in the study. The patients' files were retrospectively reviewed. Demographic data, presenting complaints, radiological findings, tumor sizes, laboratory data, surgical procedures performed, pathology reports, additional treatments, and follow-up information were recorded.</p><p><strong>Results: </strong>The median age of total 19 patients was 41.7 (17-74) years. Among them, malignant struma ovarii was present in 3 patients. In patients with histopathologically confirmed benign struma ovarii, no additional treatment was administered after tumor enucleation. In malignant cases, in addition to unilateral salpingo-oophorectomy, total thyroidectomy, radioactive iodine (RAI) ablation, and L-Thyroxine suppression were performed. No mortality occurred during the follow-up period.</p><p><strong>Conclusion: </strong>Although conservative treatments are considered acceptable treatment in cases of benign struma ovarii, the management of cases with malignant struma ovarii is controversial. Fertility-sparing surgery followed by postoperative adjuvant thyroidectomy and radioactive iodine ablation may be preferred for young women.</p>","PeriodicalId":42218,"journal":{"name":"Medical Bulletin of Sisli Etfal Hospital","volume":"58 3","pages":"284-290"},"PeriodicalIF":0.9000,"publicationDate":"2024-09-30","publicationTypes":"Journal Article","fieldsOfStudy":null,"isOpenAccess":false,"openAccessPdf":"https://www.ncbi.nlm.nih.gov/pmc/articles/PMC11472190/pdf/","citationCount":"0","resultStr":null,"platform":"Semanticscholar","paperid":null,"PeriodicalName":"Medical Bulletin of Sisli Etfal Hospital","FirstCategoryId":"1085","ListUrlMain":"https://doi.org/10.14744/SEMB.2024.90248","RegionNum":0,"RegionCategory":null,"ArticlePicture":[],"TitleCN":null,"AbstractTextCN":null,"PMCID":null,"EPubDate":"2024/1/1 0:00:00","PubModel":"eCollection","JCR":"Q3","JCRName":"MEDICINE, GENERAL & INTERNAL","Score":null,"Total":0}
引用次数: 0

Abstract

Objectives: Struma ovarii (SO) accounts for approximately 1% of all ovarian tumors. The objective of our study is to contribute to the treatment algorithm by presenting our clinical experience in a comprehensive case series of patients diagnosed with SO, predominantly characterized by thyroid tissue within a monodermal teratoma.

Methods: Patients aged 17 years and older who underwent surgery due to ovarian masses and were histopathologically diagnosed with SO between January 2012 and January 2022 were included in the study. The patients' files were retrospectively reviewed. Demographic data, presenting complaints, radiological findings, tumor sizes, laboratory data, surgical procedures performed, pathology reports, additional treatments, and follow-up information were recorded.

Results: The median age of total 19 patients was 41.7 (17-74) years. Among them, malignant struma ovarii was present in 3 patients. In patients with histopathologically confirmed benign struma ovarii, no additional treatment was administered after tumor enucleation. In malignant cases, in addition to unilateral salpingo-oophorectomy, total thyroidectomy, radioactive iodine (RAI) ablation, and L-Thyroxine suppression were performed. No mortality occurred during the follow-up period.

Conclusion: Although conservative treatments are considered acceptable treatment in cases of benign struma ovarii, the management of cases with malignant struma ovarii is controversial. Fertility-sparing surgery followed by postoperative adjuvant thyroidectomy and radioactive iodine ablation may be preferred for young women.

Abstract Image

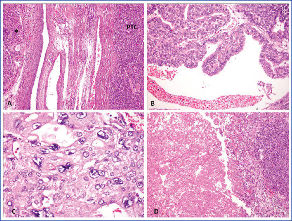
Abstract Image

Abstract Image

Struma Ovarii:单中心经验。
目的:卵巢瘤(SO)约占所有卵巢肿瘤的1%。我们的研究旨在通过介绍我们的临床经验,对确诊为卵巢畸胎瘤的患者进行综合病例系列研究,为治疗算法做出贡献:研究对象包括2012年1月至2022年1月期间因卵巢肿块接受手术并经组织病理学诊断为SO的17岁及以上患者。对患者档案进行回顾性审查。研究记录了患者的人口统计学数据、主诉、放射学检查结果、肿瘤大小、实验室数据、手术过程、病理报告、额外治疗和随访信息:结果:19 名患者的中位年龄为 41.7(17-74)岁。结果:19 名患者的中位年龄为 41.7(17-74 岁)。经组织病理学证实为良性卵巢肿的患者,在肿瘤切除术后无需进行其他治疗。对于恶性病例,除单侧输卵管切除术外,还进行了甲状腺全切除术、放射性碘(RAI)消融术和左旋甲状腺素抑制术。随访期间无死亡病例发生:结论:尽管保守治疗被认为是良性卵巢肿的可接受治疗方法,但恶性卵巢肿的治疗方法仍存在争议。对于年轻女性来说,首选保胎手术,然后进行术后辅助甲状腺切除术和放射性碘消融术。
本文章由计算机程序翻译,如有差异,请以英文原文为准。
求助全文
约1分钟内获得全文 求助全文
来源期刊
Medical Bulletin of Sisli Etfal Hospital
Medical Bulletin of Sisli Etfal Hospital MEDICINE, GENERAL & INTERNAL-
自引率
16.70%
发文量
41
×
引用
GB/T 7714-2015
复制
MLA
复制
APA
复制
导出至
BibTeX EndNote RefMan NoteFirst NoteExpress
×
提示
您的信息不完整,为了账户安全,请先补充。
现在去补充
×
提示
您因"违规操作"
具体请查看互助需知
我知道了
×
提示
确定
请完成安全验证×
copy
已复制链接
快去分享给好友吧!
我知道了
右上角分享
点击右上角分享
0
联系我们:info@booksci.cn Book学术提供免费学术资源搜索服务,方便国内外学者检索中英文文献。致力于提供最便捷和优质的服务体验。 Copyright © 2023 布克学术 All rights reserved.
京ICP备2023020795号-1
ghs 京公网安备 11010802042870号
Book学术文献互助
Book学术文献互助群
群 号:604180095
Book学术官方微信