Endoscopic ultrasound-guided placement of lumen-apposing metal stent for transgastric drainage of loculated malignant ascites.

IF 2.4 Q2 GASTROENTEROLOGY & HEPATOLOGY
Therapeutic Advances in Gastrointestinal Endoscopy Pub Date : 2024-10-14 eCollection Date: 2024-01-01 DOI:10.1177/26317745241289238
Jacqueline Reuangrith, Stephanie A Scott, Ali Kohansal
{"title":"Endoscopic ultrasound-guided placement of lumen-apposing metal stent for transgastric drainage of loculated malignant ascites.","authors":"Jacqueline Reuangrith, Stephanie A Scott, Ali Kohansal","doi":"10.1177/26317745241289238","DOIUrl":null,"url":null,"abstract":"<p><p>Endoscopic ultrasound-guided drainage of loculated malignancy-related ascites has been reported in limited case series with success in achieving symptomatic relief. In this case report, we detail the successful drainage of a loculated paragastric ascites with insertion of a lumen-apposing metal stent (LAMS) in a patient diagnosed with metastatic ovarian cancer.</p>","PeriodicalId":40947,"journal":{"name":"Therapeutic Advances in Gastrointestinal Endoscopy","volume":"17 ","pages":"26317745241289238"},"PeriodicalIF":2.4000,"publicationDate":"2024-10-14","publicationTypes":"Journal Article","fieldsOfStudy":null,"isOpenAccess":false,"openAccessPdf":"https://www.ncbi.nlm.nih.gov/pmc/articles/PMC11475087/pdf/","citationCount":"0","resultStr":null,"platform":"Semanticscholar","paperid":null,"PeriodicalName":"Therapeutic Advances in Gastrointestinal Endoscopy","FirstCategoryId":"1085","ListUrlMain":"https://doi.org/10.1177/26317745241289238","RegionNum":0,"RegionCategory":null,"ArticlePicture":[],"TitleCN":null,"AbstractTextCN":null,"PMCID":null,"EPubDate":"2024/1/1 0:00:00","PubModel":"eCollection","JCR":"Q2","JCRName":"GASTROENTEROLOGY & HEPATOLOGY","Score":null,"Total":0}
引用次数: 0

Abstract

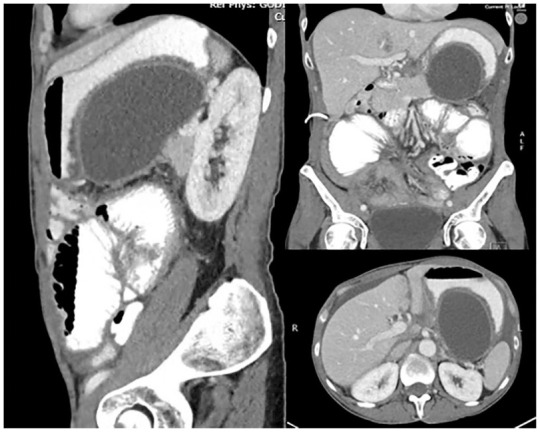
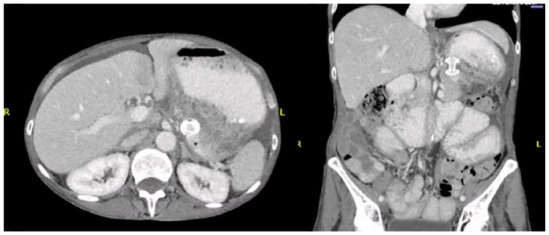
Endoscopic ultrasound-guided drainage of loculated malignancy-related ascites has been reported in limited case series with success in achieving symptomatic relief. In this case report, we detail the successful drainage of a loculated paragastric ascites with insertion of a lumen-apposing metal stent (LAMS) in a patient diagnosed with metastatic ovarian cancer.

Abstract Image

Abstract Image

Abstract Image

在内窥镜超声引导下放置管腔封闭金属支架,用于经胃引流定位恶性腹水。
内镜超声引导下引流定位性恶性肿瘤相关腹水的病例报道有限,但都成功缓解了症状。在本病例报告中,我们详细介绍了在一名确诊为转移性卵巢癌的患者身上,通过插入管腔贴壁金属支架(LAMS)成功引流了定位旁腹水。
本文章由计算机程序翻译,如有差异,请以英文原文为准。
求助全文
约1分钟内获得全文 求助全文
来源期刊
CiteScore
4.80
自引率
0.00%
发文量
8
审稿时长
13 weeks
×
引用
GB/T 7714-2015
复制
MLA
复制
APA
复制
导出至
BibTeX EndNote RefMan NoteFirst NoteExpress
×
提示
您的信息不完整,为了账户安全,请先补充。
现在去补充
×
提示
您因"违规操作"
具体请查看互助需知
我知道了
×
提示
确定
请完成安全验证×
copy
已复制链接
快去分享给好友吧!
我知道了
右上角分享
点击右上角分享
0
联系我们:info@booksci.cn Book学术提供免费学术资源搜索服务,方便国内外学者检索中英文文献。致力于提供最便捷和优质的服务体验。 Copyright © 2023 布克学术 All rights reserved.
京ICP备2023020795号-1
ghs 京公网安备 11010802042870号
Book学术文献互助
Book学术文献互助群
群 号:604180095
Book学术官方微信