Radiation therapy communication: Retreatment of multiple histologically confirmed oligodendroglioma drop metastasis with stereotactic radiotherapy in a dog.

IF 1.5 2区 农林科学 Q2 VETERINARY SCIENCES
Veterinary Radiology & Ultrasound Pub Date : 2025-01-01 Epub Date: 2024-10-12 DOI:10.1111/vru.13454
Nicholas J Rancilio, Keiko Murakami, Tyler Harm, Neil Christensen
{"title":"Radiation therapy communication: Retreatment of multiple histologically confirmed oligodendroglioma drop metastasis with stereotactic radiotherapy in a dog.","authors":"Nicholas J Rancilio, Keiko Murakami, Tyler Harm, Neil Christensen","doi":"10.1111/vru.13454","DOIUrl":null,"url":null,"abstract":"<p><p>A 10-year-old female spayed boxer was treated with stereotactic radiotherapy (SRT) for a suspected glioma in the left piriform lobe. The intra-axial lesion was T2 hyperintense, T2 FLAIR hyperintense, T1 hypointense, and did not uptake contrast. Imaging was performed with an MRI every 3 months, and at the 6-month recheck, new lesions in the left hippocampus and right piriform lobe were evident without clinically apparent neurological progression. A second course of SRT was prescribed for the new lesions. Euthanasia was elected 14 months after the first course of SRT, and necropsy confirmed oligodendroglioma with drop metastasis.</p>","PeriodicalId":23581,"journal":{"name":"Veterinary Radiology & Ultrasound","volume":" ","pages":"e13454"},"PeriodicalIF":1.5000,"publicationDate":"2025-01-01","publicationTypes":"Journal Article","fieldsOfStudy":null,"isOpenAccess":false,"openAccessPdf":"https://www.ncbi.nlm.nih.gov/pmc/articles/PMC11617605/pdf/","citationCount":"0","resultStr":null,"platform":"Semanticscholar","paperid":null,"PeriodicalName":"Veterinary Radiology & Ultrasound","FirstCategoryId":"97","ListUrlMain":"https://doi.org/10.1111/vru.13454","RegionNum":2,"RegionCategory":"农林科学","ArticlePicture":[],"TitleCN":null,"AbstractTextCN":null,"PMCID":null,"EPubDate":"2024/10/12 0:00:00","PubModel":"Epub","JCR":"Q2","JCRName":"VETERINARY SCIENCES","Score":null,"Total":0}
引用次数: 0

Abstract

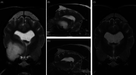
A 10-year-old female spayed boxer was treated with stereotactic radiotherapy (SRT) for a suspected glioma in the left piriform lobe. The intra-axial lesion was T2 hyperintense, T2 FLAIR hyperintense, T1 hypointense, and did not uptake contrast. Imaging was performed with an MRI every 3 months, and at the 6-month recheck, new lesions in the left hippocampus and right piriform lobe were evident without clinically apparent neurological progression. A second course of SRT was prescribed for the new lesions. Euthanasia was elected 14 months after the first course of SRT, and necropsy confirmed oligodendroglioma with drop metastasis.

Abstract Image

Abstract Image

Abstract Image

放射治疗交流:用立体定向放射疗法治疗一只狗的多发性组织学确诊少突胶质细胞瘤下垂转移。
一只 10 岁的雌性拳师犬因左侧梨状叶疑患胶质瘤而接受立体定向放射治疗(SRT)。轴内病变呈 T2 高强化、T2 FLAIR 高强化、T1 低强化,且不吸收对比剂。每 3 个月进行一次核磁共振成像,在 6 个月的复查中,左侧海马和右侧梨状叶有明显的新病变,但临床上没有明显的神经系统进展。针对新的病变,该患者接受了第二个疗程的 SRT 治疗。第一个 SRT 疗程结束 14 个月后,患者选择了安乐死,尸检证实少突胶质细胞瘤伴有点滴转移。
本文章由计算机程序翻译,如有差异,请以英文原文为准。
求助全文
约1分钟内获得全文 求助全文
来源期刊
Veterinary Radiology & Ultrasound
Veterinary Radiology & Ultrasound 农林科学-兽医学
CiteScore
2.40
自引率
17.60%
发文量
133
审稿时长
8-16 weeks
期刊介绍: Veterinary Radiology & Ultrasound is a bimonthly, international, peer-reviewed, research journal devoted to the fields of veterinary diagnostic imaging and radiation oncology. Established in 1958, it is owned by the American College of Veterinary Radiology and is also the official journal for six affiliate veterinary organizations. Veterinary Radiology & Ultrasound is represented on the International Committee of Medical Journal Editors, World Association of Medical Editors, and Committee on Publication Ethics. The mission of Veterinary Radiology & Ultrasound is to serve as a leading resource for high quality articles that advance scientific knowledge and standards of clinical practice in the areas of veterinary diagnostic radiology, computed tomography, magnetic resonance imaging, ultrasonography, nuclear imaging, radiation oncology, and interventional radiology. Manuscript types include original investigations, imaging diagnosis reports, review articles, editorials and letters to the Editor. Acceptance criteria include originality, significance, quality, reader interest, composition and adherence to author guidelines.
×
引用
GB/T 7714-2015
复制
MLA
复制
APA
复制
导出至
BibTeX EndNote RefMan NoteFirst NoteExpress
×
提示
您的信息不完整,为了账户安全,请先补充。
现在去补充
×
提示
您因"违规操作"
具体请查看互助需知
我知道了
×
提示
确定
请完成安全验证×
copy
已复制链接
快去分享给好友吧!
我知道了
右上角分享
点击右上角分享
0
联系我们:info@booksci.cn Book学术提供免费学术资源搜索服务,方便国内外学者检索中英文文献。致力于提供最便捷和优质的服务体验。 Copyright © 2023 布克学术 All rights reserved.
京ICP备2023020795号-1
ghs 京公网安备 11010802042870号
Book学术文献互助
Book学术文献互助群
群 号:604180095
Book学术官方微信