A Rare Case of Large Nonvalvular Papillary Fibroelastoma Manifesting as Vertigo and Exertional Dyspnea.

IF 1.3 Q4 CARDIAC & CARDIOVASCULAR SYSTEMS
Journal of the Saudi Heart Association Pub Date : 2024-09-25 eCollection Date: 2024-01-01 DOI:10.37616/2212-5043.1394
Mohaddeseh Behjati, Mohsen Mirmohammadsadeghi, Ehsan Abadi, Mohammad H Paknahad, Parisa Adib-Hajbagheri
{"title":"A Rare Case of Large Nonvalvular Papillary Fibroelastoma Manifesting as Vertigo and Exertional Dyspnea.","authors":"Mohaddeseh Behjati, Mohsen Mirmohammadsadeghi, Ehsan Abadi, Mohammad H Paknahad, Parisa Adib-Hajbagheri","doi":"10.37616/2212-5043.1394","DOIUrl":null,"url":null,"abstract":"<p><strong>Background: </strong>Papillary fibroelastoma (PFE) is an uncommon benign cardiac tumor, typically arising from valvular structures. Nonvalvular PFEs are exceedingly rare and may present with diverse symptoms.</p><p><strong>Case presentation: </strong>We present a case of a 46-year-old woman with positional vertigo and exertional dyspnea. Transthoracic echocardiography revealed a mobile oval-shaped mass in the left ventricle. Cardiac magnetic resonance imaging suggested a large papillary fibroelastoma. The tumor was successfully resected, and histopathological examination confirmed the diagnosis.</p><p><strong>Conclusion: </strong>This case highlights the importance of thorough imaging and surgical intervention in managing large, nonvalvular PFEs, which, although rare, can lead to significant complications.</p>","PeriodicalId":17319,"journal":{"name":"Journal of the Saudi Heart Association","volume":"36 3","pages":"237-241"},"PeriodicalIF":1.3000,"publicationDate":"2024-09-25","publicationTypes":"Journal Article","fieldsOfStudy":null,"isOpenAccess":false,"openAccessPdf":"https://www.ncbi.nlm.nih.gov/pmc/articles/PMC11477084/pdf/","citationCount":"0","resultStr":null,"platform":"Semanticscholar","paperid":null,"PeriodicalName":"Journal of the Saudi Heart Association","FirstCategoryId":"1085","ListUrlMain":"https://doi.org/10.37616/2212-5043.1394","RegionNum":0,"RegionCategory":null,"ArticlePicture":[],"TitleCN":null,"AbstractTextCN":null,"PMCID":null,"EPubDate":"2024/1/1 0:00:00","PubModel":"eCollection","JCR":"Q4","JCRName":"CARDIAC & CARDIOVASCULAR SYSTEMS","Score":null,"Total":0}
引用次数: 0

Abstract

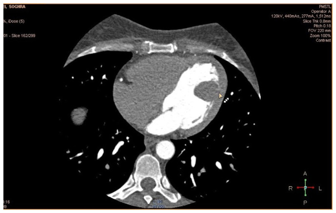
Background: Papillary fibroelastoma (PFE) is an uncommon benign cardiac tumor, typically arising from valvular structures. Nonvalvular PFEs are exceedingly rare and may present with diverse symptoms.

Case presentation: We present a case of a 46-year-old woman with positional vertigo and exertional dyspnea. Transthoracic echocardiography revealed a mobile oval-shaped mass in the left ventricle. Cardiac magnetic resonance imaging suggested a large papillary fibroelastoma. The tumor was successfully resected, and histopathological examination confirmed the diagnosis.

Conclusion: This case highlights the importance of thorough imaging and surgical intervention in managing large, nonvalvular PFEs, which, although rare, can lead to significant complications.

Abstract Image

Abstract Image

Abstract Image

表现为眩晕和劳力性呼吸困难的巨大非瓣状乳头状纤维母细胞瘤的罕见病例
背景:乳头状纤维母细胞瘤(PFE)是一种不常见的心脏良性肿瘤,通常发生于瓣膜结构。非瓣膜性乳头状纤维瘤极为罕见,可能表现出多种症状:我们介绍了一例 46 岁女性的病例,她患有位置性眩晕和劳力性呼吸困难。经胸超声心动图显示左心室有一个移动的椭圆形肿块。心脏磁共振成像提示为巨大乳头状纤维瘤。肿瘤被成功切除,组织病理学检查确诊:本病例强调了彻底成像和手术干预在处理大的非瓣膜性 PFEs 中的重要性,尽管这种 PFEs 很罕见,但可导致严重的并发症。
本文章由计算机程序翻译,如有差异,请以英文原文为准。
求助全文
约1分钟内获得全文 求助全文
来源期刊
Journal of the Saudi Heart Association
Journal of the Saudi Heart Association CARDIAC & CARDIOVASCULAR SYSTEMS-
CiteScore
1.40
自引率
0.00%
发文量
30
审稿时长
15 weeks
×
引用
GB/T 7714-2015
复制
MLA
复制
APA
复制
导出至
BibTeX EndNote RefMan NoteFirst NoteExpress
×
提示
您的信息不完整,为了账户安全,请先补充。
现在去补充
×
提示
您因"违规操作"
具体请查看互助需知
我知道了
×
提示
确定
请完成安全验证×
copy
已复制链接
快去分享给好友吧!
我知道了
右上角分享
点击右上角分享
0
联系我们:info@booksci.cn Book学术提供免费学术资源搜索服务,方便国内外学者检索中英文文献。致力于提供最便捷和优质的服务体验。 Copyright © 2023 布克学术 All rights reserved.
京ICP备2023020795号-1
ghs 京公网安备 11010802042870号
Book学术文献互助
Book学术文献互助群
群 号:604180095
Book学术官方微信