Detection of Left Atrial Remodeling by Three-Dimensional Echocardiography in Symptomatic Patients Known to Had Non-Obstructive Hypertrophic Cardiomyopathy.

IF 1.4 Q3 CARDIAC & CARDIOVASCULAR SYSTEMS
Cardiology Research Pub Date : 2024-10-01 Epub Date: 2024-08-31 DOI:10.14740/cr1690
Taher Said Abd Elkareem, Shaimaa Habib, Amr Shehata, Fatma Elhady
{"title":"Detection of Left Atrial Remodeling by Three-Dimensional Echocardiography in Symptomatic Patients Known to Had Non-Obstructive Hypertrophic Cardiomyopathy.","authors":"Taher Said Abd Elkareem, Shaimaa Habib, Amr Shehata, Fatma Elhady","doi":"10.14740/cr1690","DOIUrl":null,"url":null,"abstract":"<p><strong>Background: </strong>Hypertrophic cardiomyopathy (HCM) is one of the most prevalent inherited disorders and a common cause of sudden heart death. Left atrial (LA) dilatation frequently occurs in patients with HCM as a result of impaired left ventricular (LV) relaxation or associated involvement of LA myocardium in HCM.</p><p><strong>Methods: </strong>We enrolled 170 patients known to had HCM (non-obstructive type) and 30 healthy subjects (control group). All of them underwent two-dimensional (2D) echocardiography to measure LV dimensions, function, LA dimension, LA deformations, pulmonary artery pressure (PAP) and LV global longitudinal strain (LVGLS). LA volumes and mechanics were also measured by three-dimensional (3D) echocardiography.</p><p><strong>Results: </strong>By 2D echocardiography, patient group revealed significantly lower all LA functions vs. control group including reservoir (26 ± 4 vs. 43 ± 3, P < 0.001), conduit (-14 ± 2 vs. -25 ± 2, P < 0.001), and booster pump functions (-12 ± 2 vs. -18 ± 1, P < 0.001). PAP was significantly higher in patient group (42 ± 7 vs. 27 ± 4 in control group). LVGLS was significantly lower in patient group (-15±1.4% vs. -23±2% in control group). Using 3D speckle tracking echocardiography (STE), there were a significantly higher indexed maximum LA volume (Vmax indexed) (43.5 ± 5.6 vs. 28.7 ± 3.7, P < 0.001), but significantly lower left atrial strain at reservoir function (LASr) (24 ± 4 vs. 41 ± 3, P < 0.001), left atrial strain at conduit function (LAScd) (-13 ± 2 vs. -24 ± 2, P < 0.001), and left atrial strain at contractile function (LASct) (-11 ± 2 vs. -18 ± 1, P < 0.001).</p><p><strong>Conclusion: </strong>Three-dimensional transthoracic echocardiography (TTE) is a feasible method for the assessment of LA remodeling, but there is adverse LA remodeling in patients with long-standing non-obstructive HCM including impaired all LA mechanics and with increased septal thickness, there are more diastolic dysfunction and more reduction of LA mechanics.</p>","PeriodicalId":9424,"journal":{"name":"Cardiology Research","volume":"15 5","pages":"396-403"},"PeriodicalIF":1.4000,"publicationDate":"2024-10-01","publicationTypes":"Journal Article","fieldsOfStudy":null,"isOpenAccess":false,"openAccessPdf":"https://www.ncbi.nlm.nih.gov/pmc/articles/PMC11483119/pdf/","citationCount":"0","resultStr":null,"platform":"Semanticscholar","paperid":null,"PeriodicalName":"Cardiology Research","FirstCategoryId":"1085","ListUrlMain":"https://doi.org/10.14740/cr1690","RegionNum":0,"RegionCategory":null,"ArticlePicture":[],"TitleCN":null,"AbstractTextCN":null,"PMCID":null,"EPubDate":"2024/8/31 0:00:00","PubModel":"Epub","JCR":"Q3","JCRName":"CARDIAC & CARDIOVASCULAR SYSTEMS","Score":null,"Total":0}
引用次数: 0

Abstract

Background: Hypertrophic cardiomyopathy (HCM) is one of the most prevalent inherited disorders and a common cause of sudden heart death. Left atrial (LA) dilatation frequently occurs in patients with HCM as a result of impaired left ventricular (LV) relaxation or associated involvement of LA myocardium in HCM.

Methods: We enrolled 170 patients known to had HCM (non-obstructive type) and 30 healthy subjects (control group). All of them underwent two-dimensional (2D) echocardiography to measure LV dimensions, function, LA dimension, LA deformations, pulmonary artery pressure (PAP) and LV global longitudinal strain (LVGLS). LA volumes and mechanics were also measured by three-dimensional (3D) echocardiography.

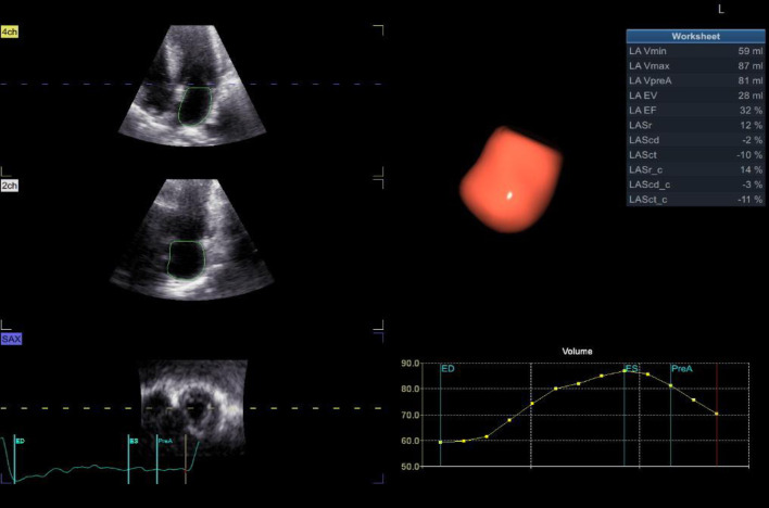
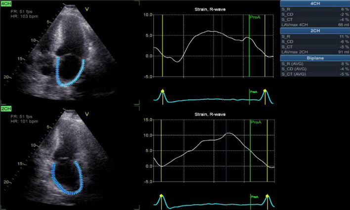
Results: By 2D echocardiography, patient group revealed significantly lower all LA functions vs. control group including reservoir (26 ± 4 vs. 43 ± 3, P < 0.001), conduit (-14 ± 2 vs. -25 ± 2, P < 0.001), and booster pump functions (-12 ± 2 vs. -18 ± 1, P < 0.001). PAP was significantly higher in patient group (42 ± 7 vs. 27 ± 4 in control group). LVGLS was significantly lower in patient group (-15±1.4% vs. -23±2% in control group). Using 3D speckle tracking echocardiography (STE), there were a significantly higher indexed maximum LA volume (Vmax indexed) (43.5 ± 5.6 vs. 28.7 ± 3.7, P < 0.001), but significantly lower left atrial strain at reservoir function (LASr) (24 ± 4 vs. 41 ± 3, P < 0.001), left atrial strain at conduit function (LAScd) (-13 ± 2 vs. -24 ± 2, P < 0.001), and left atrial strain at contractile function (LASct) (-11 ± 2 vs. -18 ± 1, P < 0.001).

Conclusion: Three-dimensional transthoracic echocardiography (TTE) is a feasible method for the assessment of LA remodeling, but there is adverse LA remodeling in patients with long-standing non-obstructive HCM including impaired all LA mechanics and with increased septal thickness, there are more diastolic dysfunction and more reduction of LA mechanics.

Abstract Image

Abstract Image

Abstract Image

通过三维超声心动图检测已知患有非结构性肥厚型心肌病的无症状患者的左心房重塑情况
背景:肥厚型心肌病(HCM)是最常见的遗传性疾病之一,也是心脏猝死的常见原因。由于左心室(LV)松弛功能受损或 LA 心肌受累,HCM 患者经常会出现左心房(LA)扩张:我们招募了 170 名已知患有 HCM(非阻塞型)的患者和 30 名健康受试者(对照组)。所有患者均接受了二维(2D)超声心动图检查,以测量左心室尺寸、功能、LA 尺寸、LA 变形、肺动脉压力(PAP)和左心室整体纵向应变(LVGLS)。三维超声心动图还测量了LA容积和力学:二维超声心动图显示,患者组的所有 LA 功能均明显低于对照组,包括储腔(26 ± 4 vs. 43 ± 3,P < 0.001)、导管(-14 ± 2 vs. -25 ± 2,P < 0.001)和增压泵功能(-12 ± 2 vs. -18 ± 1,P < 0.001)。患者组的 PAP 明显较高(42 ± 7 对对照组的 27 ± 4)。患者组的 LVGLS 明显降低(-15±1.4% 对对照组的 -23±2%)。使用三维斑点追踪超声心动图(STE),患者组的指数化最大 LA 容积(Vmax indexed)明显高于对照组(43.5 ± 5.6 vs. 28.7 ± 3.7,P < 0.001),但左心房储血功能应变(LASr)明显低于对照组(24 ± 4 vs. 41 ± 3,P < 0.001)。41±3,P<0.001)、导管功能(LAScd)(-13±2 vs. -24±2,P<0.001)和收缩功能(LASct)(-11±2 vs. -18±1,P<0.001)时的左房应变:结论:三维经胸超声心动图(TTE)是评估 LA 重塑的一种可行方法,但长期非阻塞性 HCM 患者存在不利的 LA 重塑,包括所有 LA 力学性能受损,且随着室间隔厚度增加,舒张功能障碍和 LA 力学性能降低的程度也会增加。
本文章由计算机程序翻译,如有差异,请以英文原文为准。
求助全文
约1分钟内获得全文 求助全文
来源期刊
Cardiology Research
Cardiology Research CARDIAC & CARDIOVASCULAR SYSTEMS-
CiteScore
2.50
自引率
0.00%
发文量
42
期刊介绍: Cardiology Research is an open access, peer-reviewed, international journal. All submissions relating to basic research and clinical practice of cardiology and cardiovascular medicine are in this journal''s scope. This journal focuses on publishing original research and observations in all cardiovascular medicine aspects. Manuscript types include original article, review, case report, short communication, book review, letter to the editor.
×
引用
GB/T 7714-2015
复制
MLA
复制
APA
复制
导出至
BibTeX EndNote RefMan NoteFirst NoteExpress
×
提示
您的信息不完整,为了账户安全,请先补充。
现在去补充
×
提示
您因"违规操作"
具体请查看互助需知
我知道了
×
提示
确定
请完成安全验证×
copy
已复制链接
快去分享给好友吧!
我知道了
右上角分享
点击右上角分享
0
联系我们:info@booksci.cn Book学术提供免费学术资源搜索服务,方便国内外学者检索中英文文献。致力于提供最便捷和优质的服务体验。 Copyright © 2023 布克学术 All rights reserved.
京ICP备2023020795号-1
ghs 京公网安备 11010802042870号
Book学术文献互助
Book学术文献互助群
群 号:604180095
Book学术官方微信