A Novel Split-Course High-Dose Palliative Radiotherapy Regimen for Locally Advanced Sinonasal Cancer: A Case Report.

IF 0.6 Q4 ONCOLOGY
Case Reports in Oncological Medicine Pub Date : 2024-10-03 eCollection Date: 2024-01-01 DOI:10.1155/2024/9340657
Saif Aljabab, Amna Mohaimeed, Firas AlMomen, Abdullah AlSwailem, Yasir Alayed
{"title":"A Novel Split-Course High-Dose Palliative Radiotherapy Regimen for Locally Advanced Sinonasal Cancer: A Case Report.","authors":"Saif Aljabab, Amna Mohaimeed, Firas AlMomen, Abdullah AlSwailem, Yasir Alayed","doi":"10.1155/2024/9340657","DOIUrl":null,"url":null,"abstract":"<p><p>Sinonasal malignancies (SNMs) are rare heterogeneous malignancies that frequently present with locally advanced disease. The prognosis is poor when the disease is considered extensive and unresectable. In such cases, a high-dose palliative radiotherapy regimen is often required, but the ideal dose and fractionation have not been established. We detail a 33-year-old male who initially presented with a progressively growing mass over the right cheek. A biopsy of the lesion revealed squamous cell carcinoma (SCC). Imaging revealed a very advanced and unresectable disease with the involvement of several head and neck subsites. He progressed further after receiving induction chemotherapy from an outside institution. The patient requested prompt tumor and symptom control to travel back to his home country. We offered him high-dose split-course palliative radiotherapy in the form of a quad Shot of 14.80 Gy in four fractions twice daily, followed by 30 Gy in five fractions every other day with a 2-week interval. Treatment resulted in excellent clinical response with symptomatic relief in a short time, and the patient could travel back home safely.</p>","PeriodicalId":9636,"journal":{"name":"Case Reports in Oncological Medicine","volume":"2024 ","pages":"9340657"},"PeriodicalIF":0.6000,"publicationDate":"2024-10-03","publicationTypes":"Journal Article","fieldsOfStudy":null,"isOpenAccess":false,"openAccessPdf":"https://www.ncbi.nlm.nih.gov/pmc/articles/PMC11466590/pdf/","citationCount":"0","resultStr":null,"platform":"Semanticscholar","paperid":null,"PeriodicalName":"Case Reports in Oncological Medicine","FirstCategoryId":"1085","ListUrlMain":"https://doi.org/10.1155/2024/9340657","RegionNum":0,"RegionCategory":null,"ArticlePicture":[],"TitleCN":null,"AbstractTextCN":null,"PMCID":null,"EPubDate":"2024/1/1 0:00:00","PubModel":"eCollection","JCR":"Q4","JCRName":"ONCOLOGY","Score":null,"Total":0}
引用次数: 0

Abstract

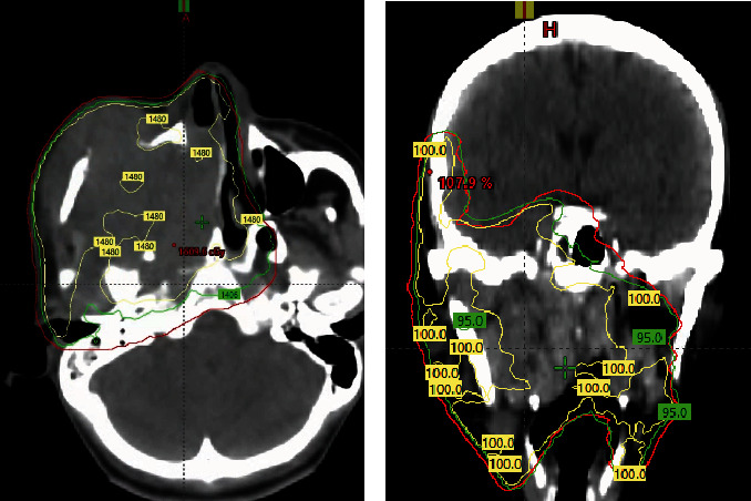
Sinonasal malignancies (SNMs) are rare heterogeneous malignancies that frequently present with locally advanced disease. The prognosis is poor when the disease is considered extensive and unresectable. In such cases, a high-dose palliative radiotherapy regimen is often required, but the ideal dose and fractionation have not been established. We detail a 33-year-old male who initially presented with a progressively growing mass over the right cheek. A biopsy of the lesion revealed squamous cell carcinoma (SCC). Imaging revealed a very advanced and unresectable disease with the involvement of several head and neck subsites. He progressed further after receiving induction chemotherapy from an outside institution. The patient requested prompt tumor and symptom control to travel back to his home country. We offered him high-dose split-course palliative radiotherapy in the form of a quad Shot of 14.80 Gy in four fractions twice daily, followed by 30 Gy in five fractions every other day with a 2-week interval. Treatment resulted in excellent clinical response with symptomatic relief in a short time, and the patient could travel back home safely.

Abstract Image

Abstract Image

Abstract Image

治疗局部晚期鼻窦癌的新型分次高剂量姑息放疗方案:病例报告。
鼻窦恶性肿瘤(SNMs)是一种罕见的异质性恶性肿瘤,常表现为局部晚期疾病。如果病变范围广且无法切除,预后较差。在这种情况下,通常需要采用大剂量姑息性放疗方案,但理想的剂量和分次放疗方案尚未确定。我们详细介绍了一名 33 岁男性的病例,他最初表现为右脸颊上逐渐增大的肿块。病变活检显示为鳞状细胞癌(SCC)。影像学检查显示该病已发展到晚期,无法切除,并累及多个头颈部亚部位。在接受外部机构的诱导化疗后,病情进一步恶化。患者要求尽快控制肿瘤和症状,以便回国治疗。我们为他提供了大剂量分次姑息放疗,即每天两次,每次四发,每次四分,每次14.80Gy,然后隔天一次,每次五发,每次30Gy,间隔2周。治疗取得了很好的临床效果,症状在短时间内得到缓解,患者可以安全回家。
本文章由计算机程序翻译,如有差异,请以英文原文为准。
求助全文
约1分钟内获得全文 求助全文
来源期刊
自引率
0.00%
发文量
11
审稿时长
16 weeks
期刊介绍: Case Reports in Oncological Medicine is a peer-reviewed, Open Access journal that publishes case reports and case series related to breast cancer, lung cancer, gastrointestinal cancer, skin cancer, head and neck cancer, paediatric oncology, neurooncology as well as genitourinary cancer.
×
引用
GB/T 7714-2015
复制
MLA
复制
APA
复制
导出至
BibTeX EndNote RefMan NoteFirst NoteExpress
×
提示
您的信息不完整,为了账户安全,请先补充。
现在去补充
×
提示
您因"违规操作"
具体请查看互助需知
我知道了
×
提示
确定
请完成安全验证×
copy
已复制链接
快去分享给好友吧!
我知道了
右上角分享
点击右上角分享
0
联系我们:info@booksci.cn Book学术提供免费学术资源搜索服务,方便国内外学者检索中英文文献。致力于提供最便捷和优质的服务体验。 Copyright © 2023 布克学术 All rights reserved.
京ICP备2023020795号-1
ghs 京公网安备 11010802042870号
Book学术文献互助
Book学术文献互助群
群 号:604180095
Book学术官方微信