Surgical Technique for Removal of Old Universal Slotted AO Femoral Nail: A Case Report.

IF 0.6 Q4 ORTHOPEDICS
Case Reports in Orthopedics Pub Date : 2024-10-03 eCollection Date: 2024-01-01 DOI:10.1155/2024/5603392
Naoko Onizuka, Brenton Douglass, Marc Swiontkowski
{"title":"Surgical Technique for Removal of Old Universal Slotted AO Femoral Nail: A Case Report.","authors":"Naoko Onizuka, Brenton Douglass, Marc Swiontkowski","doi":"10.1155/2024/5603392","DOIUrl":null,"url":null,"abstract":"<p><p>This paper presents a surgical technique for the removal of an old universal femoral nail preceding total hip arthroplasty (THA) in a 50-year-old male patient with left hip osteoarthritis. The patient had undergone femur nail insertion approximately 35 years ago. Due to the necessity of nail removal prior to THA, surgery to remove the nail was planned. There are challenges posed by the design of the old universal femoral nail system, particularly its side slot which made engagement of the conical bolt difficult. The successful removal of the nail was eventually achieved, enabling subsequent THA. Individuals who received this old implant years ago may now require its removal as part of osteoarthritis treatment. Given the lack of familiarity among surgeons with this outdated implant, this paper is aimed at providing essential guidance and insights regarding its removal procedure. This literature represents the inaugural documentation of the surgical technique for the removal of an aged femur nail.</p>","PeriodicalId":30287,"journal":{"name":"Case Reports in Orthopedics","volume":"2024 ","pages":"5603392"},"PeriodicalIF":0.6000,"publicationDate":"2024-10-03","publicationTypes":"Journal Article","fieldsOfStudy":null,"isOpenAccess":false,"openAccessPdf":"https://www.ncbi.nlm.nih.gov/pmc/articles/PMC11466587/pdf/","citationCount":"0","resultStr":null,"platform":"Semanticscholar","paperid":null,"PeriodicalName":"Case Reports in Orthopedics","FirstCategoryId":"1085","ListUrlMain":"https://doi.org/10.1155/2024/5603392","RegionNum":0,"RegionCategory":null,"ArticlePicture":[],"TitleCN":null,"AbstractTextCN":null,"PMCID":null,"EPubDate":"2024/1/1 0:00:00","PubModel":"eCollection","JCR":"Q4","JCRName":"ORTHOPEDICS","Score":null,"Total":0}
引用次数: 0

Abstract

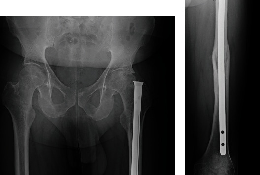
This paper presents a surgical technique for the removal of an old universal femoral nail preceding total hip arthroplasty (THA) in a 50-year-old male patient with left hip osteoarthritis. The patient had undergone femur nail insertion approximately 35 years ago. Due to the necessity of nail removal prior to THA, surgery to remove the nail was planned. There are challenges posed by the design of the old universal femoral nail system, particularly its side slot which made engagement of the conical bolt difficult. The successful removal of the nail was eventually achieved, enabling subsequent THA. Individuals who received this old implant years ago may now require its removal as part of osteoarthritis treatment. Given the lack of familiarity among surgeons with this outdated implant, this paper is aimed at providing essential guidance and insights regarding its removal procedure. This literature represents the inaugural documentation of the surgical technique for the removal of an aged femur nail.

Abstract Image

Abstract Image

Abstract Image

拔除老式通用开槽 AO 股骨钉的手术技术:病例报告
本文介绍了一种在全髋关节置换术(THA)前拔除旧通用股骨钉的手术技术,该患者是一名 50 岁的男性,患有左髋关节骨性关节炎。该患者大约在 35 年前接受过股骨钉植入手术。由于必须在全髋关节置换术前拔除股骨钉,因此计划手术拔除股骨钉。旧式通用股骨钉系统的设计带来了一些挑战,尤其是其侧槽使锥形螺栓难以啮合。但最终还是成功取出了钉子,使随后的 THA 成为可能。多年前接受过这种老式植入物的患者现在可能需要将其取出,作为骨关节炎治疗的一部分。鉴于外科医生对这种过时的植入物缺乏了解,本文旨在就其移除程序提供必要的指导和见解。这篇文献首次记录了移除老化股骨钉的手术技巧。
本文章由计算机程序翻译,如有差异,请以英文原文为准。
求助全文
约1分钟内获得全文 求助全文
来源期刊
自引率
0.00%
发文量
55
审稿时长
14 weeks
×
引用
GB/T 7714-2015
复制
MLA
复制
APA
复制
导出至
BibTeX EndNote RefMan NoteFirst NoteExpress
×
提示
您的信息不完整,为了账户安全,请先补充。
现在去补充
×
提示
您因"违规操作"
具体请查看互助需知
我知道了
×
提示
确定
请完成安全验证×
copy
已复制链接
快去分享给好友吧!
我知道了
右上角分享
点击右上角分享
0
联系我们:info@booksci.cn Book学术提供免费学术资源搜索服务,方便国内外学者检索中英文文献。致力于提供最便捷和优质的服务体验。 Copyright © 2023 布克学术 All rights reserved.
京ICP备2023020795号-1
ghs 京公网安备 11010802042870号
Book学术文献互助
Book学术文献互助群
群 号:604180095
Book学术官方微信