Colitis cystica profunda associated with diverticulosis and calcification mimicking colorectal carcinoma: a case report and a brief literature review.

IF 2.9 Q1 PATHOLOGY
PATHOLOGICA Pub Date : 2024-08-01 DOI:10.32074/1591-951X-969
Giovanni Nunzio Rosano, Eleonora Aiello, Samaneh Kherad Pisheh, Enrica Deiana, Lorenzo Memeo, Cristina Colarossi
{"title":"Colitis cystica profunda associated with diverticulosis and calcification mimicking colorectal carcinoma: a case report and a brief literature review.","authors":"Giovanni Nunzio Rosano, Eleonora Aiello, Samaneh Kherad Pisheh, Enrica Deiana, Lorenzo Memeo, Cristina Colarossi","doi":"10.32074/1591-951X-969","DOIUrl":null,"url":null,"abstract":"<p><p>Colitis cystica profunda (CCP) is a rare, uncommon and nonneoplastic condition that can occur anywhere in gastrointestinal tract, but its main occurrence is in the rectum and sigmoid colon. It is characterized by the presence of mucin filled cysts, lined by benign epithelium, beneath the muscularis mucosae, usually confined to the submucosa, and it can clinically and radiologically mimic a neoplasm. Here we report a rare case of CCP in a patient with a 2-months history of abdominal pain and severe anemia, associated with diverticulosis. The knowledge of this entity and its differential diagnosis, in particular with the intestinal mucinous adenocarcinoma, is necessary, as it can be a clinically and histological mimic of a malignant neoplasm.</p>","PeriodicalId":45893,"journal":{"name":"PATHOLOGICA","volume":"116 4","pages":"249-253"},"PeriodicalIF":2.9000,"publicationDate":"2024-08-01","publicationTypes":"Journal Article","fieldsOfStudy":null,"isOpenAccess":false,"openAccessPdf":"https://www.ncbi.nlm.nih.gov/pmc/articles/PMC11460153/pdf/","citationCount":"0","resultStr":null,"platform":"Semanticscholar","paperid":null,"PeriodicalName":"PATHOLOGICA","FirstCategoryId":"1085","ListUrlMain":"https://doi.org/10.32074/1591-951X-969","RegionNum":0,"RegionCategory":null,"ArticlePicture":[],"TitleCN":null,"AbstractTextCN":null,"PMCID":null,"EPubDate":"","PubModel":"","JCR":"Q1","JCRName":"PATHOLOGY","Score":null,"Total":0}
引用次数: 0

Abstract

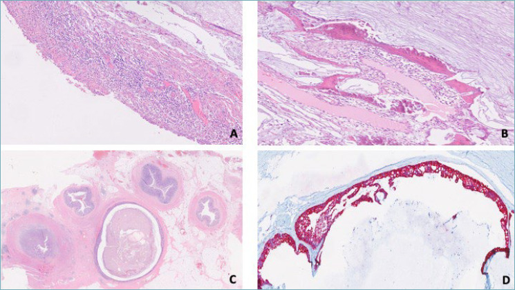
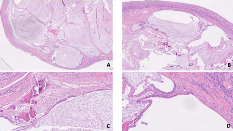
Colitis cystica profunda (CCP) is a rare, uncommon and nonneoplastic condition that can occur anywhere in gastrointestinal tract, but its main occurrence is in the rectum and sigmoid colon. It is characterized by the presence of mucin filled cysts, lined by benign epithelium, beneath the muscularis mucosae, usually confined to the submucosa, and it can clinically and radiologically mimic a neoplasm. Here we report a rare case of CCP in a patient with a 2-months history of abdominal pain and severe anemia, associated with diverticulosis. The knowledge of this entity and its differential diagnosis, in particular with the intestinal mucinous adenocarcinoma, is necessary, as it can be a clinically and histological mimic of a malignant neoplasm.

Abstract Image

Abstract Image

伴有憩室和钙化的深部结肠炎模仿结肠直肠癌:病例报告和简要文献综述。
深部结肠囊炎(CCP)是一种罕见的非肿瘤性疾病,可发生在胃肠道的任何部位,但主要发生在直肠和乙状结肠。它的特征是粘膜下出现由良性上皮衬里的粘液囊肿,通常局限于粘膜下层,在临床和影像学上可与肿瘤相似。我们在此报告了一例罕见的 CCP 病例,患者有两个月的腹痛和严重贫血病史,并伴有憩室炎。有必要了解这种疾病及其鉴别诊断,尤其是与肠粘液腺癌的鉴别诊断,因为它可以在临床和组织学上模拟恶性肿瘤。
本文章由计算机程序翻译,如有差异,请以英文原文为准。
求助全文
约1分钟内获得全文 求助全文
来源期刊
PATHOLOGICA
PATHOLOGICA PATHOLOGY-
CiteScore
5.90
自引率
5.70%
发文量
108
×
引用
GB/T 7714-2015
复制
MLA
复制
APA
复制
导出至
BibTeX EndNote RefMan NoteFirst NoteExpress
×
提示
您的信息不完整,为了账户安全,请先补充。
现在去补充
×
提示
您因"违规操作"
具体请查看互助需知
我知道了
×
提示
确定
请完成安全验证×
copy
已复制链接
快去分享给好友吧!
我知道了
右上角分享
点击右上角分享
0
联系我们:info@booksci.cn Book学术提供免费学术资源搜索服务,方便国内外学者检索中英文文献。致力于提供最便捷和优质的服务体验。 Copyright © 2023 布克学术 All rights reserved.
京ICP备2023020795号-1
ghs 京公网安备 11010802042870号
Book学术文献互助
Book学术文献互助群
群 号:604180095
Book学术官方微信