A Comparative immunohistochemical analysis of epithelial-mesenchymal transition biomarkers in odontogenic keratocyst, dentigerous cyst, and radicular cyst.

Q2 Dentistry
Dental Research Journal Pub Date : 2024-08-21 eCollection Date: 2024-01-01
Hamideh Kadeh, Nahid Esmaeilzadeh Ashini
{"title":"A Comparative immunohistochemical analysis of epithelial-mesenchymal transition biomarkers in odontogenic keratocyst, dentigerous cyst, and radicular cyst.","authors":"Hamideh Kadeh, Nahid Esmaeilzadeh Ashini","doi":"","DOIUrl":null,"url":null,"abstract":"<p><strong>Background: </strong>Odontogenic keratocyst (OKC) is one of the common odontogenic cysts with aggressive clinical behavior and a high recurrence rate. Epithelial-mesenchymal transition (EMT) is a process, in which the epithelial cell loses its epithelial characteristics and acquires mesenchymal features. Since the evidence for the involvement of EMT in the development of OKC is still limited, the present study aimed to investigate the immunohistochemical expression of EMT-related proteins (E-cadherin and N-cadherin) in OKC and compare them to radicular cyst (RC) and dentigerous cyst (DC).</p><p><strong>Materials and methods: </strong>In this descriptive analytical study, 75 paraffin blocks, including 25 DCs, 25 OKC, and 25 RCs, were selected. Immunohistochemical staining was performed to determine the expression and staining intensity of E-cadherin and N-cadherin proteins. The specimens were examined under an optical microscope, and the data were analyzed using the Kruskal-Wallis test in SPSS statistical software (version 23) with a significance level of 5%.</p><p><strong>Results: </strong>The expression of N-cadherin in OKC was higher than that in other cysts; nonetheless, there was no statistically significant difference (<i>P</i> = 0.331). The staining intensity of N-cadherin was weak in most cases, and this difference was not statistically significant (<i>P</i> = 0.252). E-cadherin expression in OKC was significantly lower than that in radicular and DCs (<i>P</i> = 0.003). In addition, the staining intensity of E-cadherin in OKC was weak and moderate (<i>P</i> = 0.003).</p><p><strong>Conclusion: </strong>In this study, we observed an increase in the expression of N-cadherin in OKC. In addition, the protein expression levels of E-cadherin in OKC were significantly lower compared to DC and RC. Therefore, it appears that the EMT process likely occurs in OKC and may contribute to its local aggressive behavior.</p>","PeriodicalId":11016,"journal":{"name":"Dental Research Journal","volume":"21 ","pages":"46"},"PeriodicalIF":0.0000,"publicationDate":"2024-08-21","publicationTypes":"Journal Article","fieldsOfStudy":null,"isOpenAccess":false,"openAccessPdf":"https://www.ncbi.nlm.nih.gov/pmc/articles/PMC11457985/pdf/","citationCount":"0","resultStr":null,"platform":"Semanticscholar","paperid":null,"PeriodicalName":"Dental Research Journal","FirstCategoryId":"1085","ListUrlMain":"","RegionNum":0,"RegionCategory":null,"ArticlePicture":[],"TitleCN":null,"AbstractTextCN":null,"PMCID":null,"EPubDate":"2024/1/1 0:00:00","PubModel":"eCollection","JCR":"Q2","JCRName":"Dentistry","Score":null,"Total":0}
引用次数: 0

Abstract

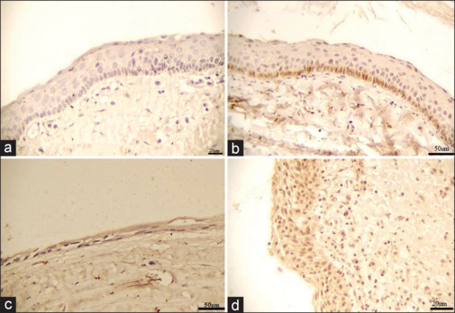
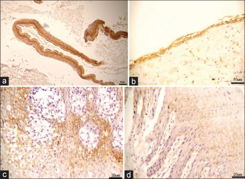
Background: Odontogenic keratocyst (OKC) is one of the common odontogenic cysts with aggressive clinical behavior and a high recurrence rate. Epithelial-mesenchymal transition (EMT) is a process, in which the epithelial cell loses its epithelial characteristics and acquires mesenchymal features. Since the evidence for the involvement of EMT in the development of OKC is still limited, the present study aimed to investigate the immunohistochemical expression of EMT-related proteins (E-cadherin and N-cadherin) in OKC and compare them to radicular cyst (RC) and dentigerous cyst (DC).

Materials and methods: In this descriptive analytical study, 75 paraffin blocks, including 25 DCs, 25 OKC, and 25 RCs, were selected. Immunohistochemical staining was performed to determine the expression and staining intensity of E-cadherin and N-cadherin proteins. The specimens were examined under an optical microscope, and the data were analyzed using the Kruskal-Wallis test in SPSS statistical software (version 23) with a significance level of 5%.

Results: The expression of N-cadherin in OKC was higher than that in other cysts; nonetheless, there was no statistically significant difference (P = 0.331). The staining intensity of N-cadherin was weak in most cases, and this difference was not statistically significant (P = 0.252). E-cadherin expression in OKC was significantly lower than that in radicular and DCs (P = 0.003). In addition, the staining intensity of E-cadherin in OKC was weak and moderate (P = 0.003).

Conclusion: In this study, we observed an increase in the expression of N-cadherin in OKC. In addition, the protein expression levels of E-cadherin in OKC were significantly lower compared to DC and RC. Therefore, it appears that the EMT process likely occurs in OKC and may contribute to its local aggressive behavior.

Abstract Image

Abstract Image

牙源性角化囊肿、牙性囊肿和根性囊肿中上皮-间质转化生物标志物的免疫组化比较分析。
背景:牙源性角化囊肿(OKC)是常见的牙源性囊肿之一,具有侵袭性临床表现和高复发率。上皮-间质转化(EMT)是上皮细胞失去上皮特征并获得间质特征的过程。由于 EMT 参与 OKC 发病的证据仍然有限,本研究旨在调查 EMT 相关蛋白(E-cadherin 和 N-cadherin)在 OKC 中的免疫组化表达,并将其与根状囊肿(RC)和齿状囊肿(DC)进行比较:在这项描述性分析研究中,选取了 75 块石蜡切片,包括 25 个 DC、25 个 OKC 和 25 个 RC。对标本进行免疫组化染色,以确定 E-cadherin 和 N-cadherin 蛋白的表达和染色强度。标本在光学显微镜下观察,数据采用 SPSS 统计软件(23 版)中的 Kruskal-Wallis 检验进行分析,显著性水平为 5%:OKC中N-cadherin的表达高于其他囊肿,但差异无统计学意义(P = 0.331)。大多数情况下,N-cadherin 的染色强度较弱,差异无统计学意义(P = 0.252)。OKC 中 E-cadherin 的表达明显低于根状细胞和 DCs(P = 0.003)。此外,OKC 中 E-cadherin 的染色强度为弱中等(P = 0.003):结论:在本研究中,我们观察到 OKC 中 N-cadherin的表达增加。此外,与 DC 和 RC 相比,OKC 中 E-cadherin 的蛋白表达水平明显较低。由此看来,OKC 中可能存在 EMT 过程,并可能导致其局部侵袭行为。
本文章由计算机程序翻译,如有差异,请以英文原文为准。
求助全文
约1分钟内获得全文 求助全文
来源期刊
Dental Research Journal
Dental Research Journal Dentistry-Dentistry (all)
CiteScore
1.70
自引率
0.00%
发文量
70
审稿时长
52 weeks
期刊介绍: Dental Research Journal, a publication of Isfahan University of Medical Sciences, is a peer-reviewed online journal with Bimonthly print on demand compilation of issues published. The journal’s full text is available online at http://www.drjjournal.net. The journal allows free access (Open Access) to its contents and permits authors to self-archive final accepted version of the articles on any OAI-compliant institutional / subject-based repository. The journal will cover technical and clinical studies related to health, ethical and social issues in field of Dentistry. Articles with clinical interest and implications will be given preference.
×
引用
GB/T 7714-2015
复制
MLA
复制
APA
复制
导出至
BibTeX EndNote RefMan NoteFirst NoteExpress
×
提示
您的信息不完整,为了账户安全,请先补充。
现在去补充
×
提示
您因"违规操作"
具体请查看互助需知
我知道了
×
提示
确定
请完成安全验证×
copy
已复制链接
快去分享给好友吧!
我知道了
右上角分享
点击右上角分享
0
联系我们:info@booksci.cn Book学术提供免费学术资源搜索服务,方便国内外学者检索中英文文献。致力于提供最便捷和优质的服务体验。 Copyright © 2023 布克学术 All rights reserved.
京ICP备2023020795号-1
ghs 京公网安备 11010802042870号
Book学术文献互助
Book学术文献互助群
群 号:604180095
Book学术官方微信