Surgical Management of Pediatric Dermatofibrosarcoma Protuberans: About Two Challenging Case Reports.

IF 1.4 Q3 PEDIATRICS
Global Pediatric Health Pub Date : 2024-09-27 eCollection Date: 2024-01-01 DOI:10.1177/2333794X241286916
Yacine Zouirech, Abir Manni, Badr Rouijel, Ahmed El Baoudi, Hajar El Agouri, Nawfal Fejjal
{"title":"Surgical Management of Pediatric Dermatofibrosarcoma Protuberans: About Two Challenging Case Reports.","authors":"Yacine Zouirech, Abir Manni, Badr Rouijel, Ahmed El Baoudi, Hajar El Agouri, Nawfal Fejjal","doi":"10.1177/2333794X241286916","DOIUrl":null,"url":null,"abstract":"<p><p>Dermatofibrosarcoma protuberans (DFSP) is an extremely rare cutaneous tumor in children, marked by local aggressiveness, slow growth, high recurrence rate, and low metastatic potential. Its prevalence is often underestimated in children due to its slow growth and frequent misdiagnosis. Diagnosing DFSP can be challenging due to nonspecific symptoms. While most cases present as nodular lesions on the trunk or proximal extremities, some lesions, such as atrophic plaques or sclerotic nodular plaques, can mimic vascular malformations and confuse clinicians. Histologic and immunohistochemical studies are essential for definitive diagnosis. The treatment of choice is complete surgical resection with wide margins to reduce the risk of recurrence. We report two pediatric DFSP cases on the trunk, including one mimicking vascular malformations. Both cases had successful 4 cm margin resections, with no recurrences observed after 6 months and 2 years of follow-up, respectively. Continuous surveillance will be maintained for at least 5 years.</p>","PeriodicalId":12576,"journal":{"name":"Global Pediatric Health","volume":"11 ","pages":"2333794X241286916"},"PeriodicalIF":1.4000,"publicationDate":"2024-09-27","publicationTypes":"Journal Article","fieldsOfStudy":null,"isOpenAccess":false,"openAccessPdf":"https://www.ncbi.nlm.nih.gov/pmc/articles/PMC11450917/pdf/","citationCount":"0","resultStr":null,"platform":"Semanticscholar","paperid":null,"PeriodicalName":"Global Pediatric Health","FirstCategoryId":"1085","ListUrlMain":"https://doi.org/10.1177/2333794X241286916","RegionNum":0,"RegionCategory":null,"ArticlePicture":[],"TitleCN":null,"AbstractTextCN":null,"PMCID":null,"EPubDate":"2024/1/1 0:00:00","PubModel":"eCollection","JCR":"Q3","JCRName":"PEDIATRICS","Score":null,"Total":0}
引用次数: 0

Abstract

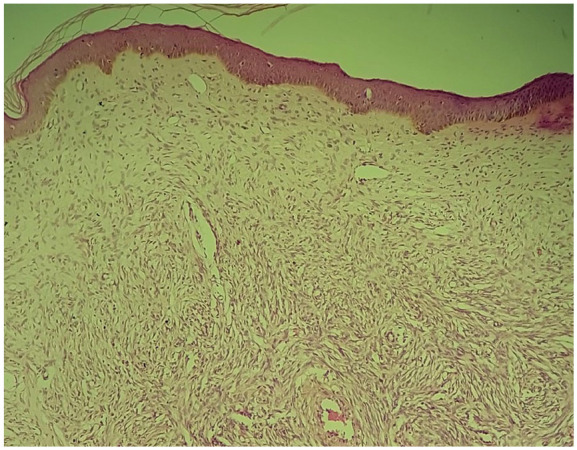
Dermatofibrosarcoma protuberans (DFSP) is an extremely rare cutaneous tumor in children, marked by local aggressiveness, slow growth, high recurrence rate, and low metastatic potential. Its prevalence is often underestimated in children due to its slow growth and frequent misdiagnosis. Diagnosing DFSP can be challenging due to nonspecific symptoms. While most cases present as nodular lesions on the trunk or proximal extremities, some lesions, such as atrophic plaques or sclerotic nodular plaques, can mimic vascular malformations and confuse clinicians. Histologic and immunohistochemical studies are essential for definitive diagnosis. The treatment of choice is complete surgical resection with wide margins to reduce the risk of recurrence. We report two pediatric DFSP cases on the trunk, including one mimicking vascular malformations. Both cases had successful 4 cm margin resections, with no recurrences observed after 6 months and 2 years of follow-up, respectively. Continuous surveillance will be maintained for at least 5 years.

Abstract Image

Abstract Image

Abstract Image

小儿原发性皮纤维肉瘤的手术治疗:关于两个具有挑战性的病例报告
原发性皮肤纤维肉瘤(DFSP)是一种极为罕见的儿童皮肤肿瘤,其特点是局部侵袭性强、生长缓慢、复发率高且转移潜力低。由于其生长缓慢且经常被误诊,其在儿童中的发病率往往被低估。由于症状不具特异性,诊断 DFSP 具有挑战性。虽然大多数病例表现为躯干或四肢近端结节性病变,但有些病变,如萎缩性斑块或硬化性结节斑块,可与血管畸形相仿,使临床医生感到困惑。组织学和免疫组化研究对明确诊断至关重要。首选的治疗方法是彻底手术切除,并保留较宽的切缘,以降低复发风险。我们报告了两例小儿躯干 DFSP 病例,其中一例模仿血管畸形。两例病例均成功切除了 4 厘米的边缘,分别在 6 个月和 2 年的随访后未发现复发。连续监测将持续至少 5 年。
本文章由计算机程序翻译,如有差异,请以英文原文为准。
求助全文
约1分钟内获得全文 求助全文
来源期刊
Global Pediatric Health
Global Pediatric Health Nursing-Pediatrics
CiteScore
2.20
自引率
0.00%
发文量
105
审稿时长
12 weeks
×
引用
GB/T 7714-2015
复制
MLA
复制
APA
复制
导出至
BibTeX EndNote RefMan NoteFirst NoteExpress
×
提示
您的信息不完整,为了账户安全,请先补充。
现在去补充
×
提示
您因"违规操作"
具体请查看互助需知
我知道了
×
提示
确定
请完成安全验证×
copy
已复制链接
快去分享给好友吧!
我知道了
右上角分享
点击右上角分享
0
联系我们:info@booksci.cn Book学术提供免费学术资源搜索服务,方便国内外学者检索中英文文献。致力于提供最便捷和优质的服务体验。 Copyright © 2023 布克学术 All rights reserved.
京ICP备2023020795号-1
ghs 京公网安备 11010802042870号
Book学术文献互助
Book学术文献互助群
群 号:604180095
Book学术官方微信