Systemic amyloidosis: an aggressive evolution in a patient with relapsing polychondritis and monoclonal gammopathy of undetermined significance (MGUS) undergoing peritoneal dialysis.

Q4 Medicine
Autopsy and Case Reports Pub Date : 2024-09-27 eCollection Date: 2024-01-01 DOI:10.4322/acr.2024.518
Thiago Cavalcanti Matos, William George Giusti Fischer, Rosa Maria Rodrigues Pereira, Andre Silva Franco
{"title":"Systemic amyloidosis: an aggressive evolution in a patient with relapsing polychondritis and monoclonal gammopathy of undetermined significance (MGUS) undergoing peritoneal dialysis.","authors":"Thiago Cavalcanti Matos, William George Giusti Fischer, Rosa Maria Rodrigues Pereira, Andre Silva Franco","doi":"10.4322/acr.2024.518","DOIUrl":null,"url":null,"abstract":"<p><p>Herein, we report the case of primary amyloidosis with multi-organ involvement in a female patient in her 50s. The patient had a history of relapsing polychondritis, chronic kidney disease, and monoclonal gammopathy of undetermined significance (MGUS). The clinical manifestations included neuropathic pain, sensorimotor polyneuropathy, intrahepatic cholestatic liver injury, gastrointestinal symptoms, dysautonomia, and myocardial thickening. Initial histologic evaluations of the abdominal fat pad aspirate and bone marrow biopsy were negative for amyloid deposition. However, due to a high index of suspicion, a second bone marrow biopsy was performed, confirming the presence of the amyloid protein. Given the patient's complex medical history, other types of amyloidosis, such as AA amyloidosis, AL amyloidosis, and ß2-microglobulin amyloidosis, should also be considered as differential diagnoses. The type of amyloid protein was subsequently identified through laser microdissection of amyloid fibrils followed by liquid chromatography-tandem mass spectrometry as AL-lambda (amyloid light-chain) amyloidosis. The patient presented unfavorable evolution, with progressive dysautonomia, being admitted to the ICU, culminating in refractory circulatory shock, and undergoing an empirical broad-spectrum antibiotic therapy. After a few days, she presented pulseless ventricular tachycardia, culminating in her death, before undergoing specific treatment. This article highlights the crucial role of precise identification in guiding appropriate therapeutic strategies for this complex, yet potentially severe, diseases.</p>","PeriodicalId":53117,"journal":{"name":"Autopsy and Case Reports","volume":"14 ","pages":"e2024518"},"PeriodicalIF":0.0000,"publicationDate":"2024-09-27","publicationTypes":"Journal Article","fieldsOfStudy":null,"isOpenAccess":false,"openAccessPdf":"https://www.ncbi.nlm.nih.gov/pmc/articles/PMC11452076/pdf/","citationCount":"0","resultStr":null,"platform":"Semanticscholar","paperid":null,"PeriodicalName":"Autopsy and Case Reports","FirstCategoryId":"1085","ListUrlMain":"https://doi.org/10.4322/acr.2024.518","RegionNum":0,"RegionCategory":null,"ArticlePicture":[],"TitleCN":null,"AbstractTextCN":null,"PMCID":null,"EPubDate":"2024/1/1 0:00:00","PubModel":"eCollection","JCR":"Q4","JCRName":"Medicine","Score":null,"Total":0}
引用次数: 0

Abstract

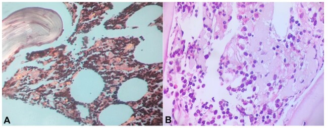
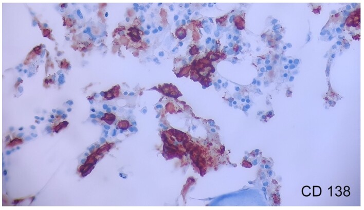
Herein, we report the case of primary amyloidosis with multi-organ involvement in a female patient in her 50s. The patient had a history of relapsing polychondritis, chronic kidney disease, and monoclonal gammopathy of undetermined significance (MGUS). The clinical manifestations included neuropathic pain, sensorimotor polyneuropathy, intrahepatic cholestatic liver injury, gastrointestinal symptoms, dysautonomia, and myocardial thickening. Initial histologic evaluations of the abdominal fat pad aspirate and bone marrow biopsy were negative for amyloid deposition. However, due to a high index of suspicion, a second bone marrow biopsy was performed, confirming the presence of the amyloid protein. Given the patient's complex medical history, other types of amyloidosis, such as AA amyloidosis, AL amyloidosis, and ß2-microglobulin amyloidosis, should also be considered as differential diagnoses. The type of amyloid protein was subsequently identified through laser microdissection of amyloid fibrils followed by liquid chromatography-tandem mass spectrometry as AL-lambda (amyloid light-chain) amyloidosis. The patient presented unfavorable evolution, with progressive dysautonomia, being admitted to the ICU, culminating in refractory circulatory shock, and undergoing an empirical broad-spectrum antibiotic therapy. After a few days, she presented pulseless ventricular tachycardia, culminating in her death, before undergoing specific treatment. This article highlights the crucial role of precise identification in guiding appropriate therapeutic strategies for this complex, yet potentially severe, diseases.

Abstract Image

Abstract Image

Abstract Image

系统性淀粉样变性:一名正在接受腹膜透析的复发性多软骨炎和意义未定的单克隆丙种球蛋白病(MGUS)患者的侵袭性演变。
在此,我们报告了一例 50 多岁女性原发性淀粉样变性伴多器官受累病例。患者曾患复发性多软骨炎、慢性肾病和意义未定的单克隆丙种球蛋白病(MGUS)。临床表现包括神经性疼痛、感觉运动性多发性神经病、肝内胆汁淤积性肝损伤、胃肠道症状、自主神经功能障碍和心肌增厚。对腹部脂肪垫抽吸物和骨髓活检的初步组织学评估显示,淀粉样蛋白沉积为阴性。然而,由于高度怀疑,患者进行了第二次骨髓活检,证实了淀粉样蛋白的存在。鉴于患者病史复杂,其他类型的淀粉样变性,如AA淀粉样变性、AL淀粉样变性和ß2-微球蛋白淀粉样变性,也应作为鉴别诊断考虑。随后,通过激光显微切割淀粉样蛋白纤维并进行液相色谱-串联质谱分析,确定了淀粉样蛋白的类型为AL-lambda(淀粉样蛋白轻链)淀粉样变性。患者病情恶化,出现进行性自主神经功能障碍,被送入重症监护室,最终导致难治性循环休克,并接受了经验性广谱抗生素治疗。几天后,她出现无脉性室性心动过速,最终在接受特殊治疗前死亡。这篇文章强调了精确鉴定在指导这种复杂但可能严重的疾病的适当治疗策略中的关键作用。
本文章由计算机程序翻译,如有差异,请以英文原文为准。
求助全文
约1分钟内获得全文 求助全文
来源期刊
Autopsy and Case Reports
Autopsy and Case Reports Medicine-Internal Medicine
CiteScore
1.20
自引率
0.00%
发文量
60
审稿时长
9 weeks
×
引用
GB/T 7714-2015
复制
MLA
复制
APA
复制
导出至
BibTeX EndNote RefMan NoteFirst NoteExpress
×
提示
您的信息不完整,为了账户安全,请先补充。
现在去补充
×
提示
您因"违规操作"
具体请查看互助需知
我知道了
×
提示
确定
请完成安全验证×
copy
已复制链接
快去分享给好友吧!
我知道了
右上角分享
点击右上角分享
0
联系我们:info@booksci.cn Book学术提供免费学术资源搜索服务,方便国内外学者检索中英文文献。致力于提供最便捷和优质的服务体验。 Copyright © 2023 布克学术 All rights reserved.
京ICP备2023020795号-1
ghs 京公网安备 11010802042870号
Book学术文献互助
Book学术文献互助群
群 号:604180095
Book学术官方微信