Cytological diagnosis of hyaline-vascular type of Castleman disease.

Q4 Medicine
Autopsy and Case Reports Pub Date : 2024-09-27 eCollection Date: 2024-01-01 DOI:10.4322/acr.2024.519
Deepa Rani, Anupam Varshney, Kanika Rastogi
{"title":"Cytological diagnosis of hyaline-vascular type of Castleman disease.","authors":"Deepa Rani, Anupam Varshney, Kanika Rastogi","doi":"10.4322/acr.2024.519","DOIUrl":null,"url":null,"abstract":"<p><p>Castleman disease (CD) is a rare, benign lymphoproliferative disorder, mostly involving the mediastinal lymph nodes, but can occur wherever lymphoid tissue is found. With only a few published case reports, there needs to be more literature on its cytological findings. We report the case of a 63-year-old female presenting with left upper cervical swelling. Fine needle aspiration cytology smears showed variably sized lymphoid follicles with diminished germinal centers, prominence of follicular dendritic cells, and capillaries traversing some of the follicles. The possibility of a hyaline-vascular type of Castleman disease was suggested. Histopathology confirmed the cytological diagnosis. The index case is being presented to discuss the cytological features of the CD along with its histological and immunohistochemical correlation.</p>","PeriodicalId":53117,"journal":{"name":"Autopsy and Case Reports","volume":"14 ","pages":"e2024519"},"PeriodicalIF":0.0000,"publicationDate":"2024-09-27","publicationTypes":"Journal Article","fieldsOfStudy":null,"isOpenAccess":false,"openAccessPdf":"https://www.ncbi.nlm.nih.gov/pmc/articles/PMC11452081/pdf/","citationCount":"0","resultStr":null,"platform":"Semanticscholar","paperid":null,"PeriodicalName":"Autopsy and Case Reports","FirstCategoryId":"1085","ListUrlMain":"https://doi.org/10.4322/acr.2024.519","RegionNum":0,"RegionCategory":null,"ArticlePicture":[],"TitleCN":null,"AbstractTextCN":null,"PMCID":null,"EPubDate":"2024/1/1 0:00:00","PubModel":"eCollection","JCR":"Q4","JCRName":"Medicine","Score":null,"Total":0}
引用次数: 0

Abstract

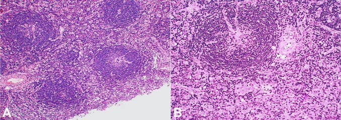
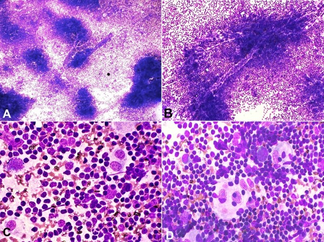
Castleman disease (CD) is a rare, benign lymphoproliferative disorder, mostly involving the mediastinal lymph nodes, but can occur wherever lymphoid tissue is found. With only a few published case reports, there needs to be more literature on its cytological findings. We report the case of a 63-year-old female presenting with left upper cervical swelling. Fine needle aspiration cytology smears showed variably sized lymphoid follicles with diminished germinal centers, prominence of follicular dendritic cells, and capillaries traversing some of the follicles. The possibility of a hyaline-vascular type of Castleman disease was suggested. Histopathology confirmed the cytological diagnosis. The index case is being presented to discuss the cytological features of the CD along with its histological and immunohistochemical correlation.

Abstract Image

Abstract Image

Abstract Image

卡斯特曼病透明血管型的细胞学诊断。
卡斯特曼病(CD)是一种罕见的良性淋巴组织增生性疾病,主要累及纵隔淋巴结,但也可发生于任何淋巴组织。目前仅有几篇已发表的病例报告,因此需要更多关于其细胞学结果的文献。我们报告了一例 63 岁女性左颈上部肿物的病例。细针穿刺细胞学涂片显示淋巴滤泡大小不一,生发中心缩小,滤泡树突状细胞突出,毛细血管穿过部分滤泡。有人认为这可能是一种透明-血管型卡斯特曼病。组织病理学证实了细胞学诊断。本例病例旨在讨论卡氏病的细胞学特征及其组织学和免疫组化相关性。
本文章由计算机程序翻译,如有差异,请以英文原文为准。
求助全文
约1分钟内获得全文 求助全文
来源期刊
Autopsy and Case Reports
Autopsy and Case Reports Medicine-Internal Medicine
CiteScore
1.20
自引率
0.00%
发文量
60
审稿时长
9 weeks
×
引用
GB/T 7714-2015
复制
MLA
复制
APA
复制
导出至
BibTeX EndNote RefMan NoteFirst NoteExpress
×
提示
您的信息不完整,为了账户安全,请先补充。
现在去补充
×
提示
您因"违规操作"
具体请查看互助需知
我知道了
×
提示
确定
请完成安全验证×
copy
已复制链接
快去分享给好友吧!
我知道了
右上角分享
点击右上角分享
0
联系我们:info@booksci.cn Book学术提供免费学术资源搜索服务,方便国内外学者检索中英文文献。致力于提供最便捷和优质的服务体验。 Copyright © 2023 布克学术 All rights reserved.
京ICP备2023020795号-1
ghs 京公网安备 11010802042870号
Book学术文献互助
Book学术文献互助群
群 号:604180095
Book学术官方微信