Pentalogy of Fallot with Anorectal Malformation: A Case Report.

IF 0.5 4区 医学 Q3 Medicine
Sunil Raja Maharjan, Pankaj Kafle, Ashish Lal Shrestha, Dipendra Rai
{"title":"Pentalogy of Fallot with Anorectal Malformation: A Case Report.","authors":"Sunil Raja Maharjan, Pankaj Kafle, Ashish Lal Shrestha, Dipendra Rai","doi":"10.31729/jnma.8705","DOIUrl":null,"url":null,"abstract":"<p><strong>Abstract: </strong>Pentalogy of Fallot is a rare form of congenital cyanotic heart disease with a prevalence of 3/10,000 live births characterized by an association of Tetralogy of Fallot with Atrial Septal Defect. Pentalogy of Fallot with anorectal malformation is also a rare combination. Here we describe one of the rare case reports of a full-term, 38 weeks, female baby diagnosed with pentalogy of Fallot with imperforate anus and rectovaginal fistula at a tertiary care hospital. Pentalogy of Fallot combined with an imperforate anus and rectovaginal fistula is an exceptionally rare and complex congenital condition. The co- existence of these anomalies emphasizes the need for thorough prenatal and postnatal evaluation for early detection and management.</p>","PeriodicalId":54785,"journal":{"name":"Journal of Nepal Medical Association","volume":"62 276","pages":"542-544"},"PeriodicalIF":0.5000,"publicationDate":"2024-07-31","publicationTypes":"Journal Article","fieldsOfStudy":null,"isOpenAccess":false,"openAccessPdf":"https://www.ncbi.nlm.nih.gov/pmc/articles/PMC11455648/pdf/","citationCount":"0","resultStr":null,"platform":"Semanticscholar","paperid":null,"PeriodicalName":"Journal of Nepal Medical Association","FirstCategoryId":"3","ListUrlMain":"https://doi.org/10.31729/jnma.8705","RegionNum":4,"RegionCategory":"医学","ArticlePicture":[],"TitleCN":null,"AbstractTextCN":null,"PMCID":null,"EPubDate":"","PubModel":"","JCR":"Q3","JCRName":"Medicine","Score":null,"Total":0}
引用次数: 0

Abstract

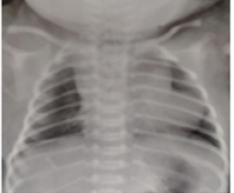
Abstract: Pentalogy of Fallot is a rare form of congenital cyanotic heart disease with a prevalence of 3/10,000 live births characterized by an association of Tetralogy of Fallot with Atrial Septal Defect. Pentalogy of Fallot with anorectal malformation is also a rare combination. Here we describe one of the rare case reports of a full-term, 38 weeks, female baby diagnosed with pentalogy of Fallot with imperforate anus and rectovaginal fistula at a tertiary care hospital. Pentalogy of Fallot combined with an imperforate anus and rectovaginal fistula is an exceptionally rare and complex congenital condition. The co- existence of these anomalies emphasizes the need for thorough prenatal and postnatal evaluation for early detection and management.

Abstract Image

Abstract Image

Abstract Image

法洛氏五联症伴肛门直肠畸形:病例报告
摘要:法洛氏五联症是一种罕见的先天性紫绀型心脏病,发病率为 3/10 000 例活产,其特点是法洛氏四联症与心房间隔缺损并存。法洛氏五联症合并肛门直肠畸形也是一种罕见的组合。在这里,我们描述了一例罕见的病例报告,一名 38 周足月女婴在一家三甲医院被诊断出患有法洛氏五联症、肛门无孔和直肠阴道瘘。法洛氏五联症合并肛门无孔和直肠阴道瘘是一种异常罕见的复杂先天性疾病。这些畸形的同时存在强调了进行彻底的产前和产后评估以早期发现和治疗的必要性。
本文章由计算机程序翻译,如有差异,请以英文原文为准。
求助全文
约1分钟内获得全文 求助全文
来源期刊
Journal of Nepal Medical Association
Journal of Nepal Medical Association PUBLIC, ENVIRONMENTAL & OCCUPATIONAL HEALTH-MEDICINE, GENERAL & INTERNAL
CiteScore
1.00
自引率
0.00%
发文量
233
审稿时长
>12 weeks
期刊介绍: Journal of Nepal Medical Association is an internationally peer-reviewed, MedLine/PubMed indexed, a monthly general medical journal published by Nepal Medical Association. JNMA is the first and oldest medical journal from Nepal since 1963 AD.
×
引用
GB/T 7714-2015
复制
MLA
复制
APA
复制
导出至
BibTeX EndNote RefMan NoteFirst NoteExpress
×
提示
您的信息不完整,为了账户安全,请先补充。
现在去补充
×
提示
您因"违规操作"
具体请查看互助需知
我知道了
×
提示
确定
请完成安全验证×
copy
已复制链接
快去分享给好友吧!
我知道了
右上角分享
点击右上角分享
0
联系我们:info@booksci.cn Book学术提供免费学术资源搜索服务,方便国内外学者检索中英文文献。致力于提供最便捷和优质的服务体验。 Copyright © 2023 布克学术 All rights reserved.
京ICP备2023020795号-1
ghs 京公网安备 11010802042870号
Book学术文献互助
Book学术文献互助群
群 号:604180095
Book学术官方微信