Rare Case of Gunshot-Induced Head and Neck Injury With Lingual Artery Ligation in Korea: A Comprehensive Case Study.

Q3 Medicine
Korean Journal of Neurotrauma Pub Date : 2024-09-06 eCollection Date: 2024-09-01 DOI:10.13004/kjnt.2024.20.e25
SeungHyuk Yang, Hahn Jin Jung, Seung Heon Kang
{"title":"Rare Case of Gunshot-Induced Head and Neck Injury With Lingual Artery Ligation in Korea: A Comprehensive Case Study.","authors":"SeungHyuk Yang, Hahn Jin Jung, Seung Heon Kang","doi":"10.13004/kjnt.2024.20.e25","DOIUrl":null,"url":null,"abstract":"<p><p>We present a unique case of a gunshot wound to the head and neck in a 51-year-old male in Korea, where such injuries are extremely rare. The case involved complex emergency procedures including neurosurgery and lingual artery ligation, complicated by worsening cerebral conditions. This report contributes to the limited Korean literature on such injuries, providing insights into their management and the importance of immediate multidisciplinary medical interventions for gunshot trauma.</p>","PeriodicalId":36879,"journal":{"name":"Korean Journal of Neurotrauma","volume":"20 3","pages":"198-202"},"PeriodicalIF":0.0000,"publicationDate":"2024-09-06","publicationTypes":"Journal Article","fieldsOfStudy":null,"isOpenAccess":false,"openAccessPdf":"https://www.ncbi.nlm.nih.gov/pmc/articles/PMC11450343/pdf/","citationCount":"0","resultStr":null,"platform":"Semanticscholar","paperid":null,"PeriodicalName":"Korean Journal of Neurotrauma","FirstCategoryId":"1085","ListUrlMain":"https://doi.org/10.13004/kjnt.2024.20.e25","RegionNum":0,"RegionCategory":null,"ArticlePicture":[],"TitleCN":null,"AbstractTextCN":null,"PMCID":null,"EPubDate":"2024/9/1 0:00:00","PubModel":"eCollection","JCR":"Q3","JCRName":"Medicine","Score":null,"Total":0}
引用次数: 0

Abstract

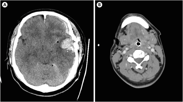
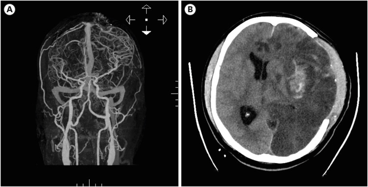
We present a unique case of a gunshot wound to the head and neck in a 51-year-old male in Korea, where such injuries are extremely rare. The case involved complex emergency procedures including neurosurgery and lingual artery ligation, complicated by worsening cerebral conditions. This report contributes to the limited Korean literature on such injuries, providing insights into their management and the importance of immediate multidisciplinary medical interventions for gunshot trauma.

Abstract Image

Abstract Image

Abstract Image

韩国罕见的枪弹致头颈部损伤伴舌骨动脉结扎病例:综合病例研究。
我们介绍了一例独特的韩国 51 岁男性头颈部枪伤病例,此类伤害在韩国极为罕见。该病例涉及复杂的急诊手术,包括神经外科手术和舌动脉结扎术,并因脑部状况恶化而变得复杂。本报告为韩国有关此类伤害的有限文献做出了贡献,为此类伤害的处理提供了见解,并说明了对枪击创伤立即采取多学科医疗干预措施的重要性。
本文章由计算机程序翻译,如有差异,请以英文原文为准。
求助全文
约1分钟内获得全文 求助全文
来源期刊
CiteScore
1.10
自引率
0.00%
发文量
41
×
引用
GB/T 7714-2015
复制
MLA
复制
APA
复制
导出至
BibTeX EndNote RefMan NoteFirst NoteExpress
×
提示
您的信息不完整,为了账户安全,请先补充。
现在去补充
×
提示
您因"违规操作"
具体请查看互助需知
我知道了
×
提示
确定
请完成安全验证×
copy
已复制链接
快去分享给好友吧!
我知道了
右上角分享
点击右上角分享
0
联系我们:info@booksci.cn Book学术提供免费学术资源搜索服务,方便国内外学者检索中英文文献。致力于提供最便捷和优质的服务体验。 Copyright © 2023 布克学术 All rights reserved.
京ICP备2023020795号-1
ghs 京公网安备 11010802042870号
Book学术文献互助
Book学术文献互助群
群 号:604180095
Book学术官方微信